36岁的Amanda与脑动静脉畸形“和平共处”多年,侥幸未出血。但一次突发的颅内出血,击碎了她平静的生活。
多方权衡后,她选择了创伤较小的伽马刀治疗,期待“无刀”化解危机。然而,复查结果冰冷:畸形团仍有残留。
残留的“火星”如同定时炸弹,随时可能再次引爆,且后果更凶险。Amanda不得不直面那个最艰难的人生课题:为求根治,开颅手术似乎已成唯一答案。

36岁 女性 脑动静脉畸形(AVM)
突发危机:丘脑出血引爆生命警报
Amanda一直都知道自己患有脑动静脉畸形,但想着没出血,因此一直没有想过要主动治疗。
直到在她36岁这一年,她和小女儿玩闹时候突发头痛,送医检查后发现丘脑/基底节AVM出血,Spetzler-Martin分级为 6 级,这意味着她的病情手术难度非常大,预后也会很差。

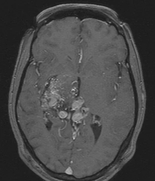
轴位T1加权像,既往行γ刀治疗
首次治疗:伽马刀的"妥协性方案"
脑动静脉畸形的目的是预防出血,减少或纠正脑盗血,好转脑组织血液供应,缓解神经功能障碍。目前的治疗方法包括保守治疗、显微手术切除术、血管内栓塞和立体定向放射外科治疗。
考虑到手术风险并经过多方抉择后,Amanda选择了伽马刀治疗(立体定向放射外科治疗)。
隐忧浮现:残留的“火星”
但3年后造影显示:颞叶内侧仍残留少量畸形团,并向基底静脉环(BVR)引流——这意味着畸形血管仍存在破裂风险。

颞叶内侧少量残留畸形团向BVR引流(右ICA造影,侧位)
终极对决:Lawton教授团队全切病灶
颞叶内侧结构本身就与学习和记忆密切相关,如果不将颞叶内侧依然活跃的动静脉畸形解决掉,此区域的病变会有可能造成智力和记忆力下降,这对Amanda来说是难以想象的打击。
「手术切除」成了Amanda的“不得不做”的选择。
可由于颞叶内侧空间狭小,手术很难达到该区域,必须要找个极富经验的主刀医生,才有可能在不损伤神经功能的情况下,将病灶安全全切。
Amanda找到了国际脑动静脉畸形手术大咖——INC美国Lawton(罗顿)教授。最终Lawton教授通过右侧眶颧开颅,经侧裂入路为她安全全切颞叶内侧面脑动静脉畸形(AVM)。
为何首次出血后不直接开刀?
Amanda的故事清晰地展示了伴随丘脑/基底节出血的颞叶内侧AVM治疗的复杂性和决策的艰难。
未出血时:她在得知自己患有AVM时,因为无症状所以选择保守治疗。对于这样的患者来说,治疗需求取决于出血风险评估。高风险患者需要干预治疗以预防未来并发症,而低风险患者则可以选择观察和定期检查。
发生出血后:脑动静脉畸形虽然属于非瘤性发育异常,但是每次出血的死亡风险为10-15%,长期性脑损伤的几率为20%到30%,每次脑血管畸形患者的血液进入大脑,正常的脑组织就会受到一次损害,这会导致患者大脑正常的功能丧失。
那么此时治疗的主要目的是预防出血,同时控制癫痫发作及其他神经并发症的治疗。神经外科医生会根据患者的年龄、健康状况、畸形血管的大小和位置来决定较适合的治疗方案。
脑AVM的有效治疗方式
显微手术:
通过切除畸形血管来防止出血。在脑AVM的治疗选择中,显微外科切除的主要优势包括完全闭塞病灶的成功率很高、立即消除出血风险、控制癫痫发作以及疗效长期性。在系统评价和meta分析中,按干预类型进行分析后发现,切除手术组中位无癫痫发作率最高(73%-78%)。同时,由经验丰富并且超高水平的医生操作,也会大大降低病变复发的概率。
血管栓塞:
是经动脉或静脉内导管将塞物有控制地注入到病变器官的供应血管内,使之发生闭塞,中断血供,以期达到控制出血、治疗肿瘤和血管性病变以及消除患病器官功能的目的。
立体定向放射治疗:
立体定向放射治疗也可作为一种独立的方法治疗脑动静脉畸形,主要适应症是病灶<2.5cm,位于大脑功能区或位置较深的部位。立体定向放射治疗也适用于传统手术治疗和介入治疗术后小的残留病灶。
脑AVM的手术风险包括但不限于:手术中的操作失误会造成神经功能损伤,可能导致语言或视觉障碍;同时会伴有出血风险。因为人脑的精密程度极高,所以神经外科手术又需要经验及其丰富的神经外科专家来操作。术后并发症也可能包括:持续的头痛或神经痛;操作区域出血或肿胀;长期的神经功能障碍。
此时,找到一位经验丰富并且有强理论支撑的医生进行手术治疗是有效避免手术风险以及术后并发症的极大保障。
INC 国际脑血管专家 Michael T. Lawton教授
INC国际 Michael T. Lawton 教授作为巴罗神经学研究所主席兼首席执行官,深耕于脑动静脉畸形的形成、遗传学特征和破裂的治疗,以及脑部血管瘤的血液动力学、破裂、数字建模等领域。他的临床研究包括血管瘤、动静脉畸形、颅内搭桥的微创治疗方法,以及微创治疗临床数据。
他发表了450多篇神经外科专业文章,撰写3部个人著作(动脉瘤手术治疗著作《七种脑动静脉畸形:切除原理和技巧》、《七种动脉瘤:夹闭术的原理和技巧》、《七种搭桥术:血运重建的原则和技术》),是70多本医学专业书籍的部分章节作者,获得近20项国际医学奖项,是600多个专业讲座及世界40多个神经外科机构的特邀教授。

神经外科经验:
- 脑动静脉畸形:900例
- 脑动脉瘤:4400余例
- 海绵状血管畸形:1000余例

- 文章标题:AVM伽马刀后有残留:该如何应对「出血威胁」和「开颅风险」的极限二选一?
- 更新时间:2025-07-17 15:51:37
400-029-0925




