阿豪在21岁时确诊了脑干海绵状血管瘤,他和家人四处求医寻求手术机会,并在23岁时接受了由巴教授亲自主刀的脑干海绵状血管瘤切除术,并进行了顺利全切,术后5个月已经恢复的跟正常人一样。
王先生在20岁时确诊了脑干海绵状血管瘤,在后来的日子里反复出血,逐渐演变到了视力下降、肢体无力麻木严重影响生活,一直到60岁才接受了由巴教授亲自主刀的脑干海绵状血管瘤切除术,终于将导致王先生反复出血的脑干海绵状血管瘤病灶进行全切。术后第三天就可下床活动,无新发神经功能损伤,术后两周出院。
两位在二十出头的年级患上同样的疾病,是什么样的原因让他们的后来的生活截然不同呢?
在疾病这场没有硝烟的战争里,人类与病魔的较量从未停歇。当脑干的精密结构遭遇海绵状血管瘤侵袭,我们曾像面对不可逾越的天堑般束手无策。
但随着神经影像学的进步,神经导航、神经电生理监测的应用以及显微神经外科技术的进步,让患者有了更好的选择。
脑干海绵状血管瘤首次出血后手术的关键点
脑干海绵状血管瘤特点是相较于其他部位脑内的海绵状血管瘤,其出血率更高。脑干海绵状血管瘤首次出血率仅为0.6%-1.1%,而再次出血率则可高达30%-60%;而且每出血一次,再次出血间隔缩短;每出血一次,患者症状呈进行性加重,而神经系统症状能够恢复的可能性越小。

脑干海绵状血管瘤患者一旦出血,主要采取手术治疗。手术技术的进步使得脑干不再是手术禁区。根据临床经验,Lawton-Garcia(LG)分级系统将出血事件至手术治疗的时间分为急性期(3周内)、亚急性期(3~8周)和慢性期(8周以上),并认为早期手术治疗与良好的术后预后相关。

因为在最初的一次出血之后,出血或多或少仍是一种液体,所以当我们通过手术打开出血区的脑干时,血液可以被冲出去,这在手术中非常有用。但当血液被吸收就会形成非常‘强壮’的瘢痕,这使得手术更困难,更危险,甚至有时阻碍完全切除病变。
对于海绵状血管瘤患者来说,很多患者在出血时出现症状了都会担心不已,然而等过了出血急性期,症状得到缓解就掉以轻心,等到下一次出血到来时才后悔不已。然而下一次出血症状会是什么?时间会在什么时候?到时候再手术能恢复到什么程度,谁也难以预料。
INC巴教授脑干海绵状血管瘤首次出血案例解读
阿豪,21岁确诊脑干海绵状血管瘤。
2021年:发现病情。
2021年,因为持续数日的头晕、乏力、睡眠质量下降呕吐,阿豪就医检查,本以为就是一次简单的小毛病。
但是却不想竟是“生命中枢”——脑干上出了问题。头部CT显示延髓后方近小脑见大小约6.8*9.9mm的片状高密度阴影,怀疑脑干海绵状血管瘤。

2021-2023年3月:四处求医顺利手术机会。
多方寻医得到的都是手术风险很大,稍有不慎可能会导致面瘫、偏瘫……年轻的生命怎么经得起这样的打击。他们希望尽快找到答案……

2023年3月26日:和国际脑干专家面对面。
2023年3月,巴特朗菲教授来华进行示范手术的消息在病友圈传开,阿豪和家人也看到了。
3月26日,安豪和家人来到巴教授示范手术医院,寻求手术机会。
阿豪:我的脑干海绵状血管瘤需要手术吗?可以安全手术吗?
巴教授:目前来看手术是可行的,但是并不是必须的。

然而不手术,出血的风险就继续存在。
手术还是继续保守?阿豪面临着抉择!
最后勇敢的少年做出了自己二十年来重要的选择!
2023年3月29日,在国内手术团队的配合下,术中神经电生理监测下,巴教授全程主刀顺利全切了阿豪的脑干海绵状血管瘤。

术后第9天,阿豪已经能够自由活动。术后5个月,阿豪接受了INC的专访,“我现在已经恢复的跟正常人一样了,我可以回归到我以前想要的那种生活,不要再过那种提心吊胆的日子了”。
INC巴教授脑干海绵状血管瘤反复出血案例解读
王先生,40年脑干海绵状血管瘤病史。
- 第一阶段:20岁右眼眼球内翻出不来,在当地医院住院进行针灸中医治疗1个月恢复,数月后复发再次入院治疗,第三年在医院激素治疗1个月后服药1年后恢复正常,但是开始产生复视,已发现脑干部位海绵状血管瘤。
- 第二阶段:40岁开始,视力逐步衰退,脚手麻木,复视程度加深,住院治疗,同样使用激素治疗,半月不到,血糖升高,停止治疗后做伽马刀手术,治疗效果基本无效。
- 第三阶段:50岁到60岁,断断续续出血,住院治疗5次,走路不稳,18年7月最后一次住院恢复治疗,出院后明显感觉视力复视加重,走路稳定性越来越差,很容易产生精神紧张,行动不受控制。
- 第四阶段:轻松环境下语言表达能力尚可,复视情况严重,神经紧张,运动功能障碍,四肢无力,平衡感很差。
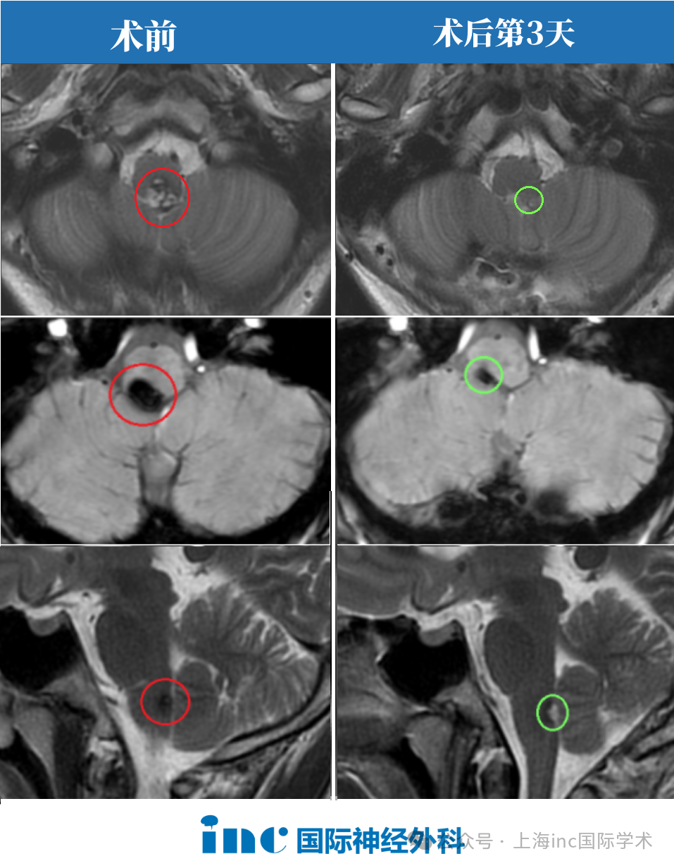
INC德国巴特朗菲教授于2021年5月来华疑难手术示范。5月21日,60岁的王先生在苏州大学附属第四医院接受了由“巴教授”亲自主刀的脑干海绵状血管瘤切除术。导致王先生反复出血的脑干海绵状血管瘤病灶得到全切,王先生术后第二天就转出了ICU,术后第三天就可下床活动,可正常进食,无新发神经功能损伤,术后两周出院。

由于反复出血是造成脑干海绵状血管瘤患者伤残和死亡的重要原因,部分切除的病例再出血可能性较大,可引起灾难性的神经功能缺失,因此,完整切除病灶进行全切手术(BSCM)是防止再出血的方法。
近年来,随着神经影像学的进步,神经导航、神经电生理监测的应用以及显微神经外科技术的进步,全切手术效果也明显提高。但医学的突破从不是坦途,需要跨越恐惧与犹疑的双重障碍,用理性构筑的决策框架,在生命的天平上及时按下正确的砝码。毕竟,生命的缰绳始终掌握在自己手中。
400-029-0925




