“谢谢教授”晓玲站在巴教授身边开心比耶,“I must do this”巴教授伸出大拇指摆出招牌合照手势,一旁的晓玲妈妈望着女儿眼神中充满着无限的欣慰,距离凶险的脑干海绵状血管瘤手术已经过去了十一天,从2022年9月确诊脑干海绵状血管瘤——10月咨询远程巴教授手术——11月在苏州接受巴教授手术,仅仅3个月的时间,年轻的晓玲在巴教授的技艺下摆脱了凶险的脑干海绵状血管瘤,而这一天也是2022INC德国巴教授中国疑难示范手术的然后一天,怀着无比的感激晓玲希望留下一张和巴教授的合影,INC工作人员记录了这温馨的一幕,每个人脸上明媚的笑容像阳光一样照亮整个病房。

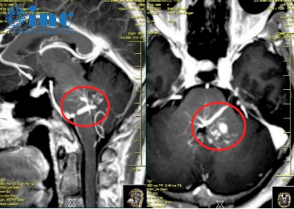
晓玲术前术后影像对比,巴教授全切脑干海绵状血管瘤
病史回顾:无端呕吐、头晕检查竟是脑干海绵状血管瘤
作为标准的南方姑娘,晓玲的身上带着天然的娇嗔和可爱,爱笑爱撒娇的她虽然已经35岁了,但是在妈妈面前还是像没有长大的小女孩,不是大富大贵之家,但是一家人相亲相爱,父母家人都以自己最大的能力为这个家庭做出努力。而晓玲因为从小体质不好、平衡感弱,经常容易摔倒,严重时甚至造成骨折,所以一家人对她格外关注。
2022年9月,不幸突然降临,晓玲在一次午睡醒来后出现原因不明得太阳穴痛,休息过后出现短暂好转,次日晓玲症状家中,出现头晕想吐、走路重心不稳等症状,而接下来的一周内,除了这些原有症状,晓玲还出现了左侧舌头发麻、左腮僵硬、睡觉时眩晕等新发症状。晓玲家里人见此状,急忙带晓玲来到当地医院检查。颅脑CT和MRI提示左侧桥脑、左侧四脑室高密度影,右侧小脑陈旧性出血,考虑海绵状血管瘤合并静脉畸形。

晓玲之前的一系列症状都是由于脑干桥脑海绵状血管瘤出血导致,而脑干海绵状血管瘤一开始出血后,再次出血往往无法评估,可能是运动时、可能是工作时、甚至可能是在睡眠中……多数患者的病史提示出血并非”一次性“,往往不定期反复发生。随着出血次数增多,往往会出现再出血频率增加、症状加重的趋势,神经功能障碍甚至会变成不可逆性损害。
目前出血造成的症状还只是舌体麻木、头晕等相对较轻的症状,那以后呢?而想要完全去除出血的风险,只有一个办法——顺利切除脑干海绵状血管瘤。
而脑干属于人体生命中枢,在拇指大小的脑干上“动刀”,能顺利手术的医生也寥寥无几,如果贸然手术,那轻则面瘫、偏瘫、重则直接出不来手术室。当地医生也如实告知了脑干位置疑难,手术风险很大。
看着年轻的女儿随时都可能因为脑干出血发生难以接受的症状,一家人焦急不已,在网络、病友群求助经验,而此时正值宣布巴教授2022年中国示范手术期间,晓玲的家人在网上看到了巴教授来华的相关主流媒体报道,了解到这位国际脑干手术教授即将11月份来到中国进行疑难脑瘤示范手术,晓玲当下便决定咨询教授是否能为自己在国内进行手术。
远程咨询巴教授:“我可以 全切 地切除”
在INC工作人员的翻译协助下,晓玲通过远程邮件向巴教授提出手术相关问题。“现在是手术的好时机吗?”“手术切除率是多少?有哪些并发症和风险?”“术后会否出现新的神经功能障碍?”
在研究了晓玲的相关病例资料后,巴教授也很快给出了回复“现在就是手术的最佳时期”“海绵状血管瘤的切除率将是 全切”
巴教授在远程邮件中回复了关于手术时机、切除率、复发率、术后并发症等多个问题。
而在后续的远程视频中,巴教授再次强调了自己可以全切全切脑干海绵状血管瘤,复发风险低。
关于切除率和复发风险
“对我来说,这个位置的海绵状血管瘤,我可以 全切 地切除,所以复发的风险低。但需知道的是,这两者,静脉畸形和海绵状血管瘤,有基因性的病因,在少的情况下,海绵状血管瘤会复发,甚至在不同的位置。”
巴教授国际脑干手术教授的风范给了晓玲一家人极大的自信,虽然只是普通家庭,但是晓玲的父母家人都坚信,只有亲人陪伴左右,才是最重要的,要给女儿找到最好的主刀医生,巴教授目前就是她们最好的选择,经过慎重的考虑,他们决定争取巴教授2022疑难示范手术机会。
巴教授全切手术纪实:中德专家同台合作
术前谈话
作为晓玲的主刀医师,术前,INC巴特朗菲教授进行了认真细致的准备,与国内的专家共同制定了手术方案。手术前一天,巴教授也再次和晓玲及其家人沟通交流了相关的手术方案。

术中情况
术中,INC巴特朗菲教授在苏独墅湖医院医生团队的配合下,凭借丰富的手术经验,避开颅内丰富的血管和神经,清晰地暴露出脑干部位的肿瘤病变,在确定顺利的情况下切除了晓玲的海绵状血管瘤。




手术顺利结束,术中患者生命体征平稳。术后二天,患者即出ICU,无新的神经功能损伤,困扰晓玲的脑干海绵状血管瘤终于切除。

术后情况
术后3天
术后3天,巴教授术后查房,晓玲意识清楚,对答如流,巴教授告诉晓玲手术很成功,脑干海绵状血管瘤得到了全切,并嘱咐晓玲可以不要太过于紧张,可以坐起来、活动一下。而针对晓玲反馈的术后复视、指鼻不准症状,教授也笃定告诉晓玲,这些都是短暂的,经过一段时间后都会慢慢恢复。
术后8天

术后8天,巴教授再次来到病房查房,晓玲精神很好,爱笑的她跟巴教授开玩笑,因为舌头麻木没有完全恢复,吃饭都不香,巴教授听到晓玲孩子气的玩笑后很开心。之前的复视也有了很大的好转,教授嘱咐两到三周内会恢复。
术后11天
术后11天,巴教授2022中国疑难示范手术然后一天,巴教授再一次来到病房查房,晓玲已行走自如,经过一周多的恢复,术后短暂的复视、指鼻不准都有了很大的好转。晓玲高兴得拿出自己的手机,下床和巴教授开心合影。

如今距离手术已经过去三个月,晓玲恢复很好,目前她已经回归了正常的工作和生活,这个爱笑的女孩终于逃离脑干海绵状血管瘤的阴影,在家人爱的沐浴下,继续做一个快乐的大人。
作为全世界少数能够在脑干上顺利手术的神外教授,INC国际神经外科医生集团(incsg.cn)德国巴特朗菲教授专研脑干手术30余年,仅脑干手术就高达上千台,平均切除率高达90%以上,大多脑深部肿瘤可达全切,拥有着极为丰富的脑干、丘脑、鞍区、颅颈交界处等疑难位置成功手术经验……他倾20多年心力在手术“禁区”上的脑干海绵状血管瘤得到了的临床效果,近400台脑干海绵状血管瘤成功案例。
400-029-0925




