生殖细胞肿瘤(GCTs)通常影响儿童和青少年。松果体区主要影响男性,而神经垂体GCTs无性别优势。然而,松果体区域GCTs的自然史并不为人所知。颅内新生生殖细胞瘤是一种少见的肿瘤,在以往的神经影像中是无法检测到的。此外,颅内生殖细胞瘤在老年人中也很少见,尽管在60岁以上的患者中也有报道。下文报告一个62岁男性的新生松果体细胞瘤,他成功地接受神经内窥镜活组织检查及随后的放射治疗。
病例报告
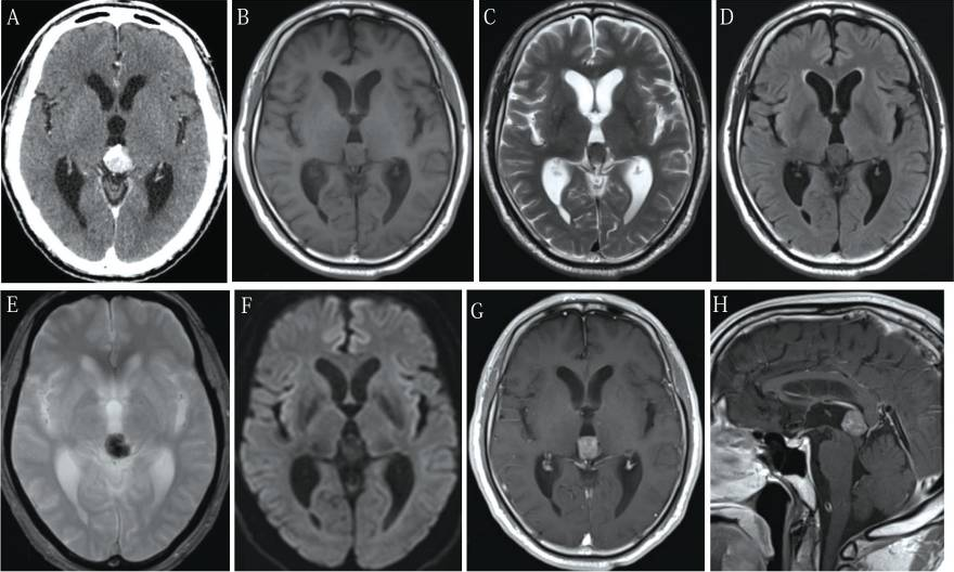
62岁男性,主诉复视病史1个月。60岁时,患者有紧张性头痛,曾行磁共振成像(MRI)检查,未见异常表现(图1)。MRI两年后,患者行计算机断层扫描(CT)和磁共振成像(MRI)检查复视。CT显示肿瘤呈增强形态,直径3cm,松果体区可见钙化(图2A)。肿瘤在t1加权MRI上呈等强度(T1WI,图2B);T2WI微低信号(图2C)和流体衰减反演恢复图像(图2D);T2* WI低信号明显(图2E),扩散WI明显(图2F), T1WI上钆异质增强(图2G)。钆增强T1WI矢状面显示垂体神经区未见肿瘤(图2H)。脑积水是由于肿瘤引起导水管狭窄所致。病人转到我们医院治疗。入院后复视好转,眼球运动充分平稳。经简易心理状态检查和韦氏成人智力量表检查,其心理功能轻度恶化。他的下面血清肿瘤标记物在正常范围:甲胎蛋白,β人体绒毛膜促性腺激素(βhcg)、癌胚抗原、β2-microglobulin,促黄体激素5.2个人/毫升(参考价值:1.7 - -11.2)、促卵泡激素9.2个人/毫升(参考价值:2.1 - -18.6),和睾酮482.0毫微克/分升(参考价值:220.9 - -715.8)。脑血管摄影显示一个微弱的肿瘤染色没有任何动静脉分流。CT检查未发现有转移到脑的肿瘤。因此,在鉴别诊断时要考虑多种肿瘤,如松果体实质肿瘤、神经胶质瘤、不明来源的转移性肿瘤和海绵状血管瘤。随后患者行内镜下活检和三脑室造口术,经右额冠状前刺孔及可操作的电视镜检查。肿瘤很容易在松果体区发现一个灰色肿块,包含旧时出血和钙化(图3A),怀疑转移到漏斗部(图3B)。活检标本取自几个不同的部位。活检时肿瘤有少量出血,冲洗可轻易止血。术后无并发症发生。术中脑脊液(CSF)β-HCG为0.12 mIU/mL,略升高。脑脊液中未检测到肿瘤细胞。组织病理学上,肿瘤呈2细胞型,上皮样细胞大,淋巴细胞小。前一个细胞经胎盘碱性磷酸酶(图4C)和c-kit(图4D)染色呈阳性。未观察到其他GCT成分。因此,此肿瘤的组织病理学诊断证实为纯生殖细胞瘤。患者接受单剂量放射治疗:脑室播散小剂量预防照射(25.2 Gy),原发肿瘤部位放射增强(25.2 Gy), MRI未见脊髓播散征象。放疗后肿瘤完全消失,无神经功能缺损。脑脊液β-HCG水平恢复正常。经过4年的放射治疗后,连续的MRI随访研究和β-HCG检测没有发现肿瘤复发。

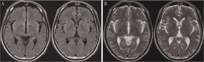
图1:入院前2年进行磁共振成像。注意,在液体衰减反转恢复图像(A)或t2加权图像(B)上,松果体区未见肿瘤。

图2:入院前立即行电脑断层扫描(CT)及磁共振成像(1.5特斯拉)。注意松果体区肿瘤在CT上显示混合密度和钙化(A);t1加权图像等强度(T1WI) (B);T2WI轻度低信号(C)和液体衰减反演恢复图像(D);T2*WI (E)低信号明显,弥散WI (F);钆增强矢状面T1WI (H)上垂体神经区未见肿瘤。

图3:术中照片的肿瘤与可操控的视频镜。值得注意的是松果体区肿瘤为灰色肿块,包含旧时出血和钙化(a),怀疑扩散到漏斗部(B)。
案例分析
老年生殖细胞瘤发病的机制尚不清楚。生殖细胞瘤被认为是由已存在的原始生殖细胞产生的,这些原始生殖细胞在胚胎发育的早期阶段分布到各种器官。然而,尚不清楚原始生殖细胞如何被运送到间脑神经区并维持,以及如何发生致瘤性转化。在克兰费尔特综合征患者中,促性腺激素分泌的增加被认为是原始生殖细胞发生GCTs的原因。还推测,与隐睾症、睾丸女性化和性腺发育不良病例相关的GCTs可能归因于促性腺激素分泌增加。这也被认为是GCTs的发病率在婴儿期和青春期相对较高的原因,即与衰老相比,促性腺激素分泌变化的时期。然而,我们的患者是一名62岁男性,其睾酮和促性腺激素水平在正常范围内。因此,除促性腺激素分泌增加外,染色体异常等因素可能与老年人生殖细胞瘤的发生有关。最近详尽的基因组学研究表明,参与MAPK和/或PI3K通路的基因突变在颅内生殖细胞肿瘤中很常见。
松果体区肿瘤包括各种类型的肿瘤,包括生殖细胞瘤(46.6%)、松果体实质肿瘤(13.2%)、不含生殖细胞瘤的GCTs(9.8%)、表皮样肿瘤(1.2%)、皮样肿瘤(0.4%)、神经胶质瘤(0.4%)、颅咽管瘤(0.2%)和其他肿瘤(28.2%)。GCTs还具有多种组织病理学特征,其手术策略差异很大。而非生殖细胞瘤,如卵黄囊瘤、绒毛膜癌、未成熟畸胎瘤等,则需要手术根治性切除及放化疗。因此,为了提供适当的治疗策略给松果体区肿瘤患者,内窥镜多点活检和伴随三脑室造口术(如果肿瘤有脑积水)是必要和有用的。
手术目前作为松果体区肿瘤的优选疗法,但松果体区肿瘤的手术治疗目前仍是神经外科的一大挑战。该区域位置深在,毗邻重要血管神经,根据肿瘤的大小以及医生的手术技术,可能手术需要6-12个小时。但手术时间的长短,往往并不是很重要,手术切除率,手术结果是更重要的因素。由于大脑深部静脉对松果体区肿瘤手术入路起着明显的阻碍作用,而损伤静脉往往会导致术后严重的并发症及术后反应,导致手术失败。INC国际神经外科表示,对于松果体区肿瘤手术,选择一个国际神经外科手术专家是关键的,目前国际上,国际颅底肿瘤手术教授德国巴特朗菲教授和国际神经外科学院院长James T. Rutka教授在神经外科手术上,是享有盛誉的脑肿瘤手术教授。对于松果体区肿瘤手术,他们拥有几十年丰富的经验,和较其高超的手术技术,每年都有大量的脑肿瘤患者经他们的手术治疗后,得到了更好的生存期和生活质量。
相关阅读:4年内多次放化疗及手术失败,较大松果体区肿瘤终得顺利全切
国内患者若想得到德国巴特朗菲教授乃至其他国际神经外科专家的咨询意见以及高质量的手术方案,可通过INC国际神经外科咨询旗下顾问团国际教授的远程咨询,条件允许可安排到教授所在国的医院接受治疗,INC将协助安排相关出国治疗事宜。
- 文章标题:松果体区生殖细胞肿瘤好治吗?内镜联合治疗案例报告一则
- 更新时间:2020-12-25 16:56:27
400-029-0925



