“妈妈,我头又痛了,眼睛好像也看不清了……”当10岁的女儿豆豆一次次说出这句话时,李女士再也坐不住了。脑部检查结果出来,医生指着片子上大脑深处的一个小阴影说:“这里长了个东西,13毫米,像个‘水泡’,这是囊肿,先观察吧。”
此刻,李女士期盼的是如果这个囊肿消失了该多好!
松果体囊肿会自己消失吗?
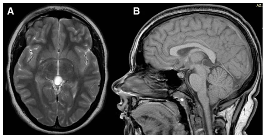
谁也想不到,宝贝女儿偶尔喊头痛、怕光、看不清,原因竟是脑子里面生病了。MRI检查显示豆豆的松果体区存在一个直径13毫米的囊肿(图1)。

图1首次脑MRI,显示一枚直径13 mm的松果体囊肿(见箭头)。
“虽然是囊肿,但位置很深,手术风险大。”医生的话让李女士一下就懵了。
“好在症状不重,也没有脑积水,可以先观察。”
焦虑、不安,一家人与这个良性囊肿的抗争。每一次随访前,李女士都紧张得睡不着觉:“就怕听到‘长大了’三个字。”
在随访期间,豆豆症状也没有恶化,囊肿没长大也没消失。就在家人渐渐放松警惕时,豆豆的头痛发作却越来越频繁,且越来越严重。
复查核磁共振时,医生的眉头微微皱起:“囊肿长到16毫米了(图2),虽然只大了3毫米,但结合症状加重,我建议手术。”

图2术前MRI,3年后复查,囊肿略增大(直径16 mm)。
术后过程平稳,豆豆仅出现了短暂的视力模煳,24小时内就自行恢复了。病理检查提示为松果体囊肿,周围包绕一层毛细胞样胶质层。术后6个月随访,豆豆头痛无复发,恢复良好。

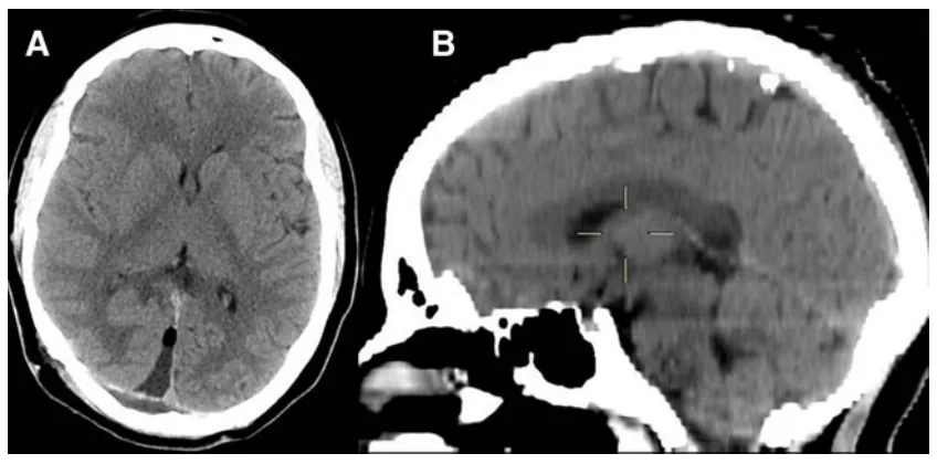
图3术后即刻CT证实囊肿已完整切除。由于右枕叶牵拉,手术入路通道仍清晰可见(a)。
INC国际儿童脑瘤大咖、世界小儿神经系统知名杂志《Child´s Nervous System》现任主编Concezio Di Rocco教授等发表研究《Pineal cysts in children:case-based update》,上述案例正来于此。

松果体囊肿症状?一定要手术吗?
松果体囊肿(PC)的临床表现,从无症状至猝死均可出现。不同文献所报告的症状与体征差异显着。头痛在儿童与成人中均为最常见症状。夜间头痛与褪黑素缺乏之间的关联已被提及,但部分病例的头痛与松果体囊肿可能仅为偶然并存。头痛多呈慢性隐匿起病,但突发或急性加重并非罕见。部分患者可出现剧烈额部或枕部头痛,并合并凝视麻、视野缺损、听力下降、恶心呕吐甚至晕厥。
儿童松果体囊肿的其他可能表现包括动眼神经麻、Parinaud综合征、嗜睡、步态异常、眩晕、视力障碍、厌食、轻偏瘫、癫痫、恶心呕吐、心动过缓及视乳头水肿。若囊肿压迫并闭塞中脑导水管(Sylvius水管),可继发梗阻性脑积水。松果体囊肿卒中或囊内出血虽少见,却可因急性脑积水导致猝死。
囊肿大小与症状发生的关系仍存争议。通常无症状囊肿直径<10 mm,或至多10–20 mm;而有症状囊肿多>20 mm,但已有直径仅7 mm却出现症状的病例报道。
此外,松果体囊肿曾被偶然发现于视网膜母细胞瘤、性早熟、特发性嵴柱侧弯、静止性震颤、Aicardi综合征、婴儿痉挛及热水诱发癫痫等病例中。尽管有推测认为松果体囊肿与双相情感障碍相关,但基于松果体体积的MRI研究未能证实二者存在确切关联。同样,松果体囊肿与内分泌功能异常的关系似乎亦为偶发,因相关内分泌紊乱在囊肿切除后并无改善。
与成人相比,儿童松果体囊肿不仅患病率更高,且出现神经系统体征的概率随年龄增长而上升,因此更易被纳入手术队列。Concezio Di Rocco教授认为,一旦患儿出现临床症状或影像显示囊肿进展,即应考虑手术;而无症状者则应严密随访直至成年。
- 文章标题:“妈妈,我头又痛了,眼睛好像也看不清了……”松果体囊肿会自己消失吗?
- 更新时间:2025-10-12 14:44:06
400-029-0925


