26岁男性因突然头痛、呕吐和意识恶化就医。CT扫描显示间脑后部出血性病变(图1左)。诊断为丘脑肿瘤,给予40Gy分次外束放射治疗。放疗后脑室增大,并插入脑室-腹膜分流器。放疗一年后,丘脑出血住院。再次进行MR检查,诊断修改为丘脑海绵状血管瘤(图1右)。,选择外科手术切除。

图1,左:头颅CT扫描显示初期的病变诊断为丘脑肿瘤。右:40 gy分割放疗一年后,根据磁共振成像,左丘脑病变被重新考虑为丘脑海绵状血管瘤。与未辐照的对照CH组织样本相比,治疗后病变间质存在内皮细胞损害和明显纤维化。
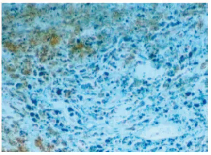
▼40 gy放射治疗后的丘脑海绵状血管瘤组织样本:可见明显的含铁血黄素色素沉着,提示放疗后组织新形成的毛细血管出现微出血。

这是2005年发表于J Neurosurg的案例交流《Histopathological findings in a surgically resected thalamic cavernous hemangioma 1 year after 40-Gy irradiation》。
无偶,2022年发布于J Neuroradiol的一篇报道《De novo brain AVM following radiotherapy for cerebral cavernous malformation in a child:A 15-year clinical course》,报告了一例儿科患者接受立体定向放射外科治疗丘脑海绵状血管畸形后,发生新生脑动静脉畸形(bAVM)的病例。
患者初期在5岁时出现右上肢(UE)震颤,经检查发现左丘脑病变,MR特征提示脑海绵状血管畸形(CCM),以及相关的发育性静脉异常(DVA)流入大脑内静脉(图2)。当时没有急性出血的证据。在初次诊断海绵状血管畸形时进行的脑数字减影血管造影显示没有脑动静脉畸形或任何其他分流血管病变的证据(图3)。为了治疗海绵状畸形,患者接受了伽玛刀手术(14Gy),导致右上肢无力。1年后,患者再次就诊,海绵状畸形部位出现少量脑实质内出血。
该案例进一步证实了由于放疗对已经异常的脑血管组织产生影响而导致新生脑动静脉畸形形成的现象。其独特之处在于,它表明,在15年的随访期内,可能具有遗传易感性的个体在接受放疗后,往往会形成多处脑血管病变。


图2:患者5岁时一次就诊时的MRI。

图3:初次就诊时的血管造影。
一次发病两年后,即7岁时,随访MRI和导管血管造影(图4)证实在左丘脑中形成了一个新生的脑动静脉畸形,就在先前治疗过的病变内侧。血管造影证实了左丘脑动静脉畸形流入先前观察到的DVA的扩张囊中。bAVM病灶由左前脉络膜动脉、左后脉络膜动脉、外侧豆纹动脉、丘脑穿通动脉和MCA跨侧裂供血血管供血。此时的体格检查显示右臂痉挛性无力和右手震颤。

图4:一次发病2年后接受放射外科手术后的血管造影
立体定向放射手术是治疗脑海绵状血管瘤的一种有争议的治疗方式,对于丘脑海绵状血管瘤等深部位置。颅内海绵状血管畸形的较主要临床表现是出血和癫痫,也可伴有其他一些症状如感觉运动缺损、视力缺陷、语言障碍等,丘脑海绵状血管畸形出血率约为2.8%~4.1%,相较于其他表浅部位而言出血风险更高。
放疗目前被广泛用于治疗多种脑部病变,包括脑肿瘤和血管畸形。然而,高剂量辐射可能导致脑水肿、放射性坏死、反应性胶质增生和毛细血管扩张,作为早期和晚期辐射诱导的效应。放疗向小的靶区发射高剂量的辐射,导致靶病变缩小,从而在病灶中心形成小的空洞性病变。一些作者假设放射性海绵状血管瘤可能不是源于辐射引起的血管畸形,而是由于局灶性高剂量辐射导致肿瘤缩小而引起的空洞病变。这种空洞病变会充满血液和局部炎症物质,逐渐形成稳定的血肿。放射性海绵状血管瘤的薄壁缺陷血管增生和巨噬细胞聚集可能是辐射相关的改变,而不是新生海绵状血管瘤的表现。此外,大多数放射性海绵状血管瘤在MRI上表现为混合强度,囊性和/或实性成分增强,含铁血黄素边缘不完整,这与新生海绵状血管瘤的表现不同。
这可能与基底节、丘脑部位对出血的高敏感性以及该处常有深静脉引流有关。由于丘脑位置深在,功能重要,一旦出血将给患者带来灾难性后果,因此丘脑海绵状血管畸形手术治疗具挑战性。
什么是丘脑?丘脑又称背侧丘脑,是间脑中较大的卵圆形灰质核团,位于三脑室两旁、由众多不同功能的神经核团组成,它是大部分传入性神经通路通向大脑皮质的换元站。丘脑位置深在、靠近功能区,有许多重要的神经核团,加上其本身及周围结构重要、复杂,丘脑位置的手术有肢体瘫痪、感觉障碍等风险大。

丘脑海绵状血管瘤较其少见,出血后往往引起偏瘫等神经功能障碍,一次出血后再次出血的风险增加,临床上治疗棘手。
对于丘脑海绵状血管畸形,治疗方式主要有手术切除与放射治疗,其中手术切除病灶可以达到治愈疾病,避免后续由于反复出血、病灶扩张造成占位效应而进一步引发神经功能障碍的风险。但是,由于病灶位于丘脑等重要功能区,使得手术致残的风险骤增。从既往的文献资料及临床研究表明,对于临床症状逐渐恶化、占位效应重或反复出血的丘脑海绵状血管畸形患者,应优先考虑手术切除病灶,治愈的机会更大。
伽玛刀治疗丘脑海绵状血管畸形,在应用顺利放射剂量的前提下,发生致残的风险比手术切除病灶低,但病灶仍有再出血、进而继续增大的风险,治愈率较低。因此,丘脑海绵状血管畸形不优选伽玛刀治疗,仅在显微外科手术不能完全切除病灶或患者不能接受手术带来的致残风险时尝试使用。
血管瘤联盟脑海绵状血管畸形临床管理指南建议:以前症状性出血的单发CCM,如果位于功能区可以考虑放射外科手术,外科切除术的是无法接受的(class IIb,level B)。
以下情况不放射外科手术:无症状CCMs,外科入路容易CCMs,家族性CCM(由于考量到再发CCM)(class III,level C)。
巴教授如何应对丘脑海绵状血管瘤?
INC巴特朗菲教授早在1991年,就已发布过相关研究,《Microsurgery of Deep-Seated Cavernous Angiomas:Report of 26 Cases》,巴教授回顾了26例经显微手术切除的深部海绵状血管瘤。10个海绵状血管瘤位于岛叶和基底节,2个位于丘脑,5个位于中脑,8个位于桥脑,1个位于桥臂。这些患者是1983年8月至1989年12月间手术的患者。11例完全切除,没有产生额外的神经功能缺损。巴教授表示:为了获得满意的手术结果,需特别注意手术入路、解剖仔细和完全切除血管畸形、穿支动脉和异常静脉引流。

《Microsurgery of Deep-Seated Cavernous Angiomas:Report of 26 Cases》
巴教授证明,脑海绵状血管瘤无论位于皮层或皮层下功能区,以及其他功能重要的区域,如基底节区和丘脑,或位于三脑室、胼胝体和扣带回、脑室旁以及深部颞区等,在全部这些位置的病灶都可以顺利地尽全切除,效果良好,发病率低。
“巴教授您好,我现在恢复得还不错”,2023年6月INC巴特朗菲教授中国行期间,我们收到了丘脑海绵状血管瘤患者文文的随访恢复视频,视频中的文文行走自如、运动及语言功能良好,性格乐观爱笑的她在镜头前依旧活泼可爱。
▼术后4个月文文恢复良好,肢体活动自如

2023年3月,作为2023春季巴教授中国示范教学手术中一台成人手术患者,巴教授成功为文文顺利全切丘脑海绵状血管瘤。

▼术前术后影像对比

从2022年3月检查出丘脑海绵状血管瘤到巴教授成功为文文手术切除病变,一年期间,文文经历了两次出血,症状甚至不断加重,眩晕呕吐、右眼视力下降明显,右下肢无力,步态不稳,肢体麻木……“手术风险很大,先保守观察吧”。多方寻求治疗机会得到的答案也屡次让他们失望,所幸她们然后抓住了巴教授示范手术机会,将自己的命运挽救于危险的丘脑海绵状血管瘤中。
而回想4月初术后14天顺利出院前,巴教授前来查房问候,“Very good”文文开心回答道。“前几天她一口气数到了40,今天一口气数到了100”,提到文文术后暂时的记忆力下降的问题,文文妈妈也跟教授说道目前文文和教授评估的一样,相比术后初期已经恢复了很多。
巴教授细心检查文文的手术切口恢复情况,运动行走情况,表示她现在可以出院了。“Do you want to go home?”“Yes!”,大家都被文文快乐的情绪所感染,病房里充斥着的笑声也是一家人终于战胜了肿瘤后的庆祝。
新华网、光明网等主流媒体对2023巴教授来华学术交流并对巴教授首台成功手术做出重磅报道:“这是巴教授2023中国行的一台疑难脑瘤示范手术,术后巴教授向前来探讨的国内青年医生传授经验,心“手”相传在一台台示范手术中得以实现”


新华网关于巴教授2023年3月中国行及文文成功手术的报道
案例总结
丘脑海绵状血管瘤尽管手术难度很大,如选择适合的手术入路并结合娴熟的显微神经外科手术技巧是可以全切肿瘤并获得良好疗效的。而且早期手术可提供良好的临床效果,并消除未来出血的风险。手术切除程度还跟神经外科医生的经验相关,灵活的手术策略、熟练的手术技巧、耐心细致的手术操作,以及对于多种手术入路方式的熟练掌握,都是手术全切的关键。
巴教授当之无愧的国际颅底、脑干手术教授。他较为擅长各种复杂位置的脑肿瘤、脑血管病等各种病变,如脑干、丘脑、胼胝体、高位颈髓、颅底等位置,能在确定神经功能不受损伤的情况下全切肿瘤,一次次的成功切除高难度脑干海绵状血管畸形和胶质瘤、颅底肿瘤等脑深部瘤,让无数失去信心的患者得到了“重生”。
- 文章标题:丘脑海绵状血管瘤放疗竟引发出血、形成多处脑血管病变?
- 更新时间:2024-05-30 16:22:12
400-029-0925




