短时间意识不清、烦躁不安、头疼、抽搐……好端端的小孩子如果突发这些症状,可是真能把家长“吓坏“。
去年年初,一位8岁的小女孩就是因此而送医的,经核磁检查发现罪魁祸首竟然是“大脑松果体区占位伴有合并幕上梗阻性脑积水”,通俗地讲即是“松果体区肿瘤”(Pineal region tumor)以及由此引起的脑组织受压而产生了诸多症状。
松果体:被称人的“三只眼”
松果体,是人类脑中的重要器官之一,位于大脑的几何中心点,因其形状近似松果而得名。人类于半世纪前就发现了松果体的部分功能,近代医学界更发现,它不但能分泌褪黑激素(serotonin derivative melatonin),使人建立起生理时钟以分别日夜,它亦是调控人体内分泌平衡的重要器官。

此外,科学界又证实,松果体的细胞原形和视网膜的感官细胞大部分是相同的,这不但证明人类有“外五觉”(视听味嗅触),同时具有相同的“内五觉”,人是借着松果体来“看见”脑中的影像,包括在幻想和梦境中“看见”都同样是松果体的作用,所以松果体也有“灵台“、”天眼“、“三只眼”之称。
发病率:儿童比成人高2倍以上
松果体区肿瘤在儿童期的发病率较成人高2倍以上。肿瘤可致脑积水及颅高压,使邻近结构受压导致双眼不能上视、耳鸣、听力减退和造成内分泌紊乱、肥胖、嗜睡等。松果体区肿瘤儿童与成人在病理性质上有所不同,儿童以生殖细胞瘤和畸胎瘤多见,而成人以神经胶质瘤和脑膜瘤多见。
松果体区肿瘤根据其特征分为四个等级和亚型:
1. I级松果体瘤是低度恶性肿瘤。这意味着肿瘤细胞生长缓慢。
2. 松果体区的II级或III级松果体实质或乳头状肿瘤均为中度肿瘤。这意味着肿瘤在移除后有更高的复发机会。
3. IV级成纤维细胞瘤是恶性的(癌性)。这意味着它们是快速生长的肿瘤,往往会侵入附近的组织。
生存率:现代科技护航下逐步提高
据相关文献显示,在48例松果体区肿瘤患者中,其中生殖细胞瘤33例(69%),松果体母细胞瘤6例(12.5%),松果体细胞瘤3例(6.3%),间变性星形细胞瘤3例(6.3%),星形细胞瘤1例,胶质母细胞瘤1例,室管膜瘤1例。在术后三年的随访中,松果体肿瘤总的平均生存时间为66个月,3年生存率为84%,治疗后并发症少。

参考文献:Cho B K, Wang K C, Nam D H, et al. Pineal tumors: experience with 48 cases over 10 years[J]. Child's Nervous System
随着显微神经外科手术技术和顺利性的提高,再加上辅助放化疗的进步,多学科的综合治疗方案正在使越来越多高度恶性肿瘤的临床结果得到好转, 死亡率和并发症发生率已降低至可接受的水平,松果体区肿瘤亦是如此。
手术切除仍是一要义
对于松果体区肿瘤,国际上的治疗标准仍是主张先手术切除肿瘤,目的为明确肿瘤性质,减小肿瘤体积。当然,具体还需要根据患者的具体情况而定。一般来说,手术治疗通常可以解决以下几个问题:
1、良性和低度恶性的松果体区肿瘤,通过手术根治性切除可更小程度复发,获得更佳预后,比如脑膜瘤、松果体细胞瘤、表皮样瘤以及成熟畸胎瘤。
2、手术可以为恶性的松果体肿瘤减少病变细胞数量,利于后期的放化疗。
3、除了生殖细胞肿瘤之外,其他恶性松果体区肿瘤对放疗的反应性较差,但可以通过手术降低肿瘤负荷。
4、通过手术配合脑室外引流术、脑室-腹腔分流术等,可以很好地纠正梗阻性脑积水。

近年来通过对113例松果体区肿瘤手术切除后患者的生存分析结果对比来看,平均生存率为81%,如果松果体脑瘤患者早期的时候能够的进行治疗,患者的5年生存时间可以达到90%以上,部分患者可以存活10年以上。
手术难度大,但“禁区“已被突破
松果体周围遍布着重要的脑组织结构及神经血管组织,而且脑功能区繁多,对人体又很重要,不能被损伤,否则容易致残或发生生命危险,所以手术难度很大,一直被视为“禁区”。想要在“禁区”动刀,难度可不小,不仅要确定切除率,还要避免对松果体及周围组织造成损伤,就像在悬崖边跳舞,不能有丝毫失误。也正因此,这位8岁小患者的主治医生大多只建议保守放化疗。
为争取更高的生存率,小患者父母后在INC国际神经外科医生集团的联络和协调下,专程前往德国接受国际颅底脑干肿瘤手术教授巴特朗菲的手术切除。多亏了被这位中国患者誉为“巴教授”的高超手术技术,小患者的松果体区肿瘤得到了完整切除。目前,小女孩恢复良好,之前的症状没有了,并没有复发和其他手术并发症。

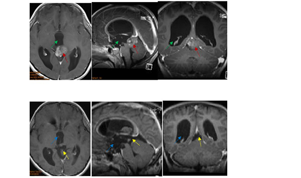
8岁小患者经德国巴特朗菲教授术前术后影像对比
对于松果体区患者来说,手术治疗的入路一般包括幕下小脑上入路、枕下小脑幕入路、后纵裂经胼胝体入路等,而更佳的手术治疗方式主要依赖于肿瘤解剖学特点的不同。针对8岁小患者这个病例,巴特朗菲教授采取的是幕下小脑上入路结合幕上枕下乙状窦旁经小脑幕入路,较终肿瘤得以全切除,且尽力减少了组织的损伤,这对预防后期肿瘤的复发起到了较大作用。

作为INC旗下组织国际神经外科顾问团(WANG)成员以及国际神经外科联合会(WFNS)教育委员会主席,德国巴特朗菲教授早已突破松果体、胼胝体、脑干、延髓等大脑“手术禁区”,擅长在这些复杂部位实施高切除率的肿瘤切除术,且能尽可能地保护肿瘤周围正常的脑组织、神经血管,使患者得到较大水平地恢复。
写在较后:松果体区肿瘤病理类型多样,治疗方式各异,但万变不离其宗,其原则依旧是尽可能地减小肿瘤面积,控制其生长,从而尽可能获得长期生存。建议选择技术过硬和临床经验丰富的神经外科专家获取更科学、合适的治疗策略。若想寻求更前沿完全和更高切除率的手术方案,条件允许的话接受国际上擅长这类手术的别专家治疗或许是一条新的出路。
- 文章标题:长在大脑重要的松果体区肿瘤,怎么治疗生存率高?
- 更新时间:2021-03-19 15:54:31
400-029-0925





