松果体囊肿研究分享
磁共振成像(MRI)研究显示,1.8%-4.3%的健康受试者存在松果体囊肿。尸检研究表明,普通人群中高达40%个体存在松果体囊肿。虽然通常无症状,但松果体囊肿可能逐渐增大,对周围结构(顶盖、中脑导水管、静脉结构)产生占位效应,因而需要治疗。
由于松果体囊肿高发且常伴非特异性症状,关于症状与囊肿关联性的讨论持续存在。目前,对于仅表现为头痛但无神经系统症状、且不伴脑积水的松果体囊肿患者,其治疗策略尚未明确。
有学者认为,若无梗阻性脑积水或顶盖受压,症状不应归因于松果体囊肿,这类患者宜采取保守治疗。另有观点认为,松果体囊肿可能导致中脑导水管间歇性梗阻或压迫关键神经结构,经过完善的术前评估后,手术切除具有合理性。
因此,INC国际神经外科医生集团旗下组织世界神经外科顾问团(WANG)成员Henry W.S.Schroeder教授(施罗德教授)在论文中分享了无脑室扩大的情况下切除松果体囊肿的经验,要不要手术,手术有哪些并发症,以及如何避免。

长期进行性加重的头痛发作手术后怎么样?
术前(A)及术后(B)正中矢状位MR CISS成像显示:松果体囊肿导致中脑导水管狭窄(箭头所示),但未引发脑积水。术后正中矢状位MR CISS图像(B)显示:囊肿完全切除,中脑导水管通畅。开颅手术范围达横窦(箭头标示)。患者症状完全消失。

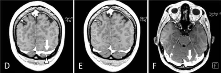
手术入路选择依据
增强T1加权磁共振成像(冠状位D、E,轴位F):左侧优势静脉窦及桥静脉;据此选择静脉窦穹隆更高的右侧入路。

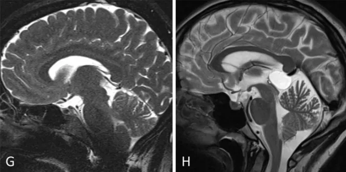
小脑幕倾斜度变异分析:旁正中入路(G)至松果体区的视角轨迹较中线入路(H)更为平缓。

研究显示:大多数患者术后预后良好
据施罗德教授所知,本系列研究是迄今为止针对不伴脑积水的单纯性松果体囊肿接受切除术的最大规模手术病例系列(以该论文发布时间为基准)。大多数患者显示出良好至优异的预后,这与文献报道一致。
研究涉及2003至2020年间共73例松果体囊肿患者接受手术治疗,所有病例均采用显微镜下小脑上-幕下(SCIT)入路。平均随访时间为26.6个月(范围:6-139个月)。
其中62例患者(女性51例,男性11例,平均年龄28.1岁,范围4-59岁)术前未出现脑室扩大。主要临床表现包括头痛、视觉障碍、头晕/眩晕、恶心/呕吐及睡眠障碍。59例(95.2%)患者实现囊肿全切除。根据芝加哥Chiari预后量表评估,62例患者中55例(89%)术后症状获得改善,取得良好或优异疗效,主要症状实现完全或部分缓解。
研究结果表明,即使不伴脑室扩大,松果体囊肿切除术对特定患者群体仍具有手术指征。本系列研究中生活质量受损症状术后缓解率较高,印证了手术治疗的价值。术前需严格排除其他可能导致主要症状的病因。
本系列患者均未出现脑室扩大,这表明无脑室扩大和/或无顶盖受压导致的视觉障碍并非手术禁忌症。因此,对于存在提示可能为颅内压一过性增高的主要症状、但无脑室扩大的患者,不应一概拒绝手术干预。
松果体囊肿手术,还是不手术?
松果体囊肿很少引起症状。它们通常被认为是偶然发现,常在因头痛进行检查时被识别。在大多数情况下,它们并非症状的原因。根据文献,大的松果体囊肿被认为是有潜在症状的病变,可能因压迫中脑导水管导致脑室扩大,或因压迫顶盖导致中脑背侧综合征。
因此,关于如何处理无明显颅内高压体征或症状性占位效应的松果体囊肿患者的讨论仍在继续。有一些病例系列研究描述了不伴脑积水或顶盖受压的松果体囊肿的手术结果。Kalani等人报道,18例接受松果体囊肿切除术的患者中,有17例(94.4%)的现有症状得到缓解或改善。作者认为,无脑室扩大和中脑背侧综合征并非手术干预的绝对禁忌症。
然而,我们必须明确指出,大多数松果体囊肿是无症状的且无需治疗。对于此类良性病变,考虑到手术入路的潜在风险,在决定手术切除前应对患者进行彻底检查。尽管如此,我们相信我们的结果表明,在经过严格筛选后,手术可以作为一种选择,为一小部分松果体囊肿患者提供显著缓解症状和改善生活质量的可能性。
手术入路如何选择?
幕下小脑上(SCIT)入路是一种经自然通道的脑实质外入路。替代方案可能包括枕部经幕入路(OTT)和枕部双幕/镰旁入路,或者仅在脑室扩大的情况下采用额部内镜入路。我们不建议采用OTT入路,因为松果体囊肿位于小脑幕和静脉下方。
为何要选择从上方向下进入并需要切开小脑幕?
此外,OTT入路存在术后偏盲的风险。也有报道描述纯内镜SCIT入路。然而,在我们采用的微创旁正中入路中,手术通道狭窄,使用内镜无法进行不受限制的手动剥离。
此前有建议为了保留褪黑素分泌功能而残留少量松果体组织,但我们通常进行囊肿全切除。我们仅观察到少数暂时性睡眠问题,并通过短期褪黑素替代治疗得以解决。此外,并未证实残留的小片囊肿组织能发挥正常的生理功能。
结论
迄今为止,关于不伴脑积水的松果体囊肿手术治疗的科学信息有限。施罗德教授等认为,对于经过选择的患者,即使不存在脑室扩大,也可以进行松果体囊肿切除术。
本系列研究中,导致生活质量下降的症状在术后得以缓解的比例很高,这表明松果体囊肿切除术具有良好的指征。术前必须排除导致主要症状的其他病因。中脑导水管的间歇性梗阻可能导致颅内压增高,从而引起间歇性症状。
此外,松果体囊肿压迫深部静脉结构可能导致的静脉高压,也可能是症状的原因。然而,由于缺乏可靠的预测因子,决策过程仍然困难。目前尚无充分的科学证据支持将该技术普遍推荐作为头痛和其他非特异性症状的治疗方法。
- 文章标题:松果体囊肿怎么治疗?长期头痛难忍,选择手术的他怎么样了
- 更新时间:2025-11-06 10:25:50
400-029-0925


