“8年了,医生一直跟我说手术会瘫痪,我才不得不保守观察,没想到这期间4次脑干出血,直接把我弄成了残疾人。今天,我终于彻底摆脱这个肿瘤,能正常行走,再也不用坐在轮椅上了!”
这是一位与脑干海绵状血管瘤奋力抗战了8年的勇士,虽然已经年过六旬,但他的晚年才刚刚开始。而在这之前每一次医生建议他的“保守观察”,最终都化作利剑,变成了他的“血泪教训”。
脑干海绵状血管瘤,注定无法安全手术,所以只能保守观察,直到一次比一次严重的脑干出血?也许,这位61岁的李爷爷能带来答案……


一、4次脑干出血变重度残疾
61岁的李爷爷,曾经体格健壮,爱好户外运动,但却在脑干海绵状血管瘤的侵袭下日渐消沉。这个长在“手术禁区”上的肿瘤,早在8年前就被查出。数次的脑干出血,导致李爷爷不得不多次性命垂危,也令家人提心吊胆。
在当地医院ICU进行了2个月的保守治疗,并进行了脑积水分流手术后,病情看似得到好转,但下一次出血已然蓄势待发。多位医生告诉李爷爷由于病变所在位置风险极大,一旦手术就有可能造成吞咽困难、呼吸障碍、瘫痪甚至死亡,因此都建议他先保守观察。
然而,接连4次脑干出血,他的症状一次比一次严重,间隔一次比一次短、恢复的可能性也一次比一次低……直至最后一次出血,李爷爷出现头痛、偏瘫、核间性眼震、共济失调、走路不稳等严重症状。他无法正常生活和出行,必须长期借助轮椅,几乎形同残疾。

眼看身体越来越差、肿瘤越来越不受控制,李爷爷不禁开始怀疑:保守观察,真的有用吗?自己已经61岁了,拖着这样的身体,还能“观察”几年?于是,在家人的支持下,李爷爷一家找到了在脑干海绵状血管瘤享有盛誉、拥有300多例成功手术经验的巴特朗菲教授。

英国海绵状血管瘤联盟:“Dr Bertalanffy is a leader in the field of brainstem surgery and has published a significant number of articles related to basic research and microsurgical treatment of cerebral cavernous malformations.”
二、全切手术换来再度行走
与其他医生的态度不同,巴教授在仔细查看了李爷爷的病史后,认为此时手术,患者的获益仍比不手术大。“当你可以完美进行手术的时候才能治疗,确保患者将从手术中获益;如果风险太高,或者存在不利于手术的其他方面,那么我们应该推迟手术,甚至不进行手术。”

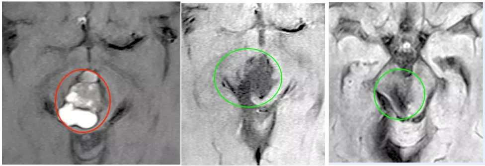
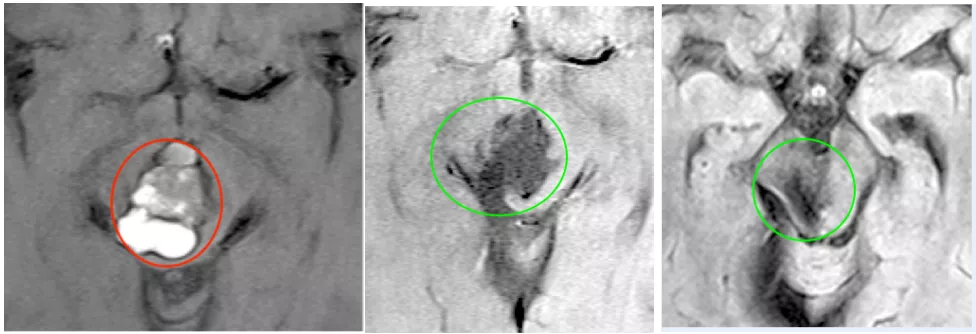
在这样的理念下,很快,一场手术正式开始。术中行幕下小脑上入路,实现肿瘤全切,无脑出血、脑水肿等损伤,而入脑干切除病变的切口仅有1.1CM,在毫厘之间全切巨大海绵状血管瘤。


- 术后第一天:ICU治疗观察,术后当天即拔除气管插管,可完全自主呼吸。
- 术后第二天:复查CT正常,转至普通病房继续治疗。
- 术后第三天:可以在协助时下床、少量活动,在康复师指导下进行康复锻炼,头痛明显好转,步态不稳好转,肢体无力稍好转,无呼吸抑制、肢体瘫痪加重等手术相关并发症。
- 术后第十天:顺利拆线。
- 术后第十二天:顺利出院,无头痛,肢体无力、步态不稳较术前明显好转。在康复训练后,李爷爷终于可以正常出行。
“晚年的生活原来也可以如此多姿多彩!”术后多年,李爷爷的笑声依旧爽朗有力。我们衷心希望这位历经磨难,最终勇敢除瘤的“老将军”能够在晚年笑口常开,认真享受曾失去的生活。
INC国际脑血管专家 巴特朗菲教授
INC国际神经外科医生集团旗下世界神经外科顾问团(WANG)成员、世界神经外科联合会(WFNS)教育与技术委员会前主席巴特朗菲教授,作为德国汉诺威国际神经外科研究院血管神经外科主任,擅长大脑半球病变、脑干病变、脑血管疾病、脑内深层区胶质瘤、颅颈交界处的病变等的肿瘤切除术、神经吻合术以及各种椎管内肿瘤等。

同时,巴特朗菲教授收到过来自欧洲、中东、北非以及日本、中国、韩国、新西兰、南非和智利的40个国家的学术邀请,应邀出席了400多场世界各地的学术会议或在神经外科大会作为特邀发言人,对世界神经外科学科做出重大贡献,特别是颅底外科和显微外科血管病变的脑和脊髓治疗。
INC巴特朗菲教授8月中国行进行中,敬请期待后续报道!
*案例来源:文中所述为INC国际巴特朗菲教授演讲分享。
- 文章标题:“脑干多次出血,我当了8年残疾人,今天终于能正常行走了!”
- 更新时间:2025-08-14 14:14:19
400-029-0925




