松果体肿瘤是一种少见的原发性脑瘤(发病率0.4% ~ 3.4%),常表现为局部肿块或梗阻性脑积水。脑积水的治疗包括脑室外引流和脑室-腹腔分流术。松果体肿瘤瘤内出血是脑室-腹腔分流术或脑室外引流术治疗梗阻性脑积水后少见的并发症。到目前为止,有4例松果体肿瘤在脑脊液分流后出现大量出血。脑脊液转移引起的其他肿瘤出血包括髓母细胞瘤、室管膜瘤、丘脑、小脑星形细胞瘤。
我们报告两位病患在松果体肿瘤中出现大量的瘤内出血。一位23岁男性患有松果体瘤,其(MRI, CT)图像显示为梗阻性脑积水,接受右脑室-腹腔分流术。他的意识恶化,并经历了较大的瘤内出血,后来死亡。另一例松果体肿瘤是一名47岁男性,因阻塞性脑积水和意识恶化而接受紧急外脑室引流术。手术后他病情突然恶化,影像显示有大量瘤内出血。出院时仍为植物人,两周后死亡。虽然脑室-腹腔分流术或脑室外引流术后的松果体瘤内出血是少见的,但它是发病率和死亡率的重要原因,在开颅前进行脑脊液分流时应将此案例铭记在心。
患者1
一名23岁男性,既往健康,有进行性头痛、呕吐和视力模糊病史。他在医院就诊前一天头痛加剧。神经学检查除了视力下降和双侧乳头水肿外,未见其他异常。CT显示松果体区等致密病变伴阻塞性脑积水(图1A)。MRI显示松果体区域肿瘤直径2.6 cm*3.1 cm*2.9 cm, t1加权图像低信号,t2加权图像轻度高信号(图1B)。采用德尔塔分流试剂盒进行脑室-腹腔分流手术以减轻患者的脑积水。分流术5小时后,病人恶化为深度昏迷状态,并无脑干反射。立即CT显示三脑室大量瘤内出血,该脑室破裂进入侧脑室(图1C)。由于他的神经系统状况不佳,没有进行减压手术,他后来去世了。

图1。CT及横t2加权MRI显示松果体区肿瘤合并梗阻性脑积水(a及B)。CT显示三脑室大量瘤内出血并破裂进入侧脑室(C)。
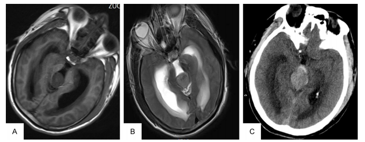
患者2
一名47岁男性,因严重头痛、呕吐、嗜睡和双侧乳头水肿后入院。胸部CT示右侧肺癌并纵膈及肺门淋巴转移。NSE为42.38 ng/mL(正常范围0-16.3 ng/mL), CEA和SCC正常。脑核磁共振检查显示松果体肿瘤与梗阻性脑积水。t1加权像肿瘤低密度,t2加权像肿瘤微高密度,增强不均一(图2A、2B)。他接受了甘露醇治疗,并因肿瘤切除而入院。由于意识水平逐渐下降,医生计划进行紧急脑脊液分流,并行右脑室外引流。

图2。横向t1和t2加权图像显示松果体区肿瘤并梗阻性脑积水(a和B)。CT扫描显示肿瘤内大出血(C)。
术中,脑脊液处于高压下。术中允许少量脑脊液引流。然而,在室外引流两小时后,他陷入深度昏迷,瞳孔不均匀。紧急CT扫描显示三脑室有大量瘤内出血,该脑室破裂进入侧脑室(图2C)。家庭选择放弃任何治疗并出院。
脑脊液分流后引起瘤内出血的机制有不同。在高ICP值下,大脑的顺应性下降,因此,即使我们在手术中释放少量脑脊液,颅内压也明显下降。这可能会导致微小但快速的运动,扭曲颅内结构,并造成颅内和瘤内压力之间的突然失衡。这种不平衡可导致血管功能不全、静脉充血和随后的肿瘤内出血。我们知道,颅内容积是恒定的。脑脊液体积的迅速减少与脑血容量的增加相互补偿。血管充血导致瘤内出血。我们认为我们病例的肿瘤出血是由于脑脊液分流术中升高的ICP突然下降所致。脑脊液转移和脑室缩小后,肿瘤从周围结构转移。这种改变可能改变了肿瘤内的静脉循环,导致瘤内血肿。早期报道显示肿瘤出血的死亡率较高。在我们的病人中,尽管经过了特别护理,出血也导致了随后的死亡。虽然在手术过程中逐渐释放脑脊液,但仍不能防止出血。在某些因肿瘤引起的脑积水而出现高ICP的病例中,较好通过随后的肿瘤切除来恢复阻塞的脑脊液通路的畅通。基于这一经验,我们认为在对松果体肿瘤引起的梗阻性脑积水进行术前处理时,应考虑瘤内出血的可能性。脑脊液转移有潜在的危险,应该限制在那些因颅内压升高而出现急性疾病的患者,这些患者很难接受暂时的药物治疗。但拥有丰富经验和高超技巧的术者往往可以避免此隐患,INC之德国巴特朗菲教授较为擅长脑干、松果体、丘脑等位置的病变切除,以顺利前提下的高切除率,国内患者可咨询INC国际专家远程咨询,或由教授为其主刀。
参考文献:Int J Clin Exp Med 2016;9(10):20380-20382
- 文章标题:脑脊液分流治疗松果体肿瘤,手术后会出现哪些并发症?
- 更新时间:2020-12-07 15:42:52
400-029-0925




