查收一份来自1991年的神经外科手绘……
巴特朗菲教授和其导师Wolfgang Seeger教授(1929-2018)提出的“dorsolateral , suboccipital , transcondylar approach”入路,以突破枕骨大孔区手术。


图:INC巴特朗菲教授导师Seeger教授手绘枕骨大孔区
在颅脑与脊髓的交界处,枕骨大孔区,骨性结构层层叠叠,神经血管纵横交错。拳头大小的空间里,掌管呼吸心跳的延髓在此悄然过渡为脊髓,十二对颅神经中"娇气"的后组神经在此穿行,椎动脉如同过山车般在骨缝间蜿蜒穿行。
医生不仅要穿越层层肌肉帷幕,更要在方寸之间避开致命的椎动脉、守护脆弱的呼吸中枢,还要在神经丛林的迷宫中精准开路。毫米级的误差,都可能造成不可逆的损伤。面对枕骨大孔区的各类硬膜内肿瘤,手术需整合多种专科技术:既需颅底、脑干、脊髓、血管及肿瘤外科的丰富经验,又须对该区域解剖具备深刻理解。
枕骨大孔区病变通常包括肿瘤、先天畸形等,肿瘤常见脑瘤瘤、神经鞘瘤、室管膜瘤、胶质瘤等。可累及脑干、小脑、延髓、高位颈髓、后组脑神经(舌咽、迷走、副神经、舌下神经)及颈神经根等结构,肿瘤大者还可能影响面神经、听神经等。症状常表现为: 枕或上颈部疼痛;上肢麻木、无力且会发展成瘫痪;以及吞咽困难、呛咳、声音嘶哑、言语不清;眼震、上下肢共济失调、步态不稳等。
时至今日,无数枕骨大孔区的患者在巴教授的手术台上获得新生。“国际颅底手术大咖”赞誉的背后,是40多年如一日的执着坚守——从最初在解剖室废寝忘食地钻研,到如今在手术台上游刃有余地突破一个又一个“生命禁区”。

成绩斐然,但巴教授仍战斗在一线,一次次中国行不断将"不可能"变为"可能",在神经外科的无人区开辟出一条条生命通道。当然,进步永无止境,他坦言:直到现在仍有很多他也无法解决的问题。
翻开1991年的枕骨大孔区肿瘤研究,他如何在逆境中创造奇迹?
时间倒退30年前,世界神经外科正处于传统外科向显微外科过渡的关键期。CT成为常规检查,MRI开始在全球少有医院应用,但分辨率远不如今天。颅底外科取得突破性进展,但手术死亡率和致残率仍居高不下。
在如此情况下,他开展了多项研究:从手术入路、显微手术操作技巧、神经功能保护,总结出自己的经验。
1991年,巴特朗菲教授与其导师Seeger教授发表了《The Dorsolateral,Suboccipital, Transcondylar Approach to the Lower Clivus and Anterior Portion of the Craniocervical Junction》。回顾了他们经枕下-远外侧髁后入路(dorsolateral approach)处理枕骨大孔前缘及其邻近区域病变的经验。该入路共应用于6例位于延髓腹侧的硬膜内占位性病变患者,除1例因以活检为主要目的外,其余患者几乎全部切除肿瘤,且均未出现手术相关并发症及死亡。枕下-远外侧经髁入路(dorsolateral, suboccipital, transcondylar route)的主要优势在于,无需牵拉脑干即可直接暴露枕骨大孔前缘,为手术提供了清晰视野。

枕下-远外侧经髁入路,提出了铲平“枕骨髁部”,指出了远外侧入路的关键、操作难度和技术所在,对今远外侧入路的改善和发展奠定举足轻重的作用。这一Bertalanffy版本的经枕髁远外侧入路,仍几乎无改动地记载于经典手术专著第6版《施米德克手术学》中。
此后,巴教授及其导师Seeger教授先后发表多篇论著阐述这一入路在枕骨大孔区的应用。

枕骨大孔区,从右背外侧和下角观察颅骨(a)和右背外侧颅骨区图示(b)。如大箭头所示,枕骨大孔前缘和神经轴前表面的直线视图被枕骨大孔外侧缘、髁状突后导管和寰枕关节内侧部分阻挡。通过部分磨除椎动脉硬脑膜入口正外侧的骨质结构,可以充分扩大手术视角,以便安全地操作神经轴的前外侧。OC:枕髁,JT:颈静脉结节。
1996年,巴特朗菲教授等再次报告了1986—1994 年间,19例患者采用枕下-远外侧经髁入路切除腹侧或腹外侧枕骨大孔区脑膜瘤的临床经验。文中强调,此类病变的显微外科处理包含两个关键环节,可显著提高手术安全性:其一,基于患者个体化显微解剖结构的精细术前规划;其二,针对具体病例的手术入路个性化设计。本组无死亡病例,且5年内未出现任何神经功能并发症,比如下组颅神经损伤、重要血管结构损伤、脑脊液漏或颅颈交界区不稳定等。所有病例均实现肿瘤全切除。巴教授认为,采用该技术进行腹侧或腹外侧枕骨大孔区脑膜瘤的显微外科切除是一种安全且值得推荐的手术方案。

下图为其中一名74岁女性患者,左图为术前螺旋 CT 三维重建,可见肿瘤附着于枕骨大孔右侧腹外侧缘(箭头所示);肿瘤将右侧椎动脉向尾端推移。右图为术后采用相同重建技术所得影像。骨瓣切除范围向外侧延伸至乙状窦内侧缘(箭头所示);乳突及 C1 椎板保持完整。

到了2002年,巴教授发表相关研究中,涉及病种更广。74例枕骨大孔区硬膜内肿瘤及海绵状血管瘤患者,均接受显微外科手术治疗。病理类型包括:脑膜瘤25例、血管母细胞瘤12例、室管膜瘤11例、神经鞘瘤9例、胶质瘤7例、海绵状血管瘤6例、表皮样囊肿2例、脂肪瘤1例及转移癌1例。文中结合多个案例对于枕骨大孔区手术技术进行了详尽阐述。


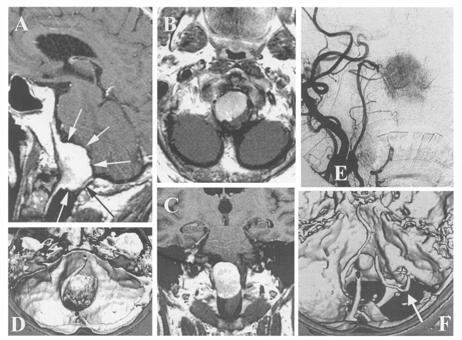
59岁男性枕骨大孔区巨大脑膜瘤案例
(A–C) 术前MRI。
(D) 三维增强CT示肿瘤以宽基底附着于枕骨大孔前缘中线两侧,占据大孔腔隙超过2/3;右侧椎动脉被肿瘤包绕。
(E) 血管造影显示肿瘤主要由咽升动脉分支供血。
(F) 术后三维CT示经小型背外侧颅骨切除并磨除枕骨大孔外侧缘后,肿瘤已全切;右侧椎动脉及寰椎后弓得以保留;箭头示椎动脉水平段后袢。术后恢复平稳,无并发症。

13 岁男孩 C1–2 节段左侧巨大硬膜内-外神经鞘瘤案例
(A-C) 术前MRI(D) 术后三维CT 重建; (E) 寰椎轴位 CT 示左侧半椎板切除(hemilaminectomy);
(F) 肿瘤全切,术后 MRI 未见肿瘤残留,术后未出现新的神经功能缺损。
脑膜瘤是枕骨大孔区常见的肿瘤。随着现代神经影像学及精密显微解剖研究的普及,枕骨大孔脑膜瘤的神经外科治疗水平已显著提升。为探查位于延髓腹侧的既往难以抵达的病变,学者们设计了多种手术入路。其核心理念在于:通过磨除颅底功能相对次要的骨质,建立直达枕骨大孔前缘的通路。
鉴于暴露延髓腹侧肿瘤仍需一定量的外科创伤,巴教授认为,处理腹侧或腹外侧枕骨大孔脑膜瘤的首要目标之一,应是最大限度减少手术创伤及随之而来的潜在并发症。若对所有患者均采用标准化入路,势必在多数病例中引入不必要的操作步骤。因此,应力求“以最小侵袭换取最大效能”。
该研究也证实,经背外侧远外侧经髁入路(dorsolateral transcondylar route)显微切除腹侧或腹外侧枕骨大孔脑膜瘤,不仅可避免新增神经功能损害,也不会造成颅颈交界区不稳定。术前依据患者个体显微解剖细节进行缜密规划,并对手术步骤作个体化裁剪,是手术成功的关键。
2011年——《Intraaxial lesions of the foramenmagnum》

当医学突破照进现实,那些被重新点亮的生命
一次次突破,不仅仅是医术上的突破,它改变的还包括众多病患一度难以挽回的绝望。医学进步的意义,不就在于此吗?让那些看似无解的病例,也能等来转机。
46岁女性,出现步态障碍、感觉障碍,术后状态良好,无神经功能损伤。

75岁女性,出现共济失调、颈部疼痛。顺利全切后,失衡消失,无神经功能损伤,生活恢复正常。

33岁女性,颈部剧烈疼痛、身体右侧感觉异常。顺利全切,术后6年未复发,状态良好。无神经功能损伤。

51岁女性,出现眩晕,轻微舌下神经功能障碍。顺利全切后,舌下神经功能障碍消失。

54岁男性,出现颈痛、共济失调、吞咽困难、舌下神经麻痹。顺利全切后,症状消失,状态良好。无神经功能损伤。

53岁男性,手臂和脸部感觉迟钝。顺利全切后,运动功能恢复,无损伤。

65岁男性,出现步态共济失调、吞咽困难。手术顺利全切,状态良好,无神经功能损伤。

巴教授8月中国行进行中:心手相传,步履不停
多年来,巴特朗菲教授收到过来自欧洲、中东、北非以及日本、中国、韩国、新西兰等的40多个国家和地区的学术邀请,进行技术交流及经验分享。他说:“我的主要工作在德国,但我在许多医院工作,也在其他国家。”

不仅手术技术精湛,更以传道授业为己任,肩负着培养下一代医学人才的使命。在通往世界神经外科领域巅峰的路上,巴特朗菲教授从不吝啬传授自己的精湛技巧。在中国的多场学术演讲中,巴特朗菲教授不止一次分享自己的手术技巧。
在一次次学术交流之中,他相信一台台手术交流,不仅可以救助更多患者,更是将技艺“心手相传”,青年医师也定能奋勇不懈攀登神经外科之高峰……
巴教授中国行进行中,敬请关注更多报道!
- 文章标题:枕骨大孔区肿瘤难以手术?原来他和他的老师30多年前就已攻关
- 更新时间:2025-08-13 17:16:08
400-029-0925




