(爱恩希)INC国际-国内中文
(爱恩希)INC国际
联系INC
寻求咨询意见
(爱恩希)INC国际咨询电话400-029-0925

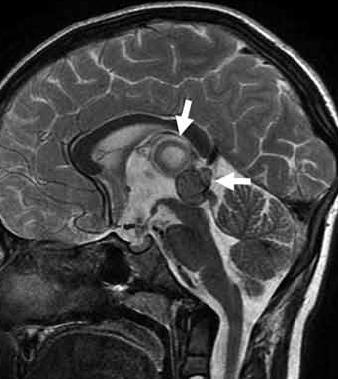
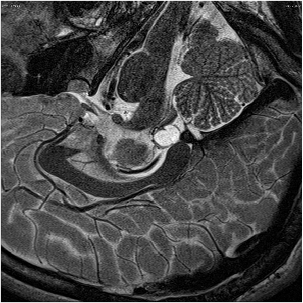
松果体区肿瘤活多久

INC——国内外神经外科学术交流平台

INC > > 松果体区肿瘤活多久
  • 恶性脑瘤术后1年多:“可以像正常孩子一样生活!”

    恶性脑瘤术后1年多:“可以像正常孩子一样生活!”

    2025-07-17 13:36:50

    乐乐出生的第6个月,一家人准备带他出去旅行。此时的乐乐还十分健康,对于即将出门的事情也表现出了兴奋。可是,一趟旅程下来,不知是因为疲倦还是...

  • 鞍区异位松果体瘤手术治疗、复发和寿命

    鞍区异位松果体瘤手术治疗、复发和寿命

    2025-04-27 17:49:35

    鞍区异位松果体瘤(Ectopic Pineocytoma)是一种罕见的脑肿瘤,产生于松果腺的异常组织,因其位置特殊和生物学特性,诊断和治疗上复杂性较高。本文将深入...

  • 松果体细胞瘤1级能活多久?

    松果体细胞瘤1级能活多久?

    2025-04-11 09:16:10

    松果体细胞瘤是一种起源于松果体实质细胞的肿瘤,根据世界卫生组织(WHO)中枢神经系统肿瘤分类标准,松果体细胞瘤分为不同级别,其中1级属于相对良性...

  • 松果体占位做什么检查?恶性肿瘤存活期?

    松果体占位做什么检查?恶性肿瘤存活期?

    2025-04-03 16:40:35

    松果体占位需要做哪些检查? 影像学检查是第一步 当怀疑松果体区域存在占位性病变时,影像学检查是最直接的诊断手段。核磁共振(MRI)是首选方法,...

  • 松果体区占位病变是什么病?术后成活率?

    松果体区占位病变是什么病?术后成活率?

    2025-04-03 16:01:46

    当医生提到松果体区占位病变时,许多患者和家属会感到陌生甚至恐慌。这个位于大脑深处的神秘区域,一旦出现肿瘤或囊肿,可能引发头痛、视力障碍甚...

  • 松果体肿瘤能治愈吗:肿瘤全切术点亮8岁松果体区肿瘤男孩生存希望

    松果体肿瘤能治愈吗:肿瘤全切术点亮8岁松果体区肿瘤男孩生存希望

    2022-08-12 23:02:04

    【松果体区肿瘤案例】去年年初,小A就出现了头痛、眼球运动障碍等症状,经磁共振检查结果为松果体区占位合并幕上梗阻性脑积水,本来和乐美满的一家...

  • 得松果体脑瘤的概率是多少?能不能长期生存?

    得松果体脑瘤的概率是多少?能不能长期生存?

    2021-03-19 15:53:02

    松果体位于间脑的顶上方,主要分泌褪黑素,其作用与脑垂体的黑色素细胞刺激素相反,使两栖类皮肤色素变浅。松果体是神经内分泌的转换器,起生物钟...

  • 松果体囊肿能活多久?与生殖细胞肿瘤有何区别?

    松果体囊肿能活多久?与生殖细胞肿瘤有何区别?

    2022-02-28 09:29:17

    松果体囊肿(pineal cyst)也叫非肿瘤囊肿,较少见,为良性病变,国外尸检存在率高达40%。松果体囊肿能活多久?由于其良性性质,因此可长期生存。且多数无...

  • 恶性松果体肿瘤手术治疗后能活多久

    恶性松果体肿瘤手术治疗后能活多久

    2021-03-19 15:54:18

    松果体肿瘤 是一种少见的脑肿瘤,它们从松果体或松果体周围的组织开始。松果体位于大脑的中央,就在脑干后面,它产生控制睡眠的褪黑激素。松果体肿...

  • 松果体脑瘤能活多久?

    松果体脑瘤能活多久?

    2021-03-19 15:53:19

    松果体脑瘤能活多久?一般人们所说的脑瘤大部分指脑癌、恶性肿瘤,但松果体脑瘤却并不能一概而论。松果体脑瘤是不是癌症,取决于所患的是哪种肿瘤...

  • 松果体肿瘤是癌症吗?5年生存率是多少?

    松果体肿瘤是癌症吗?5年生存率是多少?

    2020-10-05 12:32:45

    很多松果体肿瘤是癌症,其恶性程度因不同性质而有区分。手术切除程度常常决定着松果体肿瘤的预后...

  • 松果体区胶质母细胞瘤案例解读一则

    松果体区胶质母细胞瘤案例解读一则

    2021-01-25 17:33:23

    多形性胶质母细胞瘤(GBM)很少在松果体区发现。本文介绍了一个松果体区原发性胶质母细胞瘤(GBM)的病例,讨论了临床过程、影像学表现和治疗方法。根...

  • 长在大脑重要的松果体区肿瘤,怎么治疗生存率高?

    长在大脑重要的松果体区肿瘤,怎么治疗生存率高?

    2021-03-19 15:54:31

    短时间意识不清、烦躁不安、头疼、抽搐好端端的小孩子如果突发这些症状,可是真能把家长吓坏。 去年年初,一位8岁的小女孩就是因此而送医的,经核...

  • 松果体区肿瘤能活多久?

    松果体区肿瘤能活多久?

    2020-06-04 15:51:28

    松果体瘤 是在松果体中形成的肿瘤。腺体是大脑中部的小腺体。它被你的大脑包围。它产生一种称为褪黑激素的激素,会影响您的睡眠-觉醒周期。松果体...

  • 松果体瘤恶性能活多久?

    松果体瘤恶性能活多久?

    2020-09-24 16:11:35

    松果体瘤恶性包括哪些?能长期生存吗?本位介绍松果体瘤恶性的几种类型及相关预后...

  • 松果体肿瘤切除范围和长期生存率之间有何联系?

    松果体肿瘤切除范围和长期生存率之间有何联系?

    2021-03-19 15:47:01

    松果体肿瘤代表了具有挑战性的外科病变,本文强调完全显微外科切除术(CMR)在松果体区域肿瘤中获得良好长期效果的作用...

  • 松果体区肿瘤组织学诊断:活检还是开颅切除

    松果体区肿瘤组织学诊断:活检还是开颅切除

    2021-02-19 11:49:00

    考虑到松果体区肿瘤的病理多样性,有必要明确组织学诊断以进一步优化治疗方案。肿瘤的组织学特征很大水平上影响术后辅助治疗方案的选择、针对转移的...

  • 影响松细胞瘤患者总生存率的因素

    影响松细胞瘤患者总生存率的因素

    2021-03-19 15:50:27

    与仅进行次全切除相比,次全切除加放疗不能整体好转生存率。大体全切除术是治疗松细胞瘤的合适方法...

  • 松果体肿瘤能活多久?脑部松果体肿瘤存活多久?

    松果体肿瘤能活多久?脑部松果体肿瘤存活多久?

    2022-12-05 11:38:27

    脑松果体瘤是指大脑松果体瘤。大脑松果体瘤多为生殖细胞瘤或其他生殖细胞瘤。 对于这样的肿瘤,一般可以考虑放射治疗,放射治疗通常更理想,如果引...

  • 松果体恶性肿瘤能活多久?松果体肿瘤手术要多久

    松果体恶性肿瘤能活多久?松果体肿瘤手术要多久

    2022-12-05 13:42:23

    松果体恶性肿瘤能活多久 松果体的恶性肿瘤有松果体的生殖细胞瘤和精原细胞瘤,还有少部分发生在松果体的胶质细胞瘤。对于松果体恶性肿瘤患者能够活...

  • 松果体瘤手术后能活多久?松果体囊肿影响寿命吗?

    松果体瘤手术后能活多久?松果体囊肿影响寿命吗?

    2022-12-05 13:34:02

    松果体瘤手术后能活多久? 松果体区约80%的恶性肿瘤,包括许多瘤种,近10种肿瘤病理类型。松果体区恶性肿瘤患者的生存期一方面取决于肿瘤的具体病理...

  • 松果体细胞瘤能活多久?松果体母细胞瘤能活多久?

    松果体细胞瘤能活多久?松果体母细胞瘤能活多久?

    2022-12-05 11:59:52

    松果体脑瘤患者的生存期应根据具体情况进行评估。松果体脑瘤包括良性和恶性肿瘤,包括中度和中度、高度恶性肿瘤的具体生存期如下: 一、良性松果体...

  • 松果体肿瘤放疗需要多久时间?儿童松果体肿瘤治愈能活多久?

    松果体肿瘤放疗需要多久时间?儿童松果体肿瘤治愈能活多久?

    2022-12-05 11:46:15

    松果体肿瘤放疗需要多久时间? 松果体瘤放疗所需的时间与松果体瘤的病理分析有关。松果体瘤占脑瘤的1%,儿童发病率高于成人。 松果体瘤的治疗也是手...

  • 脑部松果体囊肿对寿命的影响,松果体瘤能活多久

    脑部松果体囊肿对寿命的影响,松果体瘤能活多久

    2022-12-05 13:39:00

    脑部松果体囊肿对寿命的影响 松果体囊肿是否影响寿命通常取决于具体情况。如果患者没有明显的不适症状,一般不会影响使用寿命。如果患者有明显的不...

  • 松果体区肿瘤生存期,松果体占位生存期

    松果体区肿瘤生存期,松果体占位生存期

    2022-12-05 11:25:37

    松果体区肿瘤生存期 松果体区肿瘤能存活多久不能一概而论。如果是良性肿瘤,积较治疗后可以长期存活,但如果是恶性肿瘤,存活时间相对较短。 松果...

  • 松果体恶性肿瘤能活多久

    松果体恶性肿瘤能活多久

    2023-10-30 14:48:22

    松果体恶性肿瘤能活多久?松果体恶性肿瘤是一种少见但具有高度侵袭性的脑肿瘤。其生存期取决于多个因素,包括肿瘤的类型、早期诊断和治疗的及时性...

  • 松果体肿瘤手术后能活多久?松果体星形细胞瘤二级生存期有几年?

    松果体肿瘤手术后能活多久?松果体星形细胞瘤二级生存期有几年?

    2022-12-05 11:52:00

    目前松果体瘤的病因尚不清楚。在临床实践中,松果体肿瘤相对少见,相关病例在儿童和青少年中更常见,男孩比女孩更常见。不同类型的松果体肿瘤的病...

  • 松果体细胞瘤不变大能活多久

    松果体细胞瘤不变大能活多久

    2023-11-16 14:21:00

    松果体细胞瘤不变大能活多久?关于松果体细胞瘤不变大的预后和预期寿命,没有一个固定的答案,因为这取决于许多因素,包括肿瘤的生物学特征、患者...

  • 松果体实质性肿瘤生存期,松果体区肿瘤生存期

    松果体实质性肿瘤生存期,松果体区肿瘤生存期

    2022-12-05 13:55:35

    松果体实质性肿瘤生存期 根据具体情况评估松果体区肿瘤患者的生存期。松果体区肿瘤包括良性和恶性肿瘤,包括中度和高度恶性肿瘤。具体生存期如下:...

  • 松果体区的肿瘤会影响寿命吗?松果体区交界性肿瘤影响寿命吗?

    松果体区的肿瘤会影响寿命吗?松果体区交界性肿瘤影响寿命吗?

    2022-12-05 13:51:13

    松果体区的肿瘤会影响寿命吗? 恶性松果体瘤会明显缩短患者的寿命,但患者的具体生存时间与病情的严重程度有关。 松果体瘤会损害松果体,压迫松果...

  • 松果体细胞瘤能活多久

    松果体细胞瘤能活多久

    2023-11-16 15:44:10

    松果体细胞瘤能活多久?松果体细胞瘤是一种少见的脑部肿瘤,其患者的预后和生存期通常取决于多个因素,包括肿瘤的类型、分级、大小、位置以及患者...

  • 松果体脑瘤能活多久(松果体囊肿能活多久)

    松果体脑瘤能活多久(松果体囊肿能活多久)

    2022-12-05 14:03:27

    松果体肿瘤是指松果体肿瘤引起的促性腺激素和性激素分泌增加(松果体的分泌功能与腺垂体有拮抗作用),又称性早熟综合征和早熟巨生殖器综合征。常...

  • 松果体母细胞瘤能治好吗能活多久

    松果体母细胞瘤能治好吗能活多久

    2023-11-09 15:25:33

    松果体母细胞瘤能治好吗能活多久?松果体母细胞瘤是一种少见的儿童肿瘤,治疗方法主要包括手术切除、放疗和化疗。虽然治疗方法得到了不断改进,但...

  • 儿童松果体区肿瘤存活率

    儿童松果体区肿瘤存活率

    2023-10-30 10:30:15

    儿童松果体区肿瘤存活率?儿童松果体区肿瘤是指发生在松果体周围的肿瘤,通常影响儿童和青少年。这种肿瘤相对少见,但它的存活率和治疗结果却是儿...

  • 松果体肿瘤能切除吗?能活几年?

    松果体肿瘤能切除吗?能活几年?

    2023-11-01 11:11:56

    松果体肿瘤能切除吗?能活几年?松果体肿瘤是一种少见的颅内肿瘤,位于脑的深处,通常需要手术切除。手术切除的成功与否和患者的具体情况相关,包...

  • 脑部松果体肿瘤存活多久可以手术

    脑部松果体肿瘤存活多久可以手术

    2023-10-30 11:13:36

    脑部松果体肿瘤存活多久可以手术?脑部松果体肿瘤是一种少见的肿瘤,起源于脑部松果体区域。对于患有这种疾病的患者来说,手术是常见的治疗方式之...

  • 丘脑生殖细胞瘤生存期,松果体生殖细胞瘤生存期

    丘脑生殖细胞瘤生存期,松果体生殖细胞瘤生存期

    2022-12-06 14:52:42

    丘脑生殖细胞瘤生存期 丘脑生殖细胞瘤是一种少见的恶性肿瘤疾病。能活多久主要取决于疾病的分期、恶性程度和治疗效果。 在生殖细胞肿瘤恶性程度较...

  • 松果体生殖细胞瘤复发还能活多久

    松果体生殖细胞瘤复发还能活多久

    2023-11-15 15:54:47

    松果体生殖细胞瘤复发还能活多久?松果体生殖细胞瘤是一种少见的肿瘤,其复发后的预后与多种因素有关。复发后的生存期可以因个体差异和治疗方法的...

  • 松果体囊肿能活多久

    松果体囊肿能活多久

    2024-04-30 14:55:34

    松果体囊肿是一种常见的疾病,一般情况下不会影响患者的寿命。囊肿的大小和是否容易长大存在个体差异,治疗方法因个体差异而异,一般包括观察、药...

  • 松果体恶性肿瘤手术后能活多久

    松果体恶性肿瘤手术后能活多久

    2023-10-30 14:49:59

    松果体恶性肿瘤手术后能活多久?松果体恶性肿瘤是一种少见但致命的疾病,通常需要通过手术来治疗。手术后的生存期取决于多种因素,包括瘤种、术前...

  • 松果体实质性肿瘤2级寿命

    松果体实质性肿瘤2级寿命

    2023-11-02 16:37:39

    松果体实质性肿瘤两级寿命?松果体实质性肿瘤是一种少见的中枢神经系统疾病,随着现代医学技术的不断进步,人们对其认识逐渐加深。该病的发病率较...

  • 松果体母细胞瘤存活率

    松果体母细胞瘤存活率

    2023-11-03 15:06:09

    松果体母细胞瘤存活率?松果体母细胞瘤是一种少见的儿童恶性肿瘤,起源于儿童脑部的松果体,它主要发生在3至10岁之间的儿童身上。松果体母细胞瘤可...

  • 松果体区占位恶性肿瘤存活期

    松果体区占位恶性肿瘤存活期

    2023-10-30 17:42:42

    松果体区占位恶性肿瘤存活期?松果体区占位恶性肿瘤是一种少见但具有严重疾病进展的瘤种。此类肿瘤起源于松果体区,可导致视力损害、内分泌紊乱等...

  • 松果体肿瘤不治疗能活多久

    松果体肿瘤不治疗能活多久

    2023-10-31 16:41:33

    松果体肿瘤不治疗能活多久?松果体肿瘤是指发生在人体松果体区域的恶性或良性肿瘤。治疗松果体肿瘤的方式通常包括手术切除、放疗和化疗等。然而,...

  • 松果体母细胞瘤晚期能活多久

    松果体母细胞瘤晚期能活多久

    2023-11-09 16:33:40

    松果体母细胞瘤晚期能活多久?松果体母细胞瘤晚期的生存期会受到多种因素的影响,包括患者的年龄、肿瘤的分级和扩散程度以及接受的治疗方法。尽管...

  • 松果体胶质瘤能手术吗能活多久

    松果体胶质瘤能手术吗能活多久

    2023-11-17 16:13:07

    松果体胶质瘤能手术吗能活多久?松果体胶质瘤的预后和患者的生存期是一个复杂的问题,受多种因素影响。评估松果体胶质瘤患者的生存期需要考虑患者...

  • 成人松果体母细胞瘤存活率

    成人松果体母细胞瘤存活率

    2023-11-02 17:22:20

    成人松果体母细胞瘤存活率?成人松果体母细胞瘤是一种少见的脑肿瘤,起源于松果体。该瘤通常发生在成年人身上,因其少见性而病因和治疗方法尚不完...

  • 松果体母细胞瘤四级能活多久

    松果体母细胞瘤四级能活多久

    2023-11-09 16:20:57

    松果体母细胞瘤四级能活多久?松果体母细胞瘤四级是一种具有高度侵袭性和扩散性的恶性肿瘤,患者的预后通常较差。然而,预后因多种因素而异,包括...

  • 6岁儿童松果体区肿瘤预后好吗?能活几年?

    6岁儿童松果体区肿瘤预后好吗?能活几年?

    2024-09-25 14:47:44

    6岁儿童松果体区肿瘤预后好吗?能活几年?松果体区肿瘤种类繁多,不同类型肿瘤的预后差异较大,因此在讨论预后时,需要具体分析每种肿瘤的特点和治疗...

  • 松果体生殖细胞瘤能活多久看这3大项因素!

    松果体生殖细胞瘤能活多久看这3大项因素!

    2024-12-02 13:58:01

    松果体生殖细胞瘤能活多久看这3大项因素!松果体生殖细胞瘤患者的生存期受到肿瘤相关因素、治疗相关因素和患者个体因素等多方面的综合影响。了解这...

  • 松果体生殖细胞瘤复发还能活多久?这4点很重要!

    松果体生殖细胞瘤复发还能活多久?这4点很重要!

    2023-11-20 14:33:52

    松果体生殖细胞瘤复发还能活多久?松果体生殖细胞瘤的复发对患者的预后和生存率具有重要影响。然而,无法确定复发后患者能够活多久,因为每个患者...

  • 小儿松果体区肿瘤不治疗能活多久?会影响身高吗?

    小儿松果体区肿瘤不治疗能活多久?会影响身高吗?

    2024-08-02 18:58:00

    小儿松果体区肿瘤不治疗能活多久?会影响身高吗?小儿松果体区肿瘤如果不进行治疗,其预后和对身高的影响取决于多种因素,包括肿瘤的类型、大小、位...

  • 松果体母细胞瘤能活多长时间

    松果体母细胞瘤能活多长时间

    2023-11-03 15:55:19

    松果体母细胞瘤能活多长时间?松果体母细胞瘤是一种少见而严重的神经系统肿瘤,发生在脑部松果体区域。由于该疾病的复杂性和个体差异,普遍评估或...

  • 松果体实质性肿瘤生存期

    松果体实质性肿瘤生存期

    2023-10-31 15:04:53

    松果体实质性肿瘤生存期?松果体实质性肿瘤是指起源于松果体组织的恶性肿瘤,虽然少见,但其对患者的健康和生存具有重要影响。文章将通过回顾相关...

  • 松果体肿瘤术后生存期

    松果体肿瘤术后生存期

    2024-05-22 15:39:04

    松果体肿瘤术后生存期因个体差异、病情严重程度、治疗方案等因素而异。一般来说,良性肿瘤的预后较好,恶性肿瘤的生存期可能会受到影响。 松果体肿...

点击查看更多