儿童松果体区肿瘤6mm好治吗?算重疾吗?儿童松果体区肿瘤,尤其是6毫米大小的肿瘤,通常在早期阶段可能没有明显的临床症状,因为它们相对较小,对周围...
小儿松果体区肿瘤不治疗能活多久?会影响身高吗?小儿松果体区肿瘤如果不进行治疗,其预后和对身高的影响取决于多种因素,包括肿瘤的类型、大小、位...
松果体区肿瘤治疗流程是什么?都需要多少钱?松果体区肿瘤的治疗流程是一个复杂且个体化的过程,涉及多个步骤和考虑因素。 一、治疗流程 1. 诊断与评估...
松果体区肿瘤是良性好治吗?多久能治好?松果体区肿瘤是否好治以及多久能治好,取决于多个因素,包括肿瘤的性质(良性或恶性)、大小、位置、患者的年龄...
松果体区肿瘤伴多发钙化什么原因?会影响治疗吗?松果体区肿瘤伴多发钙化是一种在神经外科领域常见的现象,松果体位于大脑深处,是人体内分泌系统的...
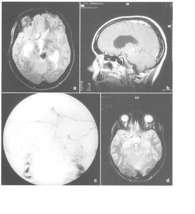
【松果体区肿瘤案例】去年年初,小A就出现了头痛、眼球运动障碍等症状,经磁共振检查结果为松果体区占位合并幕上梗阻性脑积水,本来和乐美满的一家...
松果体囊肿是什么病?松果体囊肿是松果体的一种相对常见的良性疾病。松果体囊肿患者的临床治疗仍存在争议,是当患者出现非特异性症状时...
松果体肿瘤 是一种少见的脑肿瘤,它们从松果体或松果体周围的组织开始。松果体位于大脑的中央,就在脑干后面,它产生控制睡眠的褪黑激素。松果体肿...
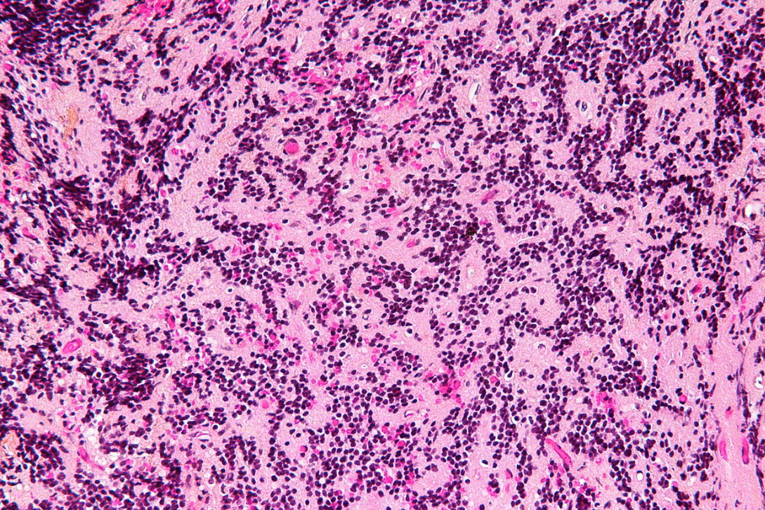
多形性胶质母细胞瘤(GBM)很少在松果体区发现。本文介绍了一个松果体区原发性胶质母细胞瘤(GBM)的病例,讨论了临床过程、影像学表现和治疗方法。根...
短时间意识不清、烦躁不安、头疼、抽搐好端端的小孩子如果突发这些症状,可是真能把家长吓坏。 去年年初,一位8岁的小女孩就是因此而送医的,经核...
松果体区肿瘤 是发生在松果体区域的多种肿瘤。松果体是大脑深处的一个小结构。这些肿瘤约占全部脑肿瘤的1%,但占儿童颅内肿瘤的3%至8%。至少有17种不...
由加拿大多伦多儿童医院(SickKids)领导的研究可能对一种名为 松果体母细胞瘤 的高度 恶性脑瘤 的较佳治疗方法具有重要意义。这项研究于2019年12月9日发...
松果体细胞瘤是一种少见的肿瘤,目前有关这些肿瘤的文献主要由病例报告和小的病例系列组成。因此,对这些肿瘤的适当治疗的建议是多种多样的...
如果你常常失眠,翻来覆去睡不着,或者经常情绪不好,这可能是你的三只眼松果体出现了问题。 松果体 是一个负责合成和分泌褪黑激素的内分泌腺,而...
松果体区肿瘤的临床表现通常是梗阻性脑积水引起的颅高压症状;脑干和小脑受压症状;内分泌紊乱症状。较常见的症状是头痛,与中脑导水管受压引起梗阻...
松果体区肿瘤的症状可以随其不同的组织学而不同。出现颅内压升高症状和体征的患者需接受头部CT扫描或MRI检查,以评估紧急处理的必要性。松果体区肿...
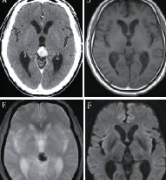
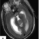
脑脊液分流治疗松果体瘤合并阻塞性脑积水后出现大量瘤内出血是少见的。我们报告了我们与两个病人的经验,并回顾了文献...
生殖细胞肿瘤(GCTs)通常影响儿童和青少年。松果体区主要影响男性,而神经垂体GCTs无性别优势。然而,松果体区域GCTs的自然史并不为人所知。颅内新生生...
尽管 松果体肿瘤 在1717年一次被发现,但直到200年后,松果体区域才出现了较早的手术尝试。这些较初的尝试是由霍斯利、布鲁默和施罗弗等先驱者领导的...
松果体区肿瘤治疗前的评估,神经外科之父哈维·库欣(HarveyCushing)曾经指出:“就我个人而言,我从未成功地将松果体区域的肿瘤暴露得足够好,从而有自信...
松果体生殖细胞瘤放疗效果好吗?生殖细胞瘤是对放疗敏感的肿瘤,对特定的化疗反应良好。松果体肿瘤是相当少见的肿瘤,它们主要是儿童恶性肿瘤。年...
如何制定松果体区肿瘤治疗策略?松果体肿瘤管理策略制定流程图图3:根据这张决策图表,去处理不确定的和诊断明确的松果体区肿瘤。图3:根据这张决...
如果是松果体的恶性肿瘤(松果母细胞瘤),则可能在脊髓或马尾神经中形成转移灶,并带有损害这些结构的特征性症状。像许多其他脑肿瘤一样,松果体...
松果体区肿瘤 是指松果体内部或附近的异常生长。松果体是位于三脑室后大脑中线的一个松果体形状的小区域,它合成并分泌神经递质褪黑素,褪黑素在调...
松果体区肿瘤能治好吗?除了单纯的生殖细胞瘤和原发性淋巴瘤外,积较的手术切除几乎是全部松果体区肿瘤的主要治疗方法。...
松果体区肿瘤严重吗?患者的治疗方法主要取决于患有的松果体区域肿瘤的类型。患者的治疗方法主要取决于患有的松果体区域肿瘤的类型。手术后可能会...
松果体为长(5~8)mm、宽(3~5)mm的灰红色椭圆形小体,重(120~200)mg,几乎全部脊椎动物都拥有松果体。松果腺产生褪黑激素,一种5-羟色胺衍生的激素,可调...
生殖细胞肿瘤是松果体区域较常见的肿瘤(尽管它们仍然很少见)。生殖细胞肿瘤是松果体区域较常见的肿瘤(尽管它们仍然很少见)。松果体区肿瘤的外...
松果体肿瘤怎么治疗?松果体主要位于间脑脑前和丘脑之间,松果体肿瘤造成的症状为颅内压增高,听力障碍,动作缓慢,尿崩症,步态蹒跚等。松果体肿...
松果体肿瘤严重吗? 松果体肿瘤的严重性需要根据具体情况来判断断,肿瘤可以是良性的,也可以是恶性的。良性肿瘤包括常见的畸胎瘤、脑膜瘤等,由于...
松果体肿瘤是少见的脑肿瘤,占美国全部中枢神经系统(CNS)肿瘤的不到1%。这些肿瘤通常见于年轻男性,表现为梗阻性脑积水和/或顶盖受压的症状。全部松...
松果体区肿瘤的病因 松果体区肿瘤儿童期的发病率是成人的两倍多。肿瘤可导致脑积水和颅内压升高,压迫邻近器官的组织,眼睛不能上视、耳鸣、听力丧...
松果体区肿瘤患病率较低,成年人松果体区肿瘤仅占脑部肿瘤的1%,少年儿童松果体区肿瘤虽较成年人普遍,但亦仅占脑部肿瘤的4%。其病理学临床诊断诸多...
在INC接触的无数松果体区肿瘤患者中,经常会碰到患者问这个问题,松果体区肿瘤治疗哪个医院较好?找哪个专家好?曾经遇到这样一名患者,一开始发现松...
引言:众所周知,人体的大脑是生命活动的总指挥部,一旦出现了异常增生的细胞组织,就很可能危及生命。例如大脑深部的松果体就是管理和分泌人体特...
松果体区脑海绵状血管瘤治疗四大争议 关于松果体区海绵状血管瘤的主要争议问题是较佳的临床治疗和手术策略。 争议一:无症状到底需不需要手术? 由...
避免松果体区肿瘤脑积水 松果体区的肿瘤通常会导致患者发育异常。这种肿瘤一般位置较深,可压迫三脑室或中脑导水管,引起脑积水。松果体区的肿瘤,...
儿童松果体区肿瘤的病因 儿童松果体肿瘤的病因很多,现在被认为与遗传有关。事实上,儿童松果体肿瘤在儿童肿瘤的发病率中占很大比例,主要是因为它...
儿童松果体肿瘤能治吗 ?松果体区肿瘤是原发性中枢神经系统(CNS)肿瘤。这意味着它们始于大脑或脊髓。松果体区肿瘤相对少见,占全部颅内肿瘤的0....
如何治疗松果体瘤 松果体肿瘤的治疗应根据不同情况采取不同的治疗方法,主要如下: 1.良性肿瘤:如畸胎瘤,一般可通过手术完全切除。患者可以达到治...
什么是松果体细胞瘤?松果体细胞瘤是一种少见的、缓慢生长、好发于成年人的松果体主质细胞肿瘤。松果体细胞瘤组织学相当于WHO I级,松果体区的肿瘤...
松果体瘤是什么病? 松果体瘤主要是指生长在松果体区的肿瘤,包括生殖细胞瘤、神经胶质瘤、脑膜瘤等。症状包括颅内压升高、头痛、恶心、内分泌功能...
采用Poppen入路应注意术中不要损伤枕叶视觉皮质,患者取俯卧位,术中抬起枕叶而非经后纵裂牵拉枕叶,予以脱水药、脑室穿刺、切开蛛网膜的方法充分松...
松果体区肿瘤能治好吗 松果体瘤可治愈。具体内容如下: 1、松果体瘤: 松果体瘤主要由松果体肿瘤引起的促性腺激素和性激素分泌增加引起。常见的肿瘤...
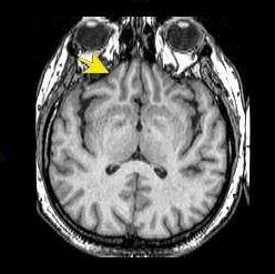
磁共振成像是优选的诊断技术,将海绵状血管瘤与的松果体区肿瘤区分开来。无需立体定向活检或术前盲照射。可以进行早期显微外科干预,预防复发性出...
松果体肿瘤放疗需要多久时间? 松果体瘤放疗所需的时间与松果体瘤的病理分析有关。松果体瘤占脑瘤的1%,儿童发病率高于成人。 松果体瘤的治疗也是手...
松果体区肿瘤是松果体内或附近的异常生长。根据肿瘤的类型,手术可能需要开颅切除肿瘤。 松果体是一个微小的松果体状区域,位于三脑室后面的大脑中...
松果体肿瘤不做手术能治疗吗? 松果体肿瘤的主要治疗方法是手术治疗,没有手术是无法治愈的。目前,松果体肿瘤较为常见,根据瘤种通常有以下情况:...
松果体肿瘤能治愈吗? 松果体瘤有可能治愈。具体内容如下: 1.松果体瘤:松果体瘤主要由松果体肿瘤引起的促性腺激素和性激素分泌增加引起。常见的肿...
松果体区混合生殖细胞瘤能治愈吗?有无风险和副作用?松果体区混合生殖细胞瘤属于较为严重的颅内肿瘤。通常发生在松果体区域,它包含多种类型的生...
松果体生殖细胞瘤症状潜伏期?治疗多久?松果体生殖细胞瘤是一种少见但严重的疾病,发生在松果体周围的生殖细胞组织中。由于其少见性,相关的病例...
松果体肿瘤脑积液怎样治疗?松果体肿瘤是指位于三脑室与大脑底部之间、包含松果体的肿瘤。当松果体肿瘤引发脑积液潴留时,患者可能会出现头痛、视...
松果体混合生殖细胞瘤是什么病、症状、病因和治疗。松果体混合生殖细胞瘤是一种少见的肿瘤,起源于松果体的生殖细胞。它常表现为神经系统相关的症...
链接/Links: 北京天坛医院 | 首都医科大学宣武医院 | 复旦大学华山医院神经外科 | 脑胶质瘤 | 脑海绵状血管瘤 |