松果体区解剖复杂松果体呈近似圆形,附于三脑室顶部,中脑顶盖上方,肼胝体压部下方,其后方为大脑大静脉池,池内走行着收集大脑深组静脉血的大脑大静脉,此池向前上方通中间帆腔,向下连四叠体池。松果体瘤系指松果体肿瘤引起的促性腺激素及性激素分泌增多(松果体的分泌功能上与腺垂体有拮抗作用)又称性早熟综合征、早熟性巨生殖器巨体综合征。松果体区常见的肿瘤有:松果体细胞瘤、成胶质细胞瘤、畸胎瘤、生殖细胞瘤、精原细胞瘤、星形细胞瘤等。本文主要介绍松果体细胞瘤。

图1:松果体区的复杂解剖特点
定义
松果体细胞瘤是一种少见的、缓慢生长的松果体实质细胞的肿瘤,肿瘤含大小一致、成熟松果体样的小细胞,常形成大的松果体瘤菊形团,组织学上相当于WHO I级。
年龄和性别分布
松果体区的肿瘤占全部螺内肿瘤的<1%,大约14-27%是松果体主质细胞起源的肿瘤,在这些肿瘤中,松果体细胞瘤月占14%-60%。可见于任何年龄组,但好发于成年人(平均年龄38岁),儿童多为松果体母细胞瘤,男女性别比例基本相当。
临床特点
患者可以出现颅内压增高、内分泌改变及典型的神经系统症状。肿瘤突向三脑室后部梗阻导水管上口,或向前下发展使导水管狭窄或闭锁,以致早期发生梗阻性脑积水及颅内压增高的临床表现,如头痛、呕吐、眼底水肿和意识状态改变等。内分泌症状表现为性征发育停滞或不发育,正常松果体腺可分泌褪黑激素,它可控制腺垂体的功能,降低腺垂体中促性腺激素的含量和其分泌减少,性征发育迟缓者在松果体肿瘤中可见于松果体细胞瘤的患者。部分患者可出现癫痫发作,病理反射甚至意识障碍,恶性松果体区肿瘤可发生远处转移,常见肿瘤转移至脊髓蛛网膜下腔,甚至转移至中枢神经系统以外的结构,行脑室分流患者,瘤细胞沿分流管向远处转移,脊髓播散可造成脊髓和马尾神经损害,引起神经根痛或感觉障碍。
肿瘤压迫或浸润松果体区及其邻近结构,可典型的神经系统症状包括如下:
(1)眼征四叠体上丘综合征(Parinaud综合征)和Sylvian导水管综合征。
(2)听力障碍。肿瘤体大时可压迫四叠体下丘及内侧膝状体而出现双侧耳鸣和听力减退。
(3)小脑征。肿瘤向后下发展可压迫小脑上脚和上蚓部,引起辨距不良,共济失调,肌张力降低和意向性震颤。
(4)丘脑下部损害。症状表现为多饮多尿,嗜睡和向心性肥胖等。
影像特点
CT检查:CT平扫肿瘤可呈低密度,等高混杂密度或均一稍高密度病灶,肿瘤呈边界清楚的类圆形病灶,可有散在小钙化灶,双侧侧脑室及三脑室前部扩大,有室管膜或室管膜下转移的可见两侧侧脑室及三脑室周围带状略高密度病灶,可呈均匀一致的对比增强。
MRI检查:MRI检查肿瘤在T1加权像呈等信号,也可呈低信号,而在T2加权像为高信号,矢状位扫描有助于了解肿瘤的生长方向以及中脑受压的程度,Gd-DTPA增强对比亦为均一强化表现。


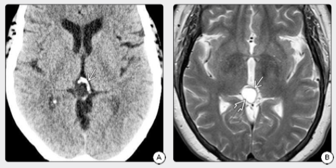
图2:A.CT扫描显示了典型的边缘高密度表现,出现在囊性松果体上的钙质向病灶的“爆炸”型边缘。B.同一患者的T2WI显示囊肿被薄薄的实体组织边缘包围。C.FLAIR扫描显示,囊壁轻度强化,囊液没有被控制。D.T1 C+FS证实囊肿壁增。术后病理证实该例为松果体细胞瘤。


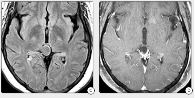
图3:A.一名58岁头痛且正常神经系统检查的妇女T2WI显示混合的囊性和实心松果体压迫了顶板。B.T1WI显示肿块囊性部分比相邻三脑室的CSF高。C.FLAIR MR显示囊肿中的液体相未被控制,无阻塞性脑积水。D.T1 C+FS MR肿瘤的实质部分显示出异质性强化。
治疗
应当以手术治疗为主,因为该肿瘤的病理特性决定了它对放射治疗不敏感,而部分患者在脑室腹腔分流术后虽然颅内压不高,但中脑受压的体征却更明显,只有直接手术切除肿瘤才能解除对脑干的压迫。通过手术能获得较大肿瘤标本,对病灶性质了解更多方位,手术也可以较大限度缩小肿瘤体积,利于术后其他辅助治疗。
松果体细胞瘤的临床过程以出现症状到手术治疗有一个较长的间隔期(4年)为其特点,5年存活率达86%-全切,全切术后没有复发,普通的松果体细胞瘤与向胶质、神经元和视网膜母细胞不同方向分行的松果体细胞瘤无差异。
后续更多脑瘤相关知识和前沿连载,尽在“INC国际神经科学”微信公众号,敬请关注。如需转载,请注明出处。
资料来源:
1.David N.Louis et al.《WHO Classification of Tumours of the Central Nervous System》
2.Anne G.Osborn.《Osborn’s Brain》.
- 文章标题:INC科普·脑瘤连载|松果体细胞瘤
- 更新时间:2020-06-04 15:51:53
400-029-0925




