毫无症状就代表安然无恙?对于脑海绵状血管畸形患者来说,即便是无症状,但命运的齿轮在第一次出血之后就开始悄悄转动了。

男性 36岁 多发脑海绵状血管瘤
病情阶段
一位36岁的男性,正值壮年,但在他的大脑深处——基底节、小脑和中脑区域——却潜藏着多个如同“定时炸弹”般的病灶:多发脑海绵状血管瘤。
这是一种先天性的脑血管发育异常,畸形血管团像海绵一样脆弱,极易破裂出血。经历了两次“沉默”的出血,危险在看似平静中悄然扩大。
1. 第一次警报(3年前): 第一次脑干出血悄然发生。万幸的是,这次出血没有留下任何明显的神经功能障碍,他甚至可能毫无察觉。但隐患的种子已经深埋。
2. 第二次警报(术前6个月): 复查的磁共振成像(MRI)再次拉响警报——提示病灶区域有轻微的新发出血迹象!令人惊讶的是,患者依然没有任何不适症状。
3. 生死边缘(入院前3周):一次剧烈咳嗽后,22mm的出血灶如同决堤洪水,将他推向生死边缘:左侧肢体突然变得无力,右侧面部麻木如戴面具,连眼球转动都变得异常艰难。更可怕的是,患者的意识水平开始下降!

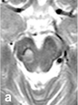
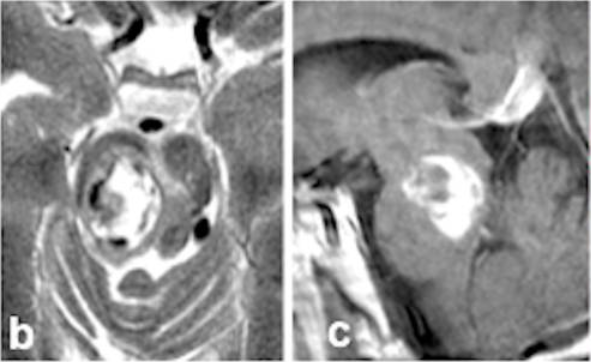
术前6个月

术前MRI清晰显示一个22mm的出血性病灶向尾侧延伸(图b-c)
巴教授为他定制“拆弹行动”
面对如此凶险的脑干出血和进行性加重的神经损伤,手术刻不容缓!
巴教授经过周密评估,果断决定采用 “经右侧颞下入路” 实施手术。这个入路需要非常精细的操作,以安全抵达位于深部的脑干病灶。
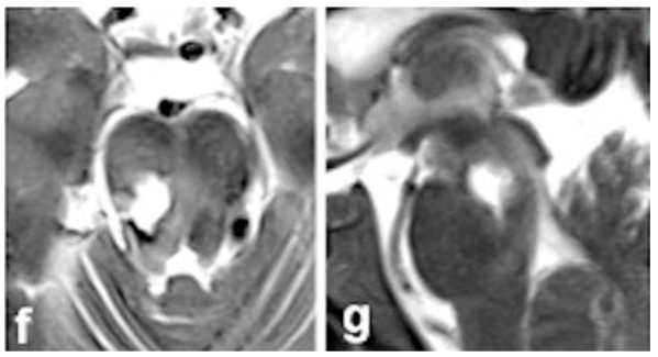
术中发现,在滑车神经水平,被盖表面明显膨隆(箭头,图d),这正是出血病灶压迫的表现。在显微镜下,凭借精湛的技术和极大的耐心,巴教授及其手术团队成功地将致病的海绵状血管畸形病灶完整切除!术后复查影像和详实的手术记录都明确证实了病灶的全切。

术中记录(图d-h)

术后影像(图f-g)
术后阶段
手术的成功只是第一步,更令人欣喜的是患者的康复速度!术后,他一度丧失的神经功能开始了快速而显著的恢复。
在术后6个月的关键随访节点上,检查结果让所有人振奋:患者没有遗留任何永久性的神经功能缺损!
他从第三次脑干出血的重击中站了起来,重获新生!
中脑拆弹:生命禁区里的毫米级较量
脑干中脑海绵状血管瘤手术的核心难点在于其位置极端凶险:中脑仅拇指指甲盖大小(15-20mm),却密集管控着呼吸心跳、视觉听觉反射及全身神经传导通路。
此处的海绵状血管瘤就如同埋在“生命中枢”的不定时炸弹,反复出血不可预测且间隔越来越短,每次出血都导致进行性加重的瘫痪、面瘫、吞咽困难甚至昏迷,神经功能恢复希望渺茫,大量出血致死率极高。
同时,操作空间极其狭小精密,任何细微损伤都可能引发灾难性后果。

尽管手术风险巨大,但积极干预是改善预后的关键!因其再出血率极高(首次0.6%-1.1%,再发30%-60%)且危害递增,INC国际脑干手术大咖巴教授基于300+例经验强调:
对已引起严重或进展性神经症状的患者(如本例),紧急手术切除是必要且有益的!虽然手术入路选择需极其考究(非最短即最佳),但凭借高超的显微技术及恰当入路,肿瘤可被全切,且超过90%的患者术后能获得良好恢复。对于再发出血者,再次手术仍是重要选择。
INC国际脑血管专家 巴特朗菲教授
INC国际神经外科医生集团旗下世界神经外科顾问团(WANG)成员、世界神经外科联合会(WFNS)教育与技术委员会前主席巴特朗菲教授,作为德国汉诺威国际神经外科研究院血管神经外科主任,擅长大脑半球病变、脑干病变、脑血管疾病、脑内深层区胶质瘤、颅颈交界处的病变等的肿瘤切除术、神经吻合术以及各种椎管内肿瘤等。

同时,巴特朗菲教授收到过来自欧洲、中东、北非以及日本、中国、韩国、新西兰、南非和智利的40个国家的学术邀请,应邀出席了400多场世界各地的学术会议或在神经外科大会作为特邀发言人,对世界神经外科学科做出重大贡献,特别是颅底外科和显微外科血管病变的脑和脊髓治疗。
案例来源:《Microsurgical management of midbrain cavernous malformations: does lesion depth influence the outcome?》
- 文章标题:“我曾经历三次脑出血,从无症状到死里逃生”
- 更新时间:2025-08-12 14:35:04
400-029-0925




