1岁半的聪聪突然出现斜视、面瘫和怪异的扭头动作,初诊竟被误判为“电视看多了”?
当核磁共振揪出脑干深处的“定时炸弹”——脑干桥脑海绵状血管瘤,多家医院评估手术“风险极高,难以两全”。在聪聪父母绝望之际,一个消息点燃了希望......
聪聪 1岁半 脑干-脑桥海绵状血管瘤
起病阶段:从“斜视”到“脑内危机”的警觉
1岁半的聪聪突然出现双眼斜视,起初以为是“看电视太多”,辗转眼科检查未果。
经亲友提醒“需排查脑内病变”后,父母随即带聪聪去医院,紧急进行头颅核磁共振(MRI)检查,结果令人心碎:脑干海绵状血管瘤。
这个结果对这对年轻的父母来说如惊雷炸响,更糟糕的是此时聪聪症状加重,出现走路不稳、频发不自主扭头、面瘫迹象。

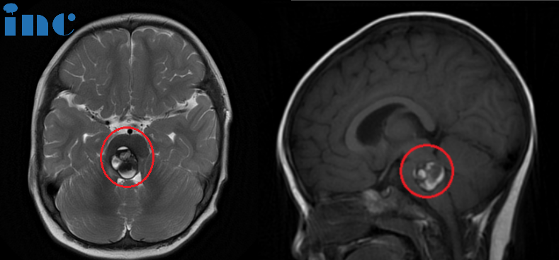
术前:脑桥占位。双眼斜视、畏光,面瘫,频发不自主扭头动作,走路稍有不稳。头颅MR (红色区域) 显示: 脑桥血肿,可见16 x 22 x 21mm肿块,第四脑室受压变窄。
求医阶段:从迷茫到“柳暗花明”的转折
从当地医院到上海的医院,医生们评估需要做手术,但幼儿脑干手术风险极高,家长陷入“保命还是保功能”的两难。正当聪聪父母为难之际,病友群的一条消息改写了治疗轨迹——“国际脑干手术大咖巴教授近期要来中国”。
此前,聪聪父母虽也了解过巴教授的信息(国际知名神经外科专家,擅长复杂脑干手术),但当时巴教授远在海外,未敢奢望能给聪聪做手术。
一边收集更多巴教授有关资料,一边对比国内其他医院“排队2个月、康复周期长、整体费用也不低”的现实,聪聪父母果断暂停上海住院计划,通过INC协调联系到巴教授。

巴教授对聪聪病情的国际远程咨询回复
手术阶段:成功全切,让小小的他重获新生
巴教授详细评估的聪聪的病症之后明确:“肿瘤可安全全切,术后功能恢复概率大。”这句话让聪聪父母悬着的心稍稍落下。

手术由巴教授主刀,手术过程十分顺利,脑干-脑桥海绵状血管瘤最终全切。

术后:头颅MR(蓝色区域) 显示小脑半球及脑干形态正常,中线结构居中,原脑桥内团块状信号消失。
术后阶段
- 术后第2天:从ICU转出至普通病房,斜视消失,眼球恢复灵活转动,不自主扭头动作消失,步态显著改善,面瘫明显减轻。
- 术后2-3天: 即可下床活动、玩耍,术前主要症状基本完全消失。
- 术后7-8天: 顺利出院。孩子状态活泼,除伤口未拆线外,行动如常。无需特殊药物,无需额外康复治疗。
- 长期随访(4年): 聪聪恢复如常,生长发育与健康儿童无异,快乐生活。

2023年,健康成长的聪聪在游乐园里攀爬玩耍
儿童脑海绵状血管瘤临床表现与危害
儿童脑海绵状血管瘤通常以散发性、孤立性病灶出现,亦有20%患儿可为多发,以家族性脑海绵状血管瘤较为常见,占多发性脑海绵状血管瘤的l/3~1/2.呈常染色体不完全性显性遗传。基因学研究已经证实,家族性脑海绵状血管瘤与CCM1 (KRIT1)、CCM2 (MGC4607)和CCM3 (PDCD10)基因变异有关。其中CCM3基因变异致脑海绵状血管瘤占16%-22%,该类型脑海绵状血管瘤患儿随着年龄增长新生病灶数目亦有所增加,存在较高的颅内出血风险。
脑海绵状血管瘤患儿临床表现和病程存在一定差异,高达50%的患儿为无症状或偶然发现。一般确诊时平均年龄为10岁;有临床症状的患儿通常表现为癫痫发作(50%)、自发性脑出血(25%)、局灶性神经功能缺损(25%)。
1. 癫痫发作
对于毗邻或累及大脑皮质的病灶,一般被认为是潜在的致痫灶,即使影像学检查未发现明显的脑出血征象,患儿仍可出现癫痫发作。对于既往存在癫痫发作史的患儿,首次发作后5年内癫痫风险高达94%,远高于脑动静脉畸形患儿的58%。
2. 自发性脑出血
脑海绵状血管瘤和其他血管畸形均可表现为自发性脑出血,应注意鉴别。通常海绵状血管瘤引起的脑出血量较少且呈局灶性,与其他颅内血管畸形相比,神经功能损害程度较轻。
有研究显示,病灶位于脑干、有反复性脑出血病史、 存在明显发育性静脉异常(DVA)等为儿童脑海绵状血管瘤发生脑出血的重要危险因素,其中,病灶位于脑干的脑海绵状血管瘤患儿发生脑出血与不良预后直接相关。
相比于成人患者,儿童脑海绵状血管瘤患者总体脑出血概率更高(3.3%对 2.5%),且首次脑出血的年龄越小,随着年龄增长和病程迁延,再次发生脑出血的风险可进一步增加;而发育性静脉异常则被视为放射状“水母头”血管的集合,这种静脉异常可因血管壁的先天薄弱及静脉压力的增加而导致反复局灶性出血。
3. 局灶性神经功能缺损
脑海绵状血管瘤患儿永久性神经功能障碍发生率约为29%,其症状严重程度主要取决于病灶部位,据文献报道,病灶位于脑干、丘脑或基底节者45%,主要表现为肢体偏瘫或感觉障碍,位于幕上或小脑者占15%,临床可表现为失语或共济失调。
作为人体极其精密的器官,大脑手术对安全性和精准度的要求近乎苛刻。对患者而言,手术室或许充满未知与不安;但对神经外科团队来说,这里是用技术对抗病魔的战场。每一台手术,都是经验与勇气的双重考验。
巴教授2025中国行期间,一个又一个成功案例正在诞生。脑干、基底节区、丘脑、视神经、鞍区……INC巴教授与国内神外专家携手突破手术禁区——他们的目标始终如一,只为每一个置身绝境的生命能够走得再远一点。
INC国际脑血管专家 巴特朗菲教授
INC国际神经外科医生集团旗下世界神经外科顾问团(WANG)成员、世界神经外科联合会(WFNS)教育与技术委员会前主席巴特朗菲教授,作为德国汉诺威国际神经外科研究院血管神经外科主任,擅长大脑半球病变、脑干病变、脑血管疾病、脑内深层区胶质瘤、颅颈交界处的病变等的肿瘤切除术、神经吻合术以及各种椎管内肿瘤等。

同时,巴特朗菲教授收到过来自欧洲、中东、北非以及日本、中国、韩国、新西兰、南非和智利的40个国家的学术邀请,应邀出席了400多场世界各地的学术会议或在神经外科大会作为特邀发言人,对世界神经外科学科做出重大贡献,特别是颅底外科和显微外科血管病变的脑和脊髓治疗。
400-029-0925




