“术后可能会瘫痪”——是19岁少年阿朔确诊脑干延髓海绵状血管瘤时,听到最刺耳的声音。一瞬间,青春正盛的他瞬间陷入了人生的至暗时刻。
直到INC国际脑干手术大咖巴教授用手术刀为他划开黑暗,安全拆下了这颗“不定时炸弹”,让他从濒临瘫痪,最终重返校园。
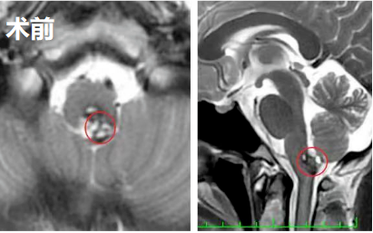
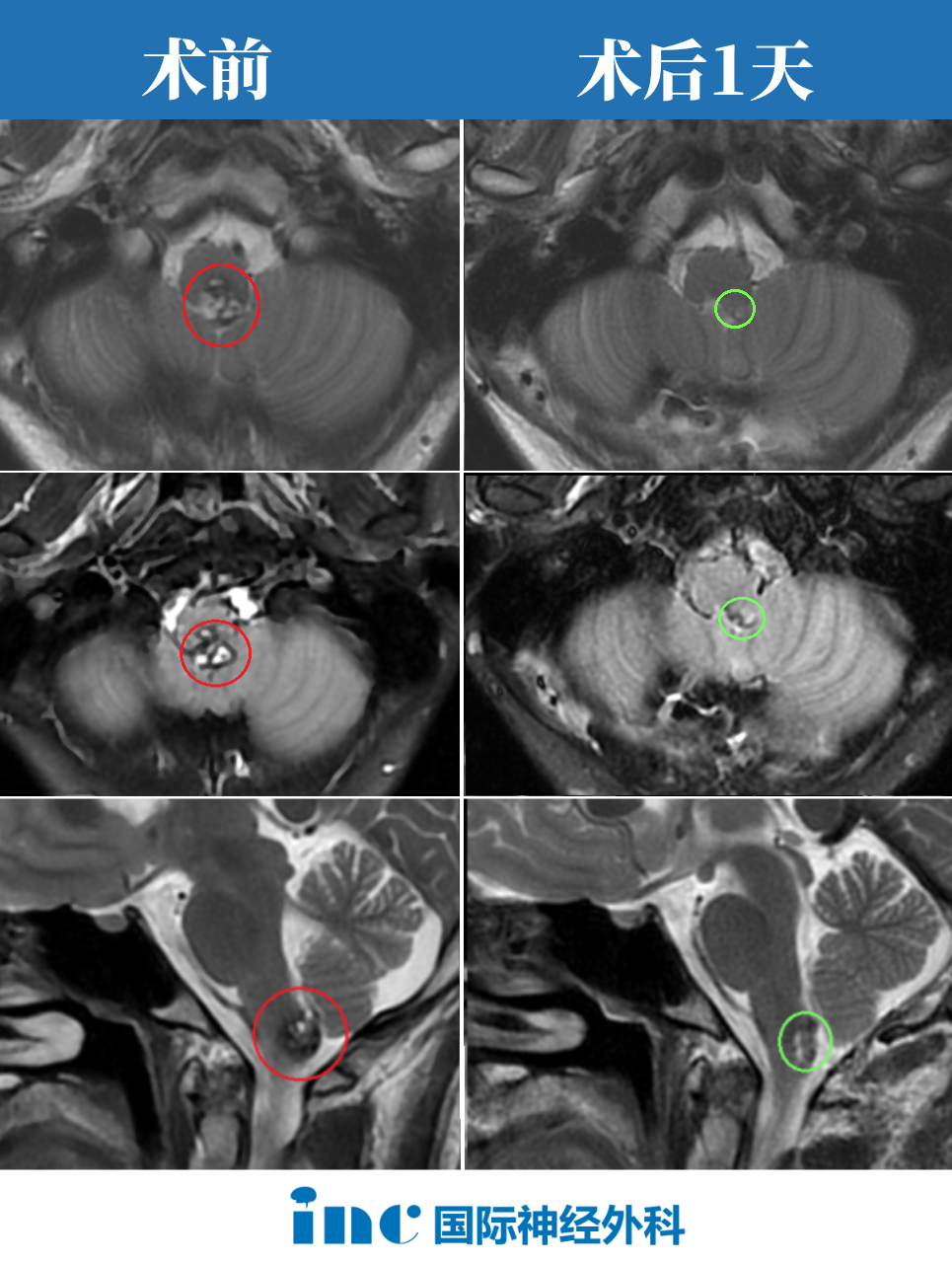
阿朔 19岁 延髓海绵状血管瘤
起病阶段:青春突遭阴霾
2022年9月8日,本是青春飞扬的19岁大学生阿朔,突然出现无明显诱因的持续性头痛和头部晕胀感,打破了平静的校园生活。
一个多月后,阿朔在苏州独墅湖医院进行了颅脑核磁共振检查。检查结果令人揪心:延髓(脑干下部关键区域)出现异常信号,高度提示“海绵状血管瘤”。
这是一种由异常扩张的血管组成的良性病变,但生长在控制呼吸、心跳、吞咽和肢体活动的延髓,犹如在“雷区”埋下了一颗不定时炸弹,随时可能出血或压迫神经,导致严重后果,甚至瘫痪、生活不能自理。这个诊断,让阳光爱笑的阿朔瞬间陷入了人生的“至暗时刻”。

求医阶段:不甘命运,寻求生机
面对如此凶险的诊断和沉重预后,阿朔的父母心如刀绞,但并未放弃希望。他们不甘心让孩子保守等待,承受随时可能恶化的风险。
在多方求医、深入咨询后,他们了解到INC国际脑干手术大咖巴教授,便立刻联系到了INC进行协调,争取到了由巴教授主刀手术的机会。

手术阶段:惊险挑战,全国瞩目
2022年11月27日,由巴特朗菲教授主刀,在国内神经外科团队的配合下阿朔延髓深处的海绵状血管瘤被成功完整切除。
并且手术全程进行了全国示范直播,吸引了众多神经外科医生在线观摩学习。令人感动的是,一些即将接受巴教授手术的其他患者家属也共同观看了直播,从中获取信心。手术直播中,巴教授不仅展示了高超技艺,还细致讲解了每一步操作要点,体现了其作为国际大师的严谨与教学热忱(阿朔姐姐观看直播后对此印象深刻)。

术后阶段:从ICU到校园的“重生之路”
- 术后第1天:阿朔意识清醒,四肢活动自如,顺利转出ICU。
- 术后第5天:他颤巍巍地迈出第一步,触地的瞬间热泪盈眶:“原来站立是这种完整的感受。”
- 术后第8天:阿朔已经可以正常站立和行走。
- 术后1个月:回归大学校园,重启学业、交朋友,仿佛疾病从未降临。
- 术后3个月:他在INC的专访中分享:“恐惧是暂时的,积极面对才能迎来身体的正向反馈。”

回顾这段经历,阿朔展现出超越同龄人的勇气和对生命的深刻体悟。如今,阿朔对未来充满期待,踏上了新的人生征程。
至今,巴教授已在中国完成了多台高难度神外手术示范教学。当面对脑干、丘脑等这样的神经外科难题时,巴教授“只道是寻常”。这也是为何中国示范手术合作神经外科团队这样描述他——“巴教授被称为是‘神外手术大咖’,他确实是做一些别人不敢开的刀。
术者不能只见病灶不见预后,要看到病灶,也要看见整体的人。尤其对于很年轻的患者,他们的路还长。尽可能防止复发,一些术者可能会选择多切。
但在脑部,“一刀切”面临的问题就很复杂。如果切除这块组织会损伤重要功能,术后说不了话,记忆错乱,不能行动,无法吃饭、生活质量严重下降等等,显然这台手术是不成功的。
对每一位患者来说,病变的切除、术后并发症少、身体恢复得快、神经功能恢复得好、术后无新发神经功能损伤,这才是一台“高配”手术。
INC国际脑血管专家 巴特朗菲教授
INC国际神经外科医生集团旗下世界神经外科顾问团(WANG)成员、世界神经外科联合会(WFNS)教育与技术委员会前主席巴特朗菲教授,作为德国汉诺威国际神经外科研究院血管神经外科主任,擅长大脑半球病变、脑干病变、脑血管疾病、脑内深层区胶质瘤、颅颈交界处的病变等的肿瘤切除术、神经吻合术以及各种椎管内肿瘤等。

同时,巴特朗菲教授收到过来自欧洲、中东、北非以及日本、中国、韩国、新西兰、南非和智利的40个国家的学术邀请,应邀出席了400多场世界各地的学术会议或在神经外科大会作为特邀发言人,对世界神经外科学科做出重大贡献,特别是颅底外科和显微外科血管病变的脑和脊髓治疗。
400-029-0925




