
考试前夕,因压力导致的头痛等身体不适很常见,但家长绝不能掉以轻心——有些症状背后,可能隐藏着更严重的疾病。那些看似微小的概率,落在任何一个家庭身上,都是百分之百的沉重。
他叫小波,今年14岁,在中考临近倒计时100多天的时候,在一次体育锻炼后突发身体麻木,随后被诊断出“脑干海绵状血管瘤”。这个大多数人从未听过的疾病,瞬间击碎了少年平静的生活。好在,及时手术的小波,病灶得到完全切除,术后无新发神经功能损伤。

对于青少年患者来说,治疗不仅是挽救生命,更关乎他们漫长的人生。许多青少年肿瘤治愈率较高,但治疗必须兼顾生长发育、未来生存质量,甚至成年后的如常生活与工作。每一个医疗决策,都影响着他们的一生。
曾经摆在父母面前的选择残酷而艰难:
“如果做完以后孩子状态没有现在好,你说怎么选?”孩子唯一能继续灿烂活下去的机会就是手术,只要安全全切,可以回归正常生活,但脑干手术风险太大,未来不可预知。
不切,夏花般的生命面临着随时脑干出血的巨大风险。
做出选择很简单,难的是每一次选择背后所要付出的代价。
面对孩子的情况,父母永远是无法言说的心痛,但是救孩子这件事不容耽搁。
这是一个孩子,14岁,在治病的同时,未来的生活质量也很重要。
是咬牙挺过考试,还是立刻手术?这种病就像脑干里的“不定时炸弹”,随时可能再出血!最终,他们做了一个大胆的决定……选择从山东,赶赴苏州,只为了给孩子争取好好活下去的机会。又是什么促使他们做出这个决定?
中考冲刺突发怪病,身体麻木竟是“脑干炸弹”作祟
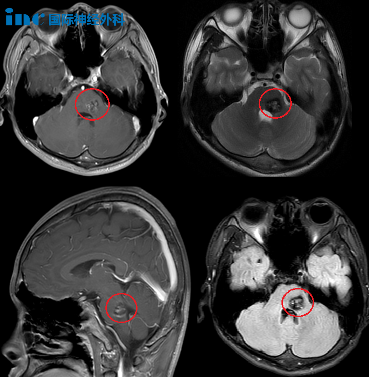
2024年2月,正全力备战中考体育测试的小波突然出现右腿麻木,很快蔓延至整个右半身。核磁共振结果显示:脑干海绵状血管瘤并出血。这不是肿瘤,而是一团脆弱的异常血管,随时可能破裂。更危险的是,它长在控制呼吸、心跳的“生命中枢”——脑干。
▼病灶位于桥脑左侧,并且与桥臂的交界处,病灶大,位置深。

多处求医,医生给出两难选择:保守观察,赌它不再出血,但下次出血可能会更严重;立即手术,又可能面临会产生面瘫、右耳听觉丧失,共济失调等。一边是准备了多年的中考,一边是生死攸关的手术,14岁的少年该何去何从?
“健康没了,成绩还有什么意义?”
全家人开始疯狂查资料、咨询病友,最终锁定“国际脑干大咖”——INC巴特朗菲教授。他们深知:不抓住这个时机去主动选择,拖到后面,如果再次出血,只能陷入被动的局面。
为了让全家每一个人都有充分的机会去了解这个事情,更好的提出自己的建议,给孩子能够得到更好地治疗。因此,远程视频之前,小波父亲再三强调,“我们要全家参与,都听了之后,一家人一起讨论要不要做手术。”最终,全家下定决心:暂别课堂,先保健康!

“我们就是奔着您来的!”2024年4月11日,苏州大学附属第四医院手术室外,小波的父亲,正焦急地等待着儿子的好消息。终于出来了!当远远的看到巴教授走来,一家人立刻飞奔而来。当听到巴教授说:“一切都很顺利!"他们的担心焦虑也化为激动、感恩。“谢谢!谢谢!”父亲此刻眼含泪水,这一台示范手术帮他们解决了心头大患,孩子顺利渡过难关。小波状态良好、说话、肢体活动都正常,也重返校园。
小波术后15个月随访肢体灵活,未见面瘫及展神经功能障碍:

脑干海绵状血管瘤并发静脉畸形需要处理吗?
脑干海绵状血管瘤的静脉畸形到底需不需要处理?这个是医生还有患者都会关注的问题。

INC巴教授也曾多次在学术会议上强调过脑干海绵状血管瘤周边静脉是否需要处理的问题——2022年,巴教授中国行期间,受邀参加第一届独墅医帜神经外科论坛(颅底解剖培训斑)暨江苏省医学会/医师协会神经外科颅底学组研讨会,围绕“脑干海绵状血管瘤的手术”做课程演讲,分享了其30多年脑干手术手术经验和300多台脑干海绵状血管瘤成功案例,其中就脑干海绵状血管瘤周边静脉是否处理做出了回答。

研讨会讨论片段截取:巴特朗菲教授现场画图答疑脑干海绵状血管瘤周边静脉是否要处理?风险如何?脑干深部有大的引流静脉吗?——最简单的草图画出了超高难度手术技巧和理念。有的手术理念认为肿瘤周边引流的血管清理干净,才能更彻底根除,但是实则每一根的小血管都有它的责任和使命、如果过度切除凝固血管就容易有过犹不及的神经严重损伤。
脑海绵状血管瘤伴随的畸形扩张静脉,一般都是重要引流静脉,除了是肿瘤的引流静脉之外,同时引流着周围正常脑组织的血液回流,在手术对该静脉的保护是非常重要,是避免术后并发症的重要环节,也对术者有着丰富的手术经验和技术要求。
中外专家联手破局,国际学术交流惠及海内外患者
小波是无数满怀希望、跨越千里求医的神经外科疑难病患的缩影,是中外专家齐心协力、不负重托解病人之难的代表,但是,他们又不仅仅是一个缩影,特殊之处又令人难忘:从最初的无助、寻求帮助、焦虑等待,直至信任巴教授,最终顺利手术,所幸的是,他们成功了!转头回望来时路,“轻舟已过万重山”,但只有我们自己知道,这一路经历了怎样的惊心动魄。
在INC搭建的一座座交流的学术桥梁上,中外专家联手破局,不仅是在救治一个个患者……多年来,巴特朗菲教授收到过来自欧洲、中东、北非以及日本、中国、韩国、新西兰等的40多个国家和地区的学术邀请,进行技术交流及经验分享。

他说:“我的主要工作在德国,但我在许多医院工作,也在其他国家。”越来越多的中外专家将碰撞出智慧的火花、结出更多合作的果实。在学术交流之中,巴特朗菲教授从不吝啬传授自己的精湛技巧。他相信一台台示范手术,技艺“心手相传”,青年医师也定能奋勇不懈攀登神经外科之高峰……
敬请期待巴教授即将开启的夏季中国行!

400-029-0925




