摧毁一个家长有多简单?
儿童脑干胶质瘤,DIPG-----是指弥漫性内生型桥脑胶质瘤,是位于脑干中的一种致命性肿瘤。弥漫性意味着肿瘤的组织并不完善,会使癌细胞与健康细胞混合在一起,通过外科手术可以切除DIPG肿瘤,难。而脑干有控制平衡、呼吸、膀胱等至关重要的功能,因此这种肿瘤的存在,可能会带来较为危险的后果。
其实,脑干桥脑位置除了DIPG外,还有背侧外生型脑桥胶质瘤等。脑干肿瘤是跨越脑干中脑、脑桥、延髓区域并可压迫小脑、颈髓等的一组异质性肿瘤,脑干肿瘤占儿童颅内肿瘤的10%-20%,占成人颅内肿瘤的1.5%~2.5%,脑干胶质瘤是较常见的病理类型,其他包括海绵状血管瘤、转移瘤、成血管细胞瘤、淋巴瘤等。

图1.基于MRI的脑干胶质瘤分型A.外生型;B.局灶内生型;C-E.弥散内生型脑干胶质瘤伴有局灶强化和高代谢;F-H.弥散内生型脑干胶质瘤无局灶强化和高代谢(C、H为11C-METPET-CT影像);I.顶盖胶质瘤;J.导水管胶质瘤.不同型治疗或预后会有差别。图自脑干胶质瘤咨询共识
当面对这一国际难题时,INC国际儿童神外教授Rutka在此有多项国际前沿研究,还为中国的疑难脑瘤患者进行远程咨询、答疑解惑。

9岁女孩脑干弥漫高级别桥脑胶质瘤
进展迅速,的治疗方案有什么?
9岁女孩,有1个月的短暂呕吐、单眼斜视、嗜睡和头痛病史。当地医院对其进行了多项检查,诊断为脑干病变和梗阻性脑积水。核磁共振扫描显示,弥漫性脑干病变累及延髓、脑桥和中脑下部。四脑室受到压迫,导致幕上脑积水。脑积水V-P分流治疗后行走和运动有所好转,但仍有一些凝视异常。

立体定向活检,病理结果显示如下:儿童弥漫性中线胶质,伴H3K27改变,WHO4级。鉴于其30%的高Ki67指数,其生长速度相当快。

得知结果的患儿父母虽然万分绝望,但是还是不忍放弃一线生机,努力为孩子寻求着国际前沿的治疗方案。而在多方查询后,他们选择了咨询国际儿童神外教授——INC国际神经外科顾问团成员、加拿大SickKids儿童医院脑瘤研究中心主任、国际神经外科杂志《Journal of Neurosurgery》主编James T.Rutka教授,目前患儿该采取何种治疗方案?有相关的临床试验吗?有的药物治疗方案吗?
INC加拿大Rutka远程评估结果
1、根据目前的资料,教授考虑的诊断是什么?的治疗方案是什么?
根据所提供的信息,患儿的肿瘤属于弥漫性内生型脑桥胶质瘤(DIPG),但病变范围更大,累及延髓和中脑,并延伸到脑桥以外。这导致中脑导水管阻塞和脑积水的发生,而脑积水通常是与DIPG相关的后期并发症。
不建议进一步手术切除肿瘤,这也是无法做到的。这个阶段需要进行放射治疗。两种较佳选择是传统的三维适形体外放射治疗和质子束治疗。质子疗法的优点是能精确地进行放射治疗,而不会对周围的正常结构造成损害。然而,质子疗法是否适用于DIPG还需要在今后的临床试验中加以验证。早期结果表明,质子束疗法使用顺利,但并不优于传统的三维适形体外放射疗法(《儿童神经系统》2020年36期:507-512页)。不建议使用其他类型的放射治疗,如直线加速器(LINAC)或伽玛刀放射手术。放射治疗应在现在或未来1-3周内开始。
不过,一旦完成放射治疗,并在放疗后再次进行核磁共振成像检查,就有可能重新考虑手术的作用。
2、根据目前的影像和病理结果,教授有没有的药物和新型治疗方法?ONC201这个靶向药物是否合适?
目前,较重要的治疗是放疗。我不建议此时使用任何药物疗法;这些疗法可以保留到放疗完成后再使用。ONC201是一种正在进行DIPG临床试验的相对较新的药物。它是一种提出的小分子依米立酮,可选择性地与G蛋白偶联多巴胺受体D2(DRD2)和线粒体蛋白酶ClpP结合。目前,该药物可单独使用,也可与其他多种药物(如paxalisib)联合使用,在放疗结束后用于治疗DIPG。
3、加拿大有没有适合孩子入组的临床试验?如果我们准备去加拿大治疗,较快什么时候可以开始治疗?
在加拿大,我们使用ONC201治疗DIPG,因为它是一种相对顺利的药物,副作用很小。在我们中心,我们还使用磁共振引导聚焦超声(MRgFUS)和(doxorubicin)多柔比星(阿霉素)治疗DIPG。MRgFUS用于打破血脑屏障(BBB),从而增加化疗对脑桥目标部位的渗透。到目前为止,我们已经用这项技术治疗了5名患儿,在我们的一阶段顺利性和可行性研究中,患儿对这项技术的耐受性良好。放疗结束约4周后,我们的试验开始报名。放疗开始后大约需要6周时间完成。参加我们的研究有具体的资格要求,之后再讨论。有关全部DIPG研究的更多信息,请家属访问以下网站:https://dipg.org/该网站列出了全部正在进行的DIPG研究(包括我们的研究)。

Rutka教授远程回复节选
DIPG的临床试验汇总
具体临床试验项目见下图汇总



儿童神外教授Rutka教授
脑干桥脑儿童瘤种及相关治疗解读
James T.Rutka教授在其发表于Springer Nature Switzerland AG 2019上的《Brainstem Tumors in Children》文章中详细阐述了中脑肿瘤、脑桥肿瘤、延髓肿瘤等不同类型儿童脑干肿瘤的临床症状、诊断方法、分型、治疗办法及预后等,可为国内外的小儿脑干肿瘤患者治疗提供国际标准的参考。本文则介绍脑干脑桥区域多发的儿童瘤种及相关的治疗解读。
脑桥肿瘤:儿童脑桥肿瘤通常是恶性程度不同的胶质瘤,主要分为弥漫性内生性脑桥胶质瘤(DIPG)、背侧外生或局灶性脑桥肿瘤,主要基于神经放射学表现。在这里,我们将主要介绍DIPG和背侧外生性脑桥胶质瘤。
弥漫性内生性脑桥胶质瘤DIPG
1、定义:弥漫性内生性脑桥胶质瘤(DIPG)约占全部脑干肿瘤的70%,使其成为较常见的脑干瘤种。通常,这些病变是高级别肿瘤,尽管进行了各种治疗,但大多数儿童在诊断后2年内死亡,总体生存率低。DIPG的性别发病率相等,大多数儿童在诊断时年龄在5至10岁之间。是重要的是,儿童DIPG的分子遗传学现在了进一步的研究发现得到,新的基因遗传途径被发现为该肿瘤发生的驱动因素,包括ACVR1、H3K27M、PDGB和其他(图2)

图2:分子遗传特征示意图DIPGs。DIPG的主要遗传驱动因素包括MYCN、ACVR1、H3K27M、PDGFRA和PAX3,其中其他(改编自Misuraca、Cordero和Becher,Front Oncol 2015)
2、临床症状:通常会迅速出现相关的临床症状,包括颅神经功能缺损(例如,面部神经麻痹、6颅神经麻痹引起复视)、锥体束征和共济失调。脑积水可能导致头痛和颅内压增高综合征,但这通常是疾病过程中的晚期表现。
3.诊断方法:DIPG的诊断常常通过MRI进行。通常,脑桥弥性扩大,占脑干该区域的50-75%或更多。可能有外生成分,是腹侧。增强后可能会有强化,但通常是斑片状的,合并脑桥弥漫性肿胀。有时,基底动脉可能完全被肿瘤覆盖(图3)。其他MR序列和技术已用于DIPG,包括显示较低的平均总胆碱浓度的磁共振波谱成像(MRS)和弥散张量成像(DTI),但这些在评估病变的神经病理学特点以及结局方面并未被证明是可靠的。

图3:一名14岁男孩的MRI扫描,他有短暂的复视、共济失调和左侧面瘫。(a)轴向FLAIR MRI显示高信号占据整个脑桥(箭头)。(b)矢状T2 MRI显示DIPG使脑桥范围受累(箭头)
4.临床分类:对于患有DIPG的儿童,临床没有一致的疾病分期标准。随着疾病的进展,可能会通过软脑膜播种转移到大脑的其他区域或脊髓轴。
5.治疗方法:对于多数患有DIPG的儿童,直接手术可能没有作用。此外,多年来,通常的做法是不对MRI可以明确肿瘤为典型DIPG的儿童进行病理活检手术,避免额外的神经损伤。影像MRI明确诊断为DIPG的儿童建议及时进行放射治疗,包括使用IMRT调强放疗或超分割放射治疗。现在已经进行了许多临床试验来评估化疗在DIPG中的作用。化疗药物如长春新碱,洛莫司汀,泼尼松,顺铂,环磷酰胺,依托泊苷和他莫昔芬都已尝试过,但效果不佳。
认识到某些DIPG可能具有非典型特征(例如,10岁以上的儿童,脑干受累率低于50%的横向增强肿瘤),一些中心现在为这些患者提供立体定向活检。立体定向活检可以顺利地进行,并可以对新鲜肿瘤标本进行分子遗传学的群体中,有合理的期望发现新的或可靶向的遗传病变。现在正在对患有DIPG的儿童进行一些创新的临床试验。Souweidane及其同事近期发表了他们关于使用对流增强递送(CED)靶向神经胶质瘤相关B7-H3抗原的放射免疫疗法药物以及许多其他靶向药物治疗患有DIPG的儿童的发现。他们已经表明,在已经接受过放射治疗的儿童中使用CED既顺利又可能合适。此外,近期对免疫疗法进行了更进一步的研究。Benitez-Ribas等人使用同种异体肿瘤细胞系裂解物脉冲的自体树突状细胞治疗患有DIPG的儿童。他们表明,该协议会导致明确的免疫反应,并可能成为未来治疗的有希望的支柱。我们近期表明,在实验模型中,使用磁共振引导聚焦超声(MRgFUS)可以增加化疗药物(特别是阿霉素)向脑干的输送。
6、预后及生存质量:尽管进行了强化治疗,但患有DIPG的儿童的预后仍然很差。DIPG仍然存在高度的化疗和放疗抵抗性。儿童在完成放射治疗后通常会保持缓解6-8个月。然而,有一些预兆预后不良,包括诊断时年龄小于2岁、多颅神经麻痹,以及诊断前症状迅速发作。有时,只有通过持续使用皮质类固醇才能提高生活质量;然而,这些应该受到限制,以便儿童不会遭受这些药物的一些可怕的副作用。在提供全部形式的治疗且均失败后,应在肿瘤明显进展时提供姑息治疗。
背侧外生型脑桥胶质瘤
1.临床症状:背侧外生性脑桥胶质瘤约占儿童脑干胶质瘤的20%。它们往往隐匿起病,患者在6-12个月的时间段内报告轻微的症状。一些典型症状包括头痛和呕吐;共济失调、外展或面神经麻痹和斜颈是一些典型的神经系统症状。
2.诊断方法:选择的成像方式是核磁共振。在对比剂增强后,被盖肿瘤通常均匀强化(图4)。他们可以很大体积地占据整个被盖部,并且可因Monro孔闭塞而引起脑积水。

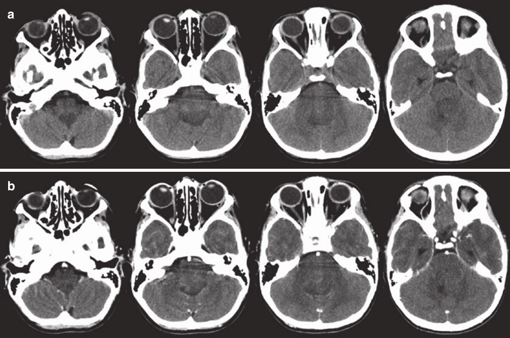
图4:一名12岁男孩背侧外生脑干胶质瘤的CT扫描,有5个月的病史,逐渐加重的肢体笨拙、共济失调和复视。(a)无对比的轴位CT扫描显示填充四脑室的轻微低密度病变。(b)对比剂给药后,病灶呈斑片状、不均匀强化。背侧脑干病变边界没有得到很好地显示
CT扫描仍可用作快速筛查工具。在CT上,这些病变通常是低密度的并充满四脑室。明亮的强化也可能很明显(图20.9)。MRI已成为用于背侧外生性脑干胶质瘤儿童的标准评估工具。在MRI上,可以在背外侧看到周围脑脊液的帽状结构。在腹侧,肿瘤会融入脑干,通常很难确定肿瘤在哪里结束,脑干的功能部分从哪里开始。信号特征为T1序列低信号,T2序列高信号。与弥漫内生型病变相比,T1和T2的肿瘤边缘通常是一致的,而与T1序列相比,T2序列通常有更大范围的信号异常区域。与CT一样,静脉注射造影剂后可见明亮的强化(图5)。

图5:背侧外生脑干胶质瘤的MRI扫描。(a)轴位T1 MRI显示病灶与四脑室底直接相对。(b)轴位T2 MRI显示四脑室中的高信号病变。(c)轴位T1 MRI对比显示病变有些斑片状强化。(d)矢状位T1 MRI对比CT显示肿瘤与四脑室底部的关系,分辨率高于CT
3.临床分类:背侧外生型胶质瘤主要是毛细胞性星形细胞瘤,很少发生间变性、高级别病变或神经节胶质瘤。较一致的生长区域是通过阻力较小的路径,通过四脑室的室管膜。这些病变是局部复发的,很少表现出远处播散或转移的迹象。
4.治疗方法:由于手术技术和神经影像学的现代进步,大多数背侧外生型脑干胶质瘤适合手术切除。而这些病变以前一直被认为无法手术,而如今由于显微神经外科技术的进步,术中神经电生理监测(IONM)和神经导航的出现,背侧外生型脑干胶质瘤越来越能够更好地接近。在标准枕下开颅和硬脑膜打开后暴露四脑室背侧外生型占位后,通过使用超声波抽吸器(CUSA)和双较烧灼逐步切除肿瘤(图6)。术中超声也是判断切除范围的有用辅助手段,术中磁共振iMRI也是如此。需注意不要在四脑室底部的估计平面以下切除肿瘤。IONM的反馈有助于决定何时何地停止神经外科切除术。术后并发症通常以现有术前共济失调、测距障碍、眼球震颤和颅神经功能障碍加重的形式出现。

图6:(a)后颅窝病变的标准中线入路,适用于背侧外生型脑干胶质瘤。患者俯卧位固定(上图),进行小的局部中线剃发。(b)枕部中线暴露进行时要记住两侧横窦的定位。如图所示进行开颅手术。四个钻孔用于准备用于去除颅骨的开颅器。小心识别枕骨大孔的唇部,以免在使用开颅器时造成硬脑膜撕裂。(c)硬脑膜以Y形方式切开并反折,其边缘用钉缝线固定。(d)小脑半球被轻轻,暴露四脑室。显微镜用于切除肿瘤,注意不要在任何时候越过四脑室底部。或者,可以使用经髓帆入路进行肿瘤切除
对于那些已经复发且难以进行进一步的切除手术的患者,可能需要放射治疗。通常,在6周内分30次给予54 Gy。在许多系列中,放射治疗后的肿瘤控制被描述为普遍有利的。如今,随着已知的针对儿童低级别胶质瘤的生物学靶向,背侧外生性脑桥胶质瘤可能适合化疗。过去,卡铂和长春新碱有被使用。现在,随着各种BRAF突变和融合异常的发现,目前正在探索BRAF控制剂疗法。
5.预后/生活质量:背侧外生型脑干胶质瘤中,毛细胞病变的总体5年存活率良好,大多数研究中的存活率约为95%。即使肿瘤大体完全切除也能识别复发,因此5年无进展生存率在54%至72%之间。其他使生存恶化的因素是出现时的颅神经(特别是外展神经)功能障碍和症状持续时间少于6个月。与部分(<总肿瘤质量的50%)切除相比,低级别脑干病变的全切或次全切除已被证明具有更好的结果。背侧外生型病变手术后的长期神经功能通常良好,大多数患者均有所好转。
尽管背侧外生型毛细胞性胶质瘤的预后良好,但较少见的纤维状胶质瘤的预后可能差。各种新的模式正在被研究,包括增强对流和缓流递送化疗药物,放射增敏剂、基因治疗、高压和间质放射治疗。然后,对于这些肿瘤的分子生物学的更深入了解将导致靶向疗法治疗的改进。
INC加拿大James T.Rutka教授然后总结性指出,儿童脑干肿瘤常根据临床表现和磁共振成像(MRI)进行诊断,这有助于将这些肿瘤分为影响中脑、脑桥和颈髓区域的亚组。尽管脑干肿瘤位于关键位置,但现在可以通过多种策略成功且顺利地切除脑干肿瘤,且随着分子遗传学的进展,儿童脑干肿瘤靶向治疗也有很大突破,这都将有助于提高总体生存率并较大限度降低复发率。新的给药方法如CED或MRgFUS,应该有助于增加将靶向治疗浓度用于顽固性病变,例如DIPG。希望这些这些方法将在患有这些损害性因素的儿童中获得越来越大的生存优势。

据悉,Rutka教授曾连续三年任职国际神经外科学院院长,同时还是美洲神经外科学院前院长、美洲神经外科医师协会主席,如今作为国际神经外科杂志《Journal of Neurosurgery》主编,其自身发表了超过500多篇的文章,著有神经外科专著多本,在临床上的研究方向以颅内肿瘤为主,对胶质瘤、纤维瘤、颅咽管瘤、室管膜瘤、松果体区肿瘤等具有多年的临床经验,擅长儿童脑瘤的分子分型研究和综合治疗以及小儿癫痫的外科治疗,包括激光间质热疗(LITT)、清醒开颅术等显微外科手术。
参考文献:James T.Rutka.Brainstem Tumors in Children.Springer Nature Switzerland AG 2019
- 文章标题:脑干脑桥肿瘤有哪些类型?治疗、预后有何不同?INC国际小儿神外Rutka教授发表论述
- 更新时间:2024-02-01 09:06:22
400-029-0925




