松果体区肿瘤手术难度大吗?怎么进行入路选择?松果体区肿瘤手术是一项非常具有挑战性的神经外科手术,因为这些肿瘤位于大脑的核心位置,周围有许多...
松果体区肿瘤手术需要准备什么?要麻醉多久?松果体区肿瘤手术是一项复杂且精细的医疗过程,需要充分的术前准备和精确的麻醉管理。 一、松果体区肿瘤...
松果体区肿瘤手术有可能会死亡吗?怎么降低死亡率?松果体区肿瘤手术是一种高风险的神经外科手术,主要风险包括手术并发症和术后并发症,可能导致患...
松果体区肿瘤手术切口大吗?要麻醉多久?松果体区肿瘤手术是一项复杂的神经外科手术,涉及到大脑深处的精细结构。手术通常需要细致的操作,以尽可能...
松果体区肿瘤是怎么影响视力的?手术后眼睛能恢复吗?松果体区肿瘤是颅内肿瘤的一种,位于大脑的中心位置,其周围分布着许多重要的神经结构和血管。...
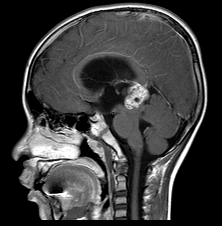
【松果体区肿瘤案例】我是一位被疼痛困扰4年之久的患者,通过 INC 国际神经外科医生集团,我们慕名德国 巴特朗菲教授 远程到德国求医,亲身体验到巴...
【较大松果体区肿瘤手术案例】位置深在的松果体肿瘤,肿瘤较大,有放化疗及手术病史,如此难度的全切手术如何完成? 多次辗转治疗无果,经历了漫长...
松果体肿瘤 是一种少见的脑肿瘤,它们从松果体或松果体周围的组织开始。松果体位于大脑的中央,就在脑干后面,它产生控制睡眠的褪黑激素。松果体肿...
松果体是位于大脑底部后部、脑干顶部附近的一个小器官。它负责产生几种激素,包括调节睡眠-觉醒周期和一些生殖功能的褪黑激素。松果体区域的肿瘤很...
【松果体肿瘤6月患儿案例】让每一个孩子,都能够正正常常、健健康康地长大!这是包括 James T. Rutka教授 在内的多伦多大学儿童医院SickKids每一位医护人员...
松果体区肿瘤的4大手术入路,松果体肿瘤有几种不同的手术入路,这个取决于肿瘤的位置和形态特征,还有外科医生的经验和习惯、舒适度。正中幕下小脑...
松果体区肿瘤被重要的血管和神经所包围。由于距离远,显微镜下光线差,手术可能会有困难。深静脉损伤可能导致死亡。由于强光、宽视野和对周围脑组...
松果体细胞瘤是一种少见的肿瘤,目前有关这些肿瘤的文献主要由病例报告和小的病例系列组成。因此,对这些肿瘤的适当治疗的建议是多种多样的...
如果你常常失眠,翻来覆去睡不着,或者经常情绪不好,这可能是你的三只眼松果体出现了问题。 松果体 是一个负责合成和分泌褪黑激素的内分泌腺,而...
脑脊液分流治疗松果体瘤合并阻塞性脑积水后出现大量瘤内出血是少见的。我们报告了我们与两个病人的经验,并回顾了文献...
松果体区肿瘤 是一种始于大脑中心的松果体内或周围的脑肿瘤。松果体肿瘤通常不会扩散到身体的其他部位。但它们可能会因继续生长并压迫周围组织而引...
松果体肿瘤代表了具有挑战性的外科病变,本文强调完全显微外科切除术(CMR)在松果体区域肿瘤中获得良好长期效果的作用...
松果体区肿瘤能治好吗?除了单纯的生殖细胞瘤和原发性淋巴瘤外,积较的手术切除几乎是全部松果体区肿瘤的主要治疗方法。...
【松果体区海绵状血管瘤案例】显微外科手术切除是脑海绵状血管瘤的治疗选择,其目的是完全切除病变,而不会对周围神经组织造成损害。一方面,成功...
松果体区肿瘤严重吗?患者的治疗方法主要取决于患有的松果体区域肿瘤的类型。患者的治疗方法主要取决于患有的松果体区域肿瘤的类型。手术后可能会...
松果体区肿瘤的类型较多,可起源于松果体实质细胞、松果体腺支持细胞或中脑和丘脑内侧壁的胶质细胞。松果体区肿瘤有哪些...
松果体是人类脑中的重要器官之一,位于大脑的几何中心点,因其形状近似松果而得名。人类于半世纪前就发现了松果体的部分功能,近代医学界更发现,...
松果体瘤的手术大吗?事实上,因为肿瘤生长位置的不同性,松果体瘤手术顺利全切并非易事,一直以来也是神经外科的一大难题...
选择手术入路要根据肿瘤大小、肿瘤的主要位置,肿瘤的生长方向,肿瘤及其周围结构之间的关系和外科医生的经验,经幕下小脑上入路(ITSC)入路和枕小脑幕...
松果体区脑海绵状血管瘤严重吗?巴特朗菲教授强调显微外科切除术是脑海绵状血管瘤的治疗选择,目的是完全切除病变,而不损伤周围神经组织。 一方面...
松果体肿瘤手术难度大吗?松果体位于大脑重要位置,其之于人体的重要性可想而知。松果体区又称三脑室后部〞,松果体上方为胼胝体压部,正前方为三...
引言:众所周知,人体的大脑是生命活动的总指挥部,一旦出现了异常增生的细胞组织,就很可能危及生命。例如大脑深部的松果体就是管理和分泌人体特...
松果体区肿瘤的位置深在、周围解剖结构复杂,且毗邻重要的血管神经结构,故而手术切除困难,风险较高,该区域手术死亡率曾高达50%~70%。随...
脑海绵状血管瘤(CMs),也称为海绵状血管畸形,是一种轮廓清晰、增生性、低流量的血管异常,由一种异质薄壁血管团块组成。它们含有不同降解阶段的血...
2023年6月,首都医科大学附属北京天坛医院正式引进INC德国巴特朗菲教授作为其神经外科外籍专家。较大的神经外科科研基地携手业界的神经外科专家,谱...
松果体区肿瘤的临床咨询是一个综合的、个体化的治疗方案,应根据术前影像学、血清 肿瘤标志物等进行甄别、筛选决定,选择合适的治疗方式,显微手术...
松果体恶性肿瘤能活多久 松果体的恶性肿瘤有松果体的生殖细胞瘤和精原细胞瘤,还有少部分发生在松果体的胶质细胞瘤。对于松果体恶性肿瘤患者能够活...
松果体瘤手术后能活多久? 松果体区约80%的恶性肿瘤,包括许多瘤种,近10种肿瘤病理类型。松果体区恶性肿瘤患者的生存期一方面取决于肿瘤的具体病理...
这名8岁的男孩,有肥胖和鼻窦炎的病史,在1天内出现急性神经功能衰退。他一直处于他的正常健康状态,直到报告的早上,当他抱怨新出现的头痛,恶心...
采用Poppen入路应注意术中不要损伤枕叶视觉皮质,患者取俯卧位,术中抬起枕叶而非经后纵裂牵拉枕叶,予以脱水药、脑室穿刺、切开蛛网膜的方法充分松...
多次辗转治疗无果,经历了漫长的求医之路,终于守得云开见月明。这一次在德国的成功手术,让她终于摆脱了脑子里的炸弹,困扰了4年的头痛也消失了。...
松果体区肿瘤手术后会正常吗? 松果体瘤手术后一般可恢复正常。松果体瘤患者手术后,其性早熟﹑肿瘤压迫症状﹑神经精神症状﹑尿崩症等相关症状明显...
成熟性畸胎瘤,又称皮样囊肿,是一种良性肿瘤,占卵巢肿瘤的10%-20%,生殖细胞肿瘤占85%-97%,畸胎瘤占95%以上可发生于任何年龄,多为20-40岁,多为单侧,...
松果体区肿瘤手术的成功率是一个复杂的问题,它受到多种因素的影响。手术的成功率取决于肿瘤的性质、位置和大小,以及患者的个体差异和手术团队的...
目前松果体瘤的病因尚不清楚。在临床实践中,松果体肿瘤相对少见,相关病例在儿童和青少年中更常见,男孩比女孩更常见。不同类型的松果体肿瘤的病...
松果体生殖细胞瘤手术 松果体生殖细胞瘤的治疗应以综合治疗为主,主要治疗方法是手术切除。 有的患者松果体生殖细胞瘤体积较大,手术过程中容易出...
松果体区肿瘤手术费用 松果体瘤的手术费用受多种因素影响,因此存在较大差异,因此不能一概而论,约5~10万元。 影响松果体瘤手术成本的因素很多,如...
松果体细胞瘤手术后遗症?松果体细胞瘤手术是治疗该疾病常见的一种方法,但手术后可能会导致一些残留问题和并发症。下面小编将详细介绍松果体细胞...
脑部松果体肿瘤手术多少钱一次?术后如何护理?脑部松果体肿瘤是一种少见的脑肿瘤,手术是主要的治疗方法。手术费用因医院、地区和手术复杂程度而...
松果体肿瘤不做手术能治疗吗? 松果体肿瘤的主要治疗方法是手术治疗,没有手术是无法治愈的。目前,松果体肿瘤较为常见,根据瘤种通常有以下情况:...
松果体肿瘤手术成功率高吗?松果体肿瘤是一种少见的颅内肿瘤,手术是目前常见的治疗方法。然而,松果体肿瘤的手术成功率取决于多个因素,包括肿瘤...
松果体肿瘤手术后注意事项?松果体肿瘤是指发生在松果体区域的肿瘤,手术是治疗该疾病常见的方法之一。手术后患者需要注意一系列事项,包括休息、...
目录 引言 松果体区海绵状血管瘤综述 松果体区海绵状血管瘤临床表现 松果体区海绵状血管瘤的外科治疗 三大手术入路 两个成功案例 手术操作技巧 松果...
松果体区肿瘤能不能做手术?松果体区肿瘤是指位于脑干上方、三脑室后部的松果体周围出现的肿瘤。这种肿瘤通常分为良性和恶性两种类型,其症状可能...
松果体肿瘤手术要多少时间?松果体肿瘤是一种少见的颅底肿瘤,其手术治疗是目前合适的治疗方法。手术时长会受到多种因素的影响,包括肿瘤的大小、...
链接/Links: 北京天坛医院 | 首都医科大学宣武医院 | 复旦大学华山医院神经外科 | 脑胶质瘤 | 脑海绵状血管瘤 |