“体检需要检查大脑吗”,“我做CT这么频繁,会不会伤害身体啊”……
人们越来越重视健康体检。通过定期检查,可以在疾病早期甚至萌芽阶段就发现病变,从而及时干预,避免未来造成更严重的健康损失或难以挽回的后果。
一般常规体检通常涵盖心、肺、腹等重要脏器的检查,常见项目包括颈动脉超声、椎动脉超声、胸部CT、心电图、超声心动图,以及肝胆胰脾、双肾输尿管膀胱的超声检查,部分还会包含腹部CT和胃肠镜等。如果本身有基础疾病,则会进一步做相关专项检查。
值得注意的是,由于脑部疾病在人群中发生率相对较低,常规体检项目中很少包含针对颅脑的系统检查。那么,是否有必要将脑部纳入体检范围呢?
目前还没有广泛推荐脑瘤筛查,什么是筛查,主要指对没有症状的人进行疾病测试。其实,大多数脑肿瘤是就医发现的,但是随着体检的普及,体检查出脑瘤并不少。2018年,一项大规模的研究,对27,643名无症状成年人进行脑部和全身MRI检查,结果显示脑部重大意外发现率为1.4%。

其实,对于有某些遗传综合征(如神经纤维瘤病或结节性硬化症)使他们患脑肿瘤的风险更高,医生经常建议他们在年轻时就开始经常进行体检和其他检查。在某些情况下,这些检查可以在肿瘤还很小的时候发现它们。并非所有与这些综合征相关的肿瘤都需要立即治疗,但尽早发现它们可能有助于医生监测它们,以便在它们开始生长或引起问题时可以迅速治疗。
脑瘤高危人群可能有哪些?
事实上,对于脑瘤诱发因素,科学家们正在努力探索多种风险因素与脑瘤发生的关系。风险因素是任何增加一个人患脑瘤机会的因素。虽然风险因素通常会影响脑瘤的发展,但不一定直接导致脑瘤。一些有多种风险因素的人永远不会患上脑瘤,而另一些没有已知风险因素的人会患上脑瘤。
1.遗传。1%-5%的脑肿瘤由遗传综合征导致,这类遗传综合征可增加神经系统肿瘤的发生风险。其中部分肿瘤与神经纤维瘤病和几种其他遗传性综合征相关。包括1型神经纤维瘤病、NF2相关神经鞘瘤、Li-Fraumeni综合征、von Hippel-Lindau综合征、基底细胞痣综合征、家族性腺瘤性息肉病、错配修复缺陷。
2.电离辐射。电离辐射(包括X射线)对大脑或头部进行的治疗已被证明是脑肿瘤的危险因素。
3.化学因素。动物实验证实多种化学物是诱发脑瘤的原因。
此外,关于原发性脑肿瘤的发病机制有多种假说;遗传学显然在他们的发展中发挥作用。暴露于高剂量电离辐射唯一经证实的原发性脑肿瘤的环境危险因素。
8大警戒信号可能提示脑瘤
脑肿瘤患者可能表现为全身性和/或局灶性体征和症状,或者可能没有症状。
1.头痛:头痛是脑肿瘤的常见表现,是多达一半患者的主诉症状。脑肿瘤相关头痛通常表现为持续性钝痛,但偶尔为跳痛。
2.癫痫发作:局灶性癫痫发作是原发性和转移性脑肿瘤最常见的症状。50%-80%的原发性脑肿瘤患者有癫痫发作,10%-20%的脑转移瘤患者有癫痫发作。在原发性脑肿瘤中,低级别肿瘤比高级别肿瘤更可能引起癫痫发作。
3.肌无力:脑肿瘤患者常诉肌无力。这种表现可能是轻微的,特别是在早期。
4.感觉丧失:肿瘤侵犯初级感觉皮质可导致皮质感觉障碍(体表图形觉或实体辨别觉异常)。
5.失语:肿瘤侵犯语言优势半球的患者可能表现为不同程度和类型的失语。
6.视力障碍:表现为短时间内视力下降,尤其是单眼视力下降、视野缺损和复视。
7.听力下降:听力下降尤其是单侧的耳鸣、耳聋应引起高度重视。
8.垂体相关症状:男,功能下降、不育等,女性不孕、月经不调等,经男科和妇产科诊治效果不好,或伴有视力障碍时,应高度警惕。
脑瘤具体怎么检查?
一般不推荐开展人群组织性脑瘤筛查。对疑似脑肿瘤的患者应进行病史采集、神经系统检查和脑部增强MRI,若怀疑脑转移瘤还应进行全身性癌症筛查。除非影像学特征不典型,否则在诊断性活检或切除术前通常不需要进行其他检测。
脑部增强MRI
脑部增强MRI通常是提示脑肿瘤所需的唯一检查。为充分明确脑肿瘤的特征,应采用的标准序列包括T1和T2、FLAIR、梯度回波/磁敏感序列、弥散加权成像和造影后T1加权成像。成人中一些较常见的脑肿瘤的典型影像学特征见上文。
对于头部CT或非增强脑MRI发现可能有脑肿瘤的患者,应进行增强脑MRI,以进一步明确病灶特征并帮助排除非肿瘤病因。有MRI禁忌证的患者应进行头部增强CT。

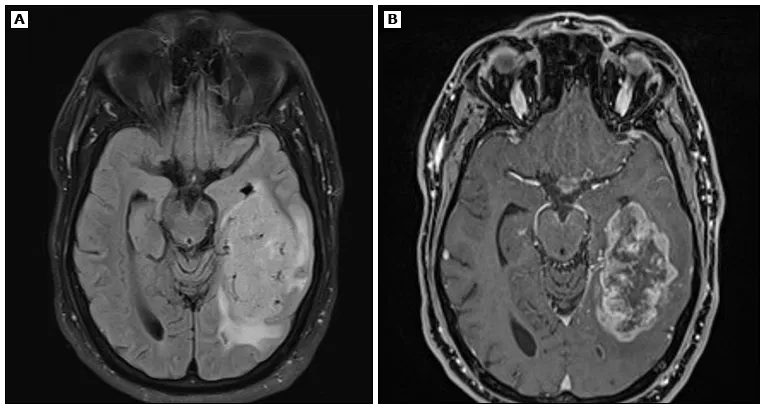
一例53岁男性患者,因持续数周的头痛及找词困难就诊,行头颅MRI检查。FLAIR(图A)及增强后T1加权像(图B)显示左侧颞叶可见一巨大T2高信号肿块,伴不均匀强化及中心坏死。经病理学检查证实为WHO 4级胶质母细胞瘤。

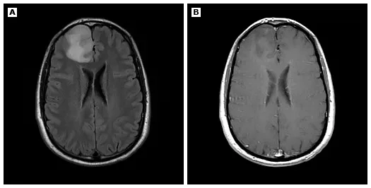
40岁男性,因首次全面性强直-阵挛发作就诊,行头颅MRI检查。术后病理证实为WHO 2级胶质瘤。(图A)轴位FLAIR序列示右侧额叶一T2高信号、膨胀性占位病变;(图B)增强后轴位T1加权像未见明显对比剂强化。
当然,提到检查,很多病友也会有这样的疑惑。听说CT有辐射,那MRI是不是辐射更多啊?它们的扫描原理是不一样的,CT有一定剂量的辐射,而MRI不仅分辨率更高,而且没有辐射,所以对于儿童、孕妇等特殊人群,选择MRI检查。虽然说MRI没有辐射,但还是建议孕期3个月内孕妇尽量避免MRI检查。
参考资料:成人脑肿瘤的临床特征和诊断概述.UpToDate临床顾问.
- 文章标题:普通人体检,有必要每年检查脑部吗?
- 更新时间:2025-09-02 13:46:43
400-029-0925


