一颗小小脑瘤能引起多大风暴?
15个月大的宝宝,本该健康成长,却因松果体区一颗肿瘤陷入生死拉锯战。起初只是呕吐、眼球异常转动,随后脑积水、脑干受压……一场与脑瘤的抗争,三次开颅、化疗、质子治疗,每一步都如履薄冰。
19岁的小野,本该在大学课堂里绽放青春,却“砰”然倒地中开始了与未知病魔的缠斗。血液、心脏、脑电图、核磁共振......所有检查都显示“未见异常”,可她的身体却像被按下随机开关,抽搐、昏迷反复发作——最终竟是松果体区一个小小的病变。
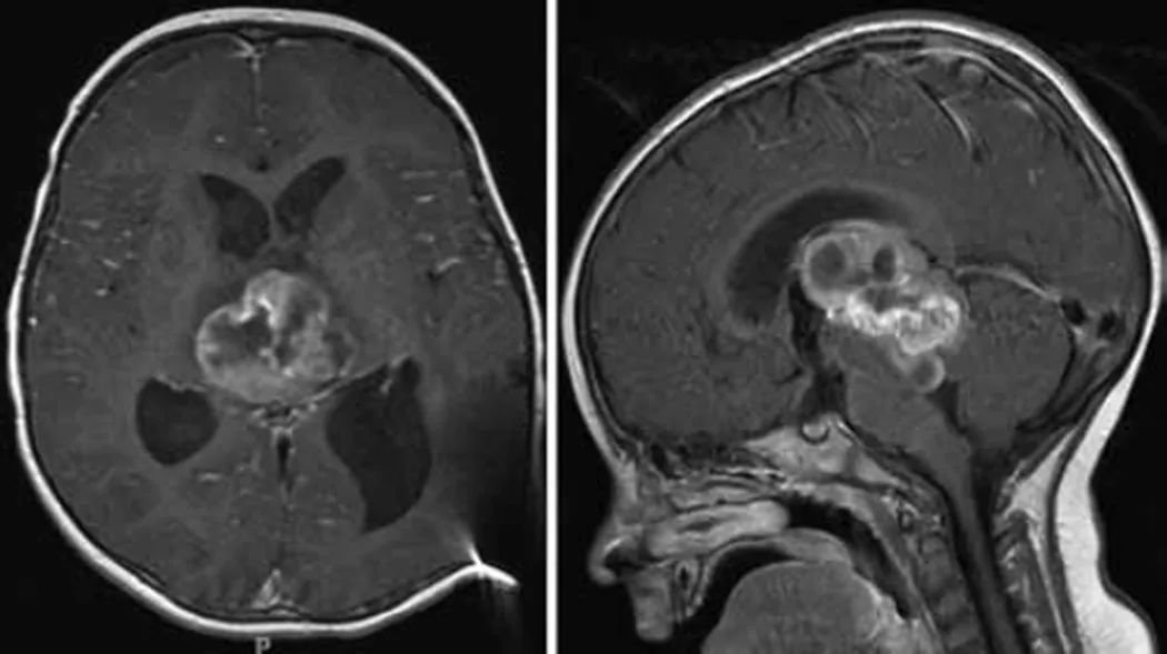
36岁的晴晴,带着16mm的松果体肿瘤生活了两年,仅表现为偶发眩晕。当肿瘤增大并出现脑积水时,她幸运地遇到了INC巴教授。巴教授主刀的全切手术不仅解除了肿瘤威胁,更为后续治疗争取了良好时机。术后病理揭示了一个令人意外的结果——中度恶性的中分化松果体实质肿瘤,"温和"病程竟暗藏危机。

一个个本应绽放的生命,被一颗颗“隐形炸弹”猝然击中。在这场生死博弈中,手术不仅是治疗手段,更是一场需要精准拿捏的艺术——在安全边际内最大程度切除肿瘤,争取更长的生存期和生活质量。
脑瘤疯长、三次开颅!这个15个月大的宝宝太酷了……
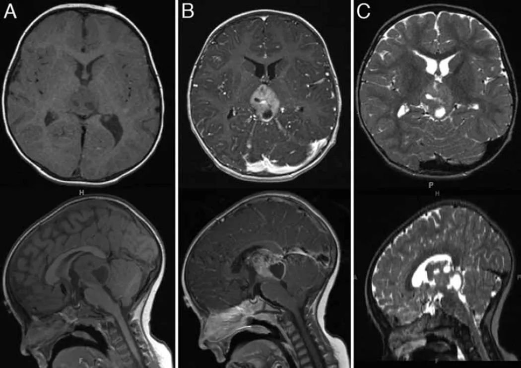
这是一则发布于学术期刊的案例分享,一直很健康的15个月大的男孩因进行性步态障碍伴行为改变1月余入院。初期表现为走路时,他会向左倾斜,撞到物体上,好像他无法避开它们。此外,他出现食欲下降、嗜睡、烦躁和易怒。大约2周后,患儿出现了几天呕吐,并伴有持续5天高烧,还出现腹泻……CT成像显示梗阻性脑积水,进一步检查发现源于松果体区的混合实性和囊性成分肿块。

患儿因梗阻性脑积水接受了第三脑室造瘘术,但术后仍出现间歇性呕吐及眼球运动异常。连续MRI显示松果体区肿瘤在1个月内快速增大并强化,范围延伸至第三脑室后部。鉴于病情进展,行开颅活检及减瘤术,但因切除组织较少未能明确诊断。
随后再次经相同入路行活检及扩大切除,病理确诊为松果体乳头状瘤(PTPR)。术后因导水管血块导致梗阻性脑积水,患儿返回手术室,接受内镜下取出血块和第三脑室造瘘术的修正。几周内他再次经历了神经状态的恶化,最终需要脑室-腹腔分流术来治疗脑积水。
随访中肿瘤还在持续生长,孩子开始长期化疗。第二轮化疗后,手术部位出现肿胀,影像学显示肿瘤囊性成分增多伴脑干受压,遂行第三次手术,后续进行质子治疗。
▼第三次减瘤手术前,肿瘤的囊性成分显著增加,导致脑干受压,促使再次手术。


19岁少女突发昏迷真相,国际神外大咖为何建议她尽快手术
“医生,我女儿一直都很健康,怎么会突然昏迷?检查结果有问题吗?”
“血液、心脏、脑电图、核磁共振……所有检查都没有明显异常。”
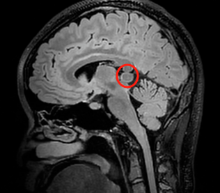
19岁的小野,本该是青春洋溢、追逐梦想的年纪。然而,在一次课堂上,她毫无征兆地“砰”一声倒地,四肢抽搐,陷入昏迷。父母心急如焚:“孩子怎么会突然癫痫?”可医院的检查报告却让他们更加困惑——一切指标正常。随着孩子的苏醒,一家人的生活又回归正常。但这一次的发病,像一根刺,一直扎在父母心头。
几个月后,小野再次晕倒抽搐,24小时脑电图依然未见异常。又过了几个月,同样的情况再次发生,医生无奈之下开了抗癫痫药,可服药后,小野的抽搐不仅没有缓解,反而发作得越来越频繁。最后一次发作时,她虽未完全失去意识,但父母的心已经悬到了嗓子眼——女儿到底怎么了?
看着曾经阳光开朗的女儿被一次次不明原因的抽搐折磨,父母心如刀绞。他们不甘心,更不愿放弃:“无论如何,一定要找到病因,还女儿一个健康的未来!”

再次头部增强核磁检查,松果体区发现一个异常信号,这究竟又是什么?为何一直保持沉默的它,能够让一个原本健康的女孩突然陷入昏迷?小野的脑瘤恰好长在松果体区,松果体区位于大脑的中心位置,靠近第三脑室后部和中脑导水管。这一区域是脑脊液循环的关键通道之一。松果体区肿瘤的生长会直接压迫或阻塞这些结构,影响脑脊液的正常流动。这种梗阻性脑积水会引起颅内压升高,导致头痛、呕吐、视力障碍(如视乳头水肿)和神经功能恶化等症状。
INC巴教授在为小野评估时也提到:“众所周知,这种病变可以引起暂时性的脑脊液梗阻,这种梗阻很可能引起昏厥和抽搐(但不是癫痫发作)。手术是必要的,因为大脑导水管梗阻导致脑脊液阻塞,会引起暂时性颅内压升高。手术的最佳时机是越早越好。”
良性表现术后竟是恶性,好在她及时手术全切肿瘤
36岁的晴晴在2021年11月因鼻炎进行颅脑CT检查,显示松果体占位性病变,当时大小为16*15*12mm,无特别神经功能障碍,随后进行颅脑核磁MRI,医生建议先观察3个月。观察结束后进行复查,建议手术治疗并告知相关风险。考虑到手术风险,晴晴选择继续保守治疗。2022年9月再次复查,肿瘤伴幕上脑积水。除了偶有眩晕、脑涨,其他症状并不明显,晴晴还是选择了保守。2023年3月再次复查时,肿瘤竟然长大了18*18*15mm,并出现幕上脑积水。临床症状不变化,医生建议再持续观察3-6月,但最终需要手术治疗。
在首都医科大学附属北京天坛医院,巴教授成功主刀完成这台交流手术,手术全切肿瘤。术后即清醒,无新发神经损伤。术后1周后,术后病理结果为WHO2-3级中分化松果体实质肿瘤,根据巴教授建议患者及时进行放化疗,巴教授及时全切手术为后续放化疗争取到了更好的结果。点击阅读:天坛医院手术纪实 | 高知精英的她,高难度开颅术后18月恢复如何?

面对疑难脑肿瘤,一台高配手术是如何成就的?
术者不能只见病灶不见预后,要看到病灶,也要看见整体的人。尤其对于儿童患者,他们的路还长。肿瘤尤其是恶性肿瘤,为了尽量不留“漏网之鱼”,尽可能防止复发,一些术者可能会选择多切。但在脑部,“一刀切”面临的问题就很复杂。如果切除这块组织会损伤重要功能,术后说不了话,记忆错乱,不能行动,无法吃饭、生活质量严重下降等等,显然这台手术是不成功的。对每一位患者来说,病变的切除、术后并发症少、身体恢复得快、神经功能恢复得好、术后无新发神经功能损伤,这才是一台“高配”手术。

脑瘤“高配”手术,就如同开车,需要经验丰富的“司机”和高配性能的车,这样即便路途崎岖也能安全无险地到达希望的目的地。这需要的是“高配”的术者、手术团队的密切配合以及“高配”的现代化设备等。
- 文章标题:无症状≠无风险!平时毫无征兆却突陷昏迷,沉默脑瘤如何抓住手术黄金期?
- 更新时间:2025-07-14 15:54:16
400-029-0925




