松果体是位于大脑底部后部、脑干顶部附近的一个小器官。它负责产生几种激素,包括调节睡眠-觉醒周期和一些生殖功能的褪黑激素。松果体区域的肿瘤很少见,但儿童比成人更容易发生,较可能在十几岁时被发现,尽管他们也可以在中年时被诊断出来。

图片来源:https://en.wikipedia.org/wiki/Papillary_tumors_of_the_pineal_region
松果体区通常有两种主要类型的肿瘤:
生殖细胞肿瘤是松果体常见的肿瘤(虽然仍然很少见)。它们与松果体本身无关,被认为是在怀孕期间胚胎异常发育而产生的。这些肿瘤可能是良性的(包括畸胎瘤),恶性的(包括内胚层窦瘤,胚胎细胞瘤和绒毛膜癌),或者在许多情况下是混合的。
松果体细胞肿瘤起源于松果体本身(松果体实质肿瘤),比松果体生殖细胞肿瘤更少见。大约一半是恶性的(松果体母细胞瘤),另一半是良性的(松果体细胞瘤)。较少的情况下,肿瘤被划分为中级,这意味着它们具有恶性和良性的共同特征。

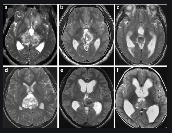
松果体区其他少见但值得注意的肿瘤包括发育性囊肿(表皮样囊肿)、松果体区乳头状肿瘤(PTPR)和胶质肿瘤(星形细胞瘤)。当这些松果体区肿瘤生长时,它们会压缩或侵入周围的大脑结构,导致各种神经功能缺陷。由于它们位于大脑中充满液体的区域,即脑室,它们也会导致因脑积水而增加的液体积累和颅内压。这些病变可以从良性囊肿到恶性肿瘤。
什么导致松果体区肿瘤?
在医学上,目前尚不知松果体区肿瘤的病因。尽管似乎不存在遗传因素(也就是说,松果体区肿瘤不会在家族中发生)。但生殖细胞肿瘤可能是从胎儿发育过程中“错位”的物质发展而来,而松果体细胞肿瘤很可能是自发的和无法解释的生长。
松果体区肿瘤的治疗方案
与许多其他脑肿瘤一样,松果体区肿瘤较好通过手术治疗。手术切除肿瘤的全部或部分--切除的肿瘤越多,患者的预后越好。这些外科手术是高度复杂的,可能需要几个小时。对于良性肿瘤,手术往往能达到良好效果-完全切除良性肿瘤通常是可能治愈的。如果肿瘤是恶性的,可能需要手术切除尽可能多的肿瘤,然后进行化疗或放疗来杀死任何剩余的肿瘤细胞。在某些情况下,明确的肿瘤切除会发生化疗后,可以缩小肿瘤的大小,从而使完全切除的可能性更大。
松果体区肿瘤手术要多少时间?
松果体区肿瘤手术要多少时间?手术目前作为松果体区肿瘤的优选疗法,但松果体区肿瘤的手术治疗目前仍是神经外科的一大挑战。该区域位置深在,毗邻重要血管神经,根据肿瘤的大小以及医生的手术技术,可能手术需要6-12个小时。但手术时间的长短,往往并不是很重要,手术切除率,手术结果是更重要的因素。由于大脑深部静脉对松果体区肿瘤手术入路起着明显的阻碍作用,而损伤静脉往往会导致术后严重的并发症及术后反应,导致手术失败。INC国际神经外科表示,对于松果体区肿瘤手术,选择一个国际神经外科手术专家是关键的,目前国际上,国际颅底肿瘤手术教授德国巴特朗菲教授和国际神经外科学院院长James T. Rutka教授在神经外科手术上,是享有盛誉的脑肿瘤手术教授。对于松果体区肿瘤手术,他们拥有几十年丰富的经验,和较其高超的手术技术,每年都有大量的脑肿瘤患者经他们的手术治疗后,得到了更好的生存期和生活质量。
国际神经外科学院院长James T. Rutka教授表示,由于松果体位于大脑侧导水管的旁边,导水管是脑脊液(CSF)离开大脑中心的通道。松果体区肿瘤经常压迫这个导水管,导致脑脊液压力增加(称为脑积水)。脑室的扩张会对邻近的脑组织造成压力,颅内压甚至可能上升到危及生命的水平,所以患者还需要进行脑积水的紧急治疗。内镜下三脑室造口术(ETV)是治疗脑积水的优选方法,因为它避免了全部与插入长期性分流装置相关的潜在风险。通常情况下,该手术与内镜下的肿瘤活检同时进行,采用微创手术。如果ETV是不可能的,那么放置分流是另一种选择。
INC国际神经外科提醒:松果体区肿瘤手术难度大,一次手术治疗是重要的,一开始高切除率的手术,可以让患者术后复发率更低,免受重复治疗的折磨。对于一次手术效果并不好的肿瘤患者,有些患者可能在一年内经历手术、复发、再度手术,仍会发生不幸的事。
- 文章标题:松果体区肿瘤手术要多长时间?如何获得更佳预后?
- 更新时间:2020-03-17 23:26:59
400-029-0925




