头痛、复视、右肢无力——两次脑干出血,让19岁的身体被迫进入“瘫痪”倒计时。是保守治疗?还是手术?
在翻阅无数脑干海绵状血管瘤文献资料后,有个名字如同晨曦照亮她的眼睛, “如果赌注是瘫痪...”她将诊断书按在剧烈起伏的胸口,“我押自己能赢!”
艾丽 19岁 脑干海绵状血管瘤
第一次出血:“观察”背后的惊雷
一直为期末考试头痛,而紧张备考的艾丽,突然觉得眼前书本上的文字分裂成重影,揉揉眼睛强打精神试图继续做题,但握笔的右手也开始不可控地颤抖,连忙起身想去洗手间,却发现右腿似乎也使不上劲。
紧急就医检查后发现,让她头痛、复视、右侧肢体无力的元凶竟是出现在她脑干中脑被盖区的海绵状血管瘤。
“这里是人体的‘生命中枢’。”医生指着影像上脑干的精密结构,“手术稍有不慎,瘫痪风险极高。”看着父母煞白的脸,艾丽不知所措,医生不建议手术,而且目前症状有缓解,那是不是就可以保守观察了?
第二次出血:20mm血肿撕碎所有侥幸
在第一次出血并且所有的症状都有缓解之后,艾丽和父母便决定保守观察。
然而仅在一年后的某天凌晨,剧烈的头痛传来,艾丽挣扎着想坐起,右侧身体却像被浇筑进水泥,动弹不得。
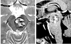
急救MRI的影像令人窒息:脑干再次出血,血肿有20mm大小(图a和b)。这一次医生不再建议保守治疗,但是医生仍表示脑干位置手术风险很大,稍有不慎可能瘫痪,除非有万全的把握,否则不会轻易手术。
第一次脑干出血后的好转,没有让艾丽意识到这颗“定时炸弹”的危险性,而第二次出血来临,她失去对右侧身体的控制权,让她恐慌惊惧,重新认真审视这个病。

图a和b:术前轴向(a)和矢状(b)MRI
绝望中的转机
艾丽和父母一起查询了关于脑干海绵状血管瘤疾病的资料。最终,他们找到了INC国际脑干手术大咖巴教授。
在巴教授手术的300多例脑干海绵状血管瘤患者中,90%以上患者术后获得良好预后,术后后遗症发生几率和再次出血的几率极低。

脑干海绵状血管瘤易反复出血,为最大限度挽救患者生命,提高生活质量,治疗的关键在于安全手术全切。治疗之路并没有捷径可走。拼尽全力,静静等待,阳光总会穿越乌云,直透而来。

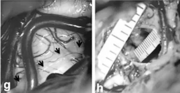
术中图片

术中图片
如何一步步安全切除她的中脑病变
巴教授通过外侧小脑上经小脑幕入路,艾丽以半坐位(c)接受手术。皮肤上标记左侧枕侧/枕下纵向切口(d)。剔除部分头发,为她保留了美丽的长发。
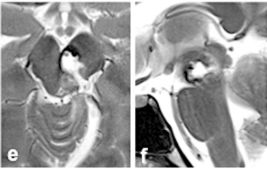
在手术暴露时,被盖外侧表面正常;箭头表示滑车神经的走行(g)。脑海绵状血管瘤完全切除后的术中照片显示2毫米尺度的空切除术腔(h)。术后轴向(e)和矢状(f)MRI证实病灶完全切除。

术后MRI
术后情况
艾丽出现暂时性左侧部分动眼力麻痹,但在接下来的几周逐渐改善,最后功能恢复正常。并且没有发现其他神经系统缺陷。
出院时,她开心的笑道:我赢了!
脑干海绵状血管瘤引起的脑干出血非常凶险,当出现手术指征时,应以尽早手术全切,争取痊愈机会。手术的预后与术前出血次数、症状持续时间、患者自身身体情况、主刀医生的手术技术、手术团队的水平和配合度等有很大关系。
因此,建议患者不要等到多次出血、面临生命危险的时候才想到做手术,并且应该找有成功手术经验的医生、成熟的医疗团队和高精密医疗辅助设备的医院做手术,更大程度上避免手术并发症的出现,让术后生活质量有保障。
INC国际脑血管专家 巴特朗菲教授
INC国际神经外科医生集团旗下世界神经外科顾问团(WANG)成员、世界神经外科联合会(WFNS)教育与技术委员会前主席巴特朗菲教授,作为德国汉诺威国际神经外科研究院血管神经外科主任,擅长大脑半球病变、脑干病变、脑血管疾病、脑内深层区胶质瘤、颅颈交界处的病变等的肿瘤切除术、神经吻合术以及各种椎管内肿瘤等。

同时,巴特朗菲教授收到过来自欧洲、中东、北非以及日本、中国、韩国、新西兰、南非和智利的40个国家的学术邀请,应邀出席了400多场世界各地的学术会议或在神经外科大会作为特邀发言人,对世界神经外科学科做出重大贡献,特别是颅底外科和显微外科血管病变的脑和脊髓治疗。
参考文献:
1.HelmutBertalanffy.Microsurgical management of midbrain cavernous malformations: does lesion depth influence the outcome?
2.Helmut Bertalanffy.Cavernous Malformations of the Pineal Region: Overview, Management, and Controversies. Pineal Region Lesions (pp.197-212)
- 文章标题:开颅术前她说:“如果赌注是瘫痪... 我押自己能赢!”
- 更新时间:2025-08-19 14:34:41
400-029-0925




