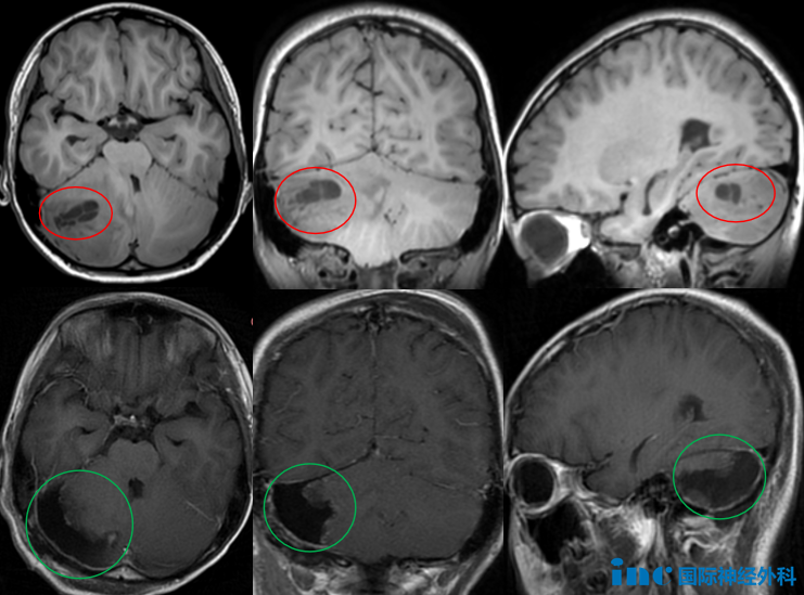
年仅9岁的九九,生命被一个巨大的恶性脑瘤按下暂停键。 体积巨大、ki67高达60%-70%、位于小脑且严重压迫脑干、术前出现复视、剧烈头痛、精神萎靡 每一个特性似乎都预示了这位小男孩的命途...


年仅9岁的九九,生命被一个巨大的恶性脑瘤按下暂停键。体积巨大、ki67高达60%-70%、位于小脑且严重压迫脑干、术前出现复视、剧烈头痛、精神萎靡……每一个特性似乎都预示了这位小男孩的命途多舛。
然而,生命之所以伟大,正是源于它的坚韧和反抗。父母的执着、亲戚的支持、巴教授的手术,都在为九九的生命接力。髓母细胞瘤恶性程度高,所以手术已经没有意义了?不,九九的故事似乎在向所有恶性脑瘤宣战:你看,我还没有向你屈服!而当这种反抗精神照进现实,最终成就了11岁的九九在公园奔跑打球时,迎面而来的那束光。
不要被恶性吓倒,不要让脑瘤决定孩子的将来。九九一家在用实际行动告诉我们,追光的人即使大汗淋漓,也终会沐浴在阳光下。在2025年巴教授8月中国行即将开启之时,我们看到了无数与九九类似的脑瘤患儿如此惊喜的术后恢复,这无疑是对这位国际大咖最好的慰藉与欢迎。
点击图片,让我们一起了解九九是如何从确诊为恶性脑瘤到决定找巴教授手术,最终实现全切、获得良好预后的。他的治疗之路也揭示了针对这种恶性脑瘤,治疗的重中之重是什么。

- 文章标题:恶性髓母细胞瘤治疗的重中之重,术后2年开心玩耍的他来告诉你!
- 更新时间:2025-08-04 16:35:25
-
3岁,本该是抱着玩具玩耍的年纪,他们的头颅里却长出了巨大的肿瘤 这些小小的身躯,...
2025-06-13 13:44:32
-
查收一份来自1991年的神经外科手绘 巴特朗菲教授和其导师Wolfgang Seeger教授(1929-2018) 提出...
2025-08-13 17:16:08
-
医生,我的孩子开了颅、取了瘤,怎么病情还恶化了? 星星妈妈,从影像上看,第一次术...
2025-07-23 13:39:50
-
视神经-下丘脑肿瘤手术还是放化疗,听国际神经外科手术教授详细解读...
2021-03-19 11:46:55
-
得了脑瘤能治好吗?一般能活多久? 在当前的医疗技术条件下, 得了脑肿瘤并非等于不治...
2025-07-29 11:04:58
-
一位饱受 未破裂脑动脉瘤 困扰的患者,病灶位置极其刁钻深藏在眼眶后方,紧邻着视神...
2025-07-08 11:54:00
-
18岁小杰,本该青春正好的年纪,他却饱受颅咽管瘤折磨,10多年内三次手术、四次复发...
2021-05-17 14:27:48
-
得了脑瘤就没救了吗? 那段时间简直像一场噩梦。年仅32岁的我,以前身体一直很好,可...
2025-08-19 15:57:08
-
9岁的Elsa常常因为自己笑起来嘴歪脸斜而感到自卑,直到后来又出现了走路不稳的情况,...
2025-08-05 15:56:55
-
蝶骨位于颅底的中心,代表这个区域的支点和前颅窝和中颅窝的边界点。蝶鞍是包含在蝶...
2022-12-01 09:46:48