松果体区肿瘤是少见的,占成人颅内肿瘤的1%以下。松果体肿瘤已有近17种组织学瘤种的描述,每一种都有不同的肿瘤行为。松果体区乳头状肿瘤(PTPR)是最近发现的松果体瘤种。它在2003年被列入2007年的国际卫生组织(WHO)中枢神经系统肿瘤分类。它起源于具有上皮样生长模式的联合下器官的室管膜细胞,纤维血管乳头与明确的分泌功能有关。通过免疫组化评估,对细胞角蛋白、波形蛋白和S100蛋白的免疫反应,以及与胶质纤维酸性蛋白(GFAP)和上皮膜抗原(EMA)的可变反应是PTPR的典型特征。
由于脑导水管闭塞而导致的无法沟通的急性脑积水是PTPRr的常见临床表现,X线表现为不均一强化肿块,内含囊性成分。由于PTPRs的新近发现,这类肿瘤没有合适的组织学分级系统或标准的治疗方案。在以前的研究中,只有全切除(GTR)导致了更长的总生存期。此外,辅助治疗的作用尚未确定。
病例报告
我们在此报告一位3岁男童因PTPR而在国外接受急性脑积水手术,术后数月因肿瘤复发而入院。我们描述了这个病人的多学科处理,谁显示了良好的反应后,病灶全切除和辅助放化疗,3年后没有复发。
我们还对儿童PTPR病例报告进行了多方位的文献综述,同时描述了这一人群中新的实体的当前管理。病例介绍1例3岁男童,2级PTPR,入院复查。9个月前,患者因急性脑积水而在国外接受病灶次全切除。后续的脑磁共振成像(MRI)显示持久性的较大增强的松果体区损害和一个小囊性成分(图1)。脑室扩大也存在。患者无神经功能缺损。通过枕半球间入路行全肿瘤切除术,患者坐位(图1)。术后病程平稳。

图1:矢状脑磁共振成像(MRI)。(A和B)术前MRI显示松果体病变(A),已在国外接受过次全切除(B)。组织学诊断为松果体区II级乳头状肿瘤。(C) 9个月时MRI显示肿瘤再生。(D)患者在我科行枕半球间入路全切除,随后行辅助放化疗。组织学检查显示肿瘤进展(WHO III级)。(E)术后3年多患者病情持续良好,没有复发迹象。基于手术视频分析,我们强调了以下显微外科方面:
+左枕骨开颅后,于镜检下沿上纵窦打开硬脑膜。
+沿开口用Vicryl缝合线将硬脑膜强力回缩提供了硬膜外腔的止血。
+通过半球间入路从后半球间池释放脑脊液。
+经过仔细的接触,肿瘤被识别,并在高倍镜下,获得组织样本,立即进行组织学研究。
+采用环钳和长双较钳对肿瘤进行内去容积术。
+将肿瘤表面的小血管凝固并切除。仔细解剖病变并断流后,右手用长环钳轻轻将肿瘤取出,左手用拇指吸痰管轻轻将肿瘤取出。
+双较电凝使肿瘤缩小,并逐段缩小肿瘤。
+水剥离术用于将病变的深边界与周围组织分离,并持续冲洗以保持干净的手术野。
+最后的步骤包括小心的从下矢状窦剥离肿瘤残余和小心的手术部位的止血。

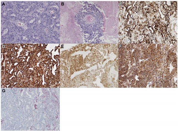
图2:手术标本的显微照片。(A)苏木精和伊红染色显示上皮样生长模式,血管被一层形成血管周围假柱的肿瘤细胞所覆盖。(B)部分坏死区存在。CeG免疫组化全角蛋白(C)、细胞角蛋白18 (D)、S100蛋白(E)、CD56 (F)免疫组化阳性,胶质纤维酸性蛋白(G)免疫组化阴性。
术后组织学诊断为III级PTPR。免疫组化分析显示,病变呈全角蛋白(CK5、CK6、CK8和CK18)、波形蛋白、微管相关蛋白2、S100蛋白、整合酶互作物1、CD99、转thyretin、CD56、上皮膜抗原(EMA;和突触素(弱病灶阳性)。另一方面,病变中神经丝蛋白、胶质纤维酸性蛋白(GFAP)和嗜chromogranin A呈阴性(图2)。MIB-1增殖指数为25%,有丝分裂特异性标记物磷酸组蛋白h3在15个有丝分裂细胞/mm2时被检测到。与一开始手术的组织学结果相比,肿瘤复发具有更多的坏死、更多的有丝分裂和更高的MIB-1增殖指数。术后4周,患者接受松果体肿瘤床局部分割放射治疗。总剂量54戈瑞除以日剂量1.8戈瑞。2015年2月,患者开始接受顺铂-环磷酰胺脒-依托泊苷静脉化疗,4个周期,每个周期21天:1)前3个周期1,8,15天:长春新碱1.5 mg/m2;2)1、2、3天:依托泊苷100 mg/;3)1天,顺铂100 mg/m2;4)2天和3天:环磷酰胺1000 mg/m2.4由于患者先天性畸形有1个肾,顺铂剂量由100 mg/m2降至80 mg/m2。术后3年多,患者临床表现良好,无发育迟滞和复发迹象(图1)。
讨论和文献综述
PTPR是2007年国际卫生组织命名的II-III级松果体病变,在2016年国际卫生组织脑肿瘤分类中没有变化。根据法国松果体肿瘤登记册,的松果体肿瘤包括松果体实质肿瘤(27%)、生殖细胞肿瘤(27%)、神经胶质瘤(17%)和乳头状肿瘤(8%),松果体实质肿瘤包括松果体细胞瘤(13%)、中间分化的松果体实质肿瘤(66%)和松果体母细胞瘤(21%)。Trojanowski等人于1982年报道了一例具有乳头状外观的松果体肿瘤,称为乳头状松果体细胞瘤。2003年,Jouvet et al.7引入了PTPR这个术语。其他表现出乳头状特征的松果体肿瘤包括室管膜瘤、脉络膜丛肿瘤、乳头状脑膜瘤、生殖细胞肿瘤和乳头状转移癌。目前认为PTPRs可能来源于联合下器官;因此,PTPRs以及来源于联合下器官本身的室管膜细胞高表达CK18.7-9。
参考文献:https://doi.org/10.1016/j.wneu.2018.06.020
- 文章标题:儿童松果体的乳头状肿瘤:病例介绍及综合文献复习
- 更新时间:2020-12-23 14:55:42
400-029-0925



