

激光间质热疗(laser interstitial thermotherapy,LITT)是一种使用激光的热效应损害靶组织的治疗方式。其基本原理是利用神经外科中立体定向的方式,将一根带冷却循环套管的光纤置入人脑,治疗时将10-15W左右的红外激光通过光纤到达探头,探头将激光均匀的散射出去,从而加热探头周围脑组织,实现消融的目的。目前,国际上常用的LITT系统有两种,分别使用波长为1064 nm和980 nm的激光,脑组织穿透范围在2~10 mm。LITT术中MR使用的快速损害梯度回波序列,成像约8s,并在烧蚀过程中重复运行,以形成实时热图,监测手术过程维持足够的热凝时间和估计组织坏死范围。当估计的不可逆损伤扩展到包括整个需要的消融区域时,便可终止手术。从而大大提高了激光消融的顺利性和准确性。
“孩子年纪太小了,能不做开颅吗”“孩子不久前才做过一次开颅但肿瘤没切干净复发,身体状况不适合再次开颅还有别的方法吗?”。对于不少幸罹患脑肿瘤却因为种种原因不想做开颅手术的孩子父母,都会有这样的疑问。有不开颅就能消融肿瘤的微创手术吗?
其实对于特定的适应症,目前的技术是可以做到不开颅治疗的,上文介绍的LITT技术就是其中之一,而INC国际神经外科顾问团成员、加拿大Sick Kids儿童医院脑瘤研究中心主任Rutka教授在激光间质热疗(LITT)技术方面造诣深厚,是LITT技术的国际开拓者,曾利用LITT技术治疗过无数和他们孩子一样的脑瘤患者,这些孩子不仅顺利消融了脑肿瘤,并且、恢复好,甚至手术后二天就能出院。
这些孩子中有患癫痫每天发作上百次的、有一次开颅失败想要避免再次开颅的、也有过于年幼无法接受开颅手术的,以下这位小患者在经历过一次开颅手术后复发,想要进行LITT治疗,Rutka教授会为她如何评估呢?一起来看看吧!
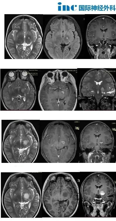
11岁女孩Judy-左侧丘脑和颞叶内侧胶质瘤术后复发
11岁女孩Judy,由于整整1年的发育迟缓,2020年,父母带着Judy去看儿科医生,对于身高停止增长的问题,儿科医生建议她做脑部CT,问题果然出在脑袋上。医生在Judy脑袋的左侧鞍旁发现了占位性病变。
手术治疗后病理结果显示:毛细胞型星形细胞瘤,WHO I级。
这样的病理结果让一家人都很开心,意味着孩子可以健康长大。
然而术后,Judy出现了视野缺损,直到现在也没有任何好转。
术后Judy定期接受核磁共振对比检查。

然而,2022年,复查MRI发现左侧丘脑微小异常信号,手术的医生建议服用靶向药物或化疗,但当时没有采取任何治疗措施,只是继续通过复查核磁共振进行观察。
2023年,再次复查MRI显示病灶明显增大,于是他们再次咨询了之前的手术医生。医生还是建议服用靶向药物。
但,靶向治疗3个月后复查MRI显示病灶进一步增大和强化。

再次开颅风险太大?药物治疗又没合适果?出路到底在哪里。疯狂查阅关于儿童脑瘤治疗的国际治疗,Judy父母注意到近几年有一种新技术正在运用于儿童脑肿瘤,这项技术叫LITT。
在查阅无数关于LITT技术的时候,一个频繁被提起的名字吸引了她的眼球——James T.Rutka教授,INC旗下国际神经外科顾问团(WANG)的专家成员、国际神经外科学院前主席、SickKids脑瘤研究中心主席,Rutka教授在儿童脑瘤的治疗领域拥有着较高的声誉。而他所在的SickKids医院更是儿童医院。

阅读了大量Rutka教授对于LITT技术的研究论文,Judy父母越发相信自己找到了治疗Judy的希望,于是电话咨询了INC国际神经外科联系上了Rutka教授,Rutka教授为孩子的病情做了详细的评估,教授表示治疗Judy的肿瘤,可能适合进行LITT手术。
“LITT是治疗这种肿瘤的一种合理而温和的方法”
Rutka教授回复详情
1.肿瘤的位置和尺寸是否做这个LITT手术?如果合适,现在是不是较佳时期?在哪里做?要到多伦多sickkids医院吗?
Rutka教授:残余肿瘤可能适合进行LITT手术;考虑进行LITT手术的较佳时机是在进行了合理的化疗试验之后。在接下来的1-2个月,应继续使用曲美替尼进行化疗,并重复影像学检查。希望能显示肿瘤缩小或肿瘤稳定。然后,在确定化疗疗程并重复神经影像学检查6个月后,可决定是否进行LITT手术。但是,如果肿瘤在服用曲美替尼期间继续生长,则可以考虑提前进行LITT。目前,LITT可在Sick Kids医院进行。
2.您有没有做过相同或相似位置的LITT手术?或者您知道有任何其他擅长肿瘤生长位置的LITT手术的神经外科医生吗?
Rutka教授:在Sick Kids医院,我们经常为儿童的下丘脑错构瘤和其他类型的低级别胶质瘤进行LITT手术。
3.可能的风险或后遗症是什么及发生的概率是多少?
Rutka教授:如果需要,LITT是治疗这种肿瘤的一种合理而温和的方法。可能出现的风险或后遗症包括右侧肢体无力、出血、感染和复发。复发率取决于LITT对病灶的清除程度。
4.如果手术,术后一般多久能出院?还需要后期的靶向药或化疗吗?
Rutka教授:LITT手术后,大多数儿童可在2-4天后出院。患儿通常都能很好地耐受。根据我们的经验,LITT术前需要使用地塞米松。将来如果有残余肿瘤,可以再次使用靶向药物或化疗。

Rutka教授部分回复截取
LITT相较于传统开颅手术具有的优势有哪些?
1准确定位病灶
术中MRI技术全程引导,准确定位病灶,避免了对周围健康组织的伤害。该技术利用术中磁共振能够对毁损过程进行全程实时监测,不但能够通过磁共振清晰地辨别出病灶与周围正常脑组织的位置关系,还能在正常脑组织处设置温度预警点。一旦消融范围超过在系统中设计好的区域,系统监测边界温度升高到预警值则立即自动停止热疗,使消融的区域完全控制在先前计划好的范围内。
2微创并发症少
该技术使患者避免了开颅,通过一个约3mm的手术切口使探针通过头皮与颅骨进入到指定的脑组织深部,“热消融”过程时间短,减少了对患者的损伤,使患者在接受治疗后恢复更快,术后很短的时间就可以出院,回归正常生活。
3治疗时间短
平均LITT时间为2.9小时,大多数患者可二天回家,并可迅速恢复正常活动。而传统开颅手术病人需住院5-6天,然后恢复数周。是在儿科人群中,减少住院时间对于尽量减少心理影响和对儿童生活的干扰具有重要意义。

4顺利
在毁损范围与毁损温度都可控的前提下,LITT能够充分保护病灶周围脑组织。由于其没有电离辐射暴露,在进展的情况下,LITT可以重复。LITT还可以减少对其他形式治疗的需要,如放疗或化疗,从而消除其他潜在的副作用风险。
5适用范围广
可以被用于治疗癫痫,也可用于治疗下丘脑错构瘤或其他局灶性脑部病变。

LITT手术流程是怎么样的?
LITT手术流程主要包括三个部分:术前准备、术中手术、术后恢复。
一、术前准备:考虑LITT治疗的患者仍需要在癫痫中心进行多方位评估。该测试可以准确找出癫痫发作的开始位置以及该区域是否可以顺利移除。一旦找到该区域,就会安排该人在手术室环境中进行手术。

Rutka教授及团队LITT手术准备中
二、准备工作完成,手术中医生将对患者进行以下操作:
1.仍然使用全身麻醉。
2.在头皮上做一个小切口,然后在头骨上做一个小孔(铅笔大小)。
3.MRI在手术室(或附近的不同房间)进行,以绘制出要治疗的确切区域。
4.使用MRI引导带有激光探头的小(2毫米)管穿过颅骨中的小孔到达癫痫病灶。
5.该程序升温并损害目标区域。
6.计算机程序会检查附近大脑区域的温度,以保护它们免受热损伤。
7.手术后,关闭骨头上的小孔和皮肤切口。

术中核磁共振监测下的激光消融全程热成像图
三、术后恢复:手术后,患者通常只在医院呆一两天就可以回家了。通常术后患者在3到7天内恢复正常活动。
国际LITT疗法先行者Rutka教授
上文解答中多次提到的Rutka教授正是INC旗下国际神经外科顾问团(WANG)专家成员之一,作为别的儿童脑肿瘤教授,James T.Rutka教授对胶质瘤、纤维瘤、颅咽管瘤、室管膜瘤具有多年的临床经验,擅长激光间质热疗(LITT)、清醒开颅术及显微手术。目前的研究重点为儿童脑瘤和癫痫的外科治疗。

加拿大James T.Rutka教授
国际神经外科学院院长(2011-2014)
美洲神经外科学院院长(2012)
美洲神经外科医师协会主席(2010-2011)
国际神经外科杂志《Journal of Neurosurgery》主编(2013年至今)
多伦多大学外科学系教授、系主任(1999年至今)
多伦多大学儿童病院、亚瑟和索尼亚拉巴特脑瘤研究中心主任(1998年至今)
加拿大勋章(Order of Canada,2016年)
“国际微笑勋章”(International Order of Smile)(2006年)
由于只有北美的两家供应商能提供LITT技术所需的硬件设备和软件服务,且其需要神经内科、神经影像学、护理和神经麻醉专家之间的跨学科合作,目前LITT技术仅在部分发达国家的医学中心被熟练地运用。
而Rutka教授所在的SickKids医院正是国际上较早一批引入该技术的儿童医院,这所北美前三的医院拥有来自卫生保健和研究各个学科的人员,在LITT技术的国际先行者——James T.Rutka教授的带领下已为众多脑瘤和癫痫患儿行此微创治疗,并成功为他们缓解病痛。
值得一提的是,飞赴加拿大SickKids医院接受激光间质热疗所需的费用相对而言并不是特别高昂,这也为国内脑肿瘤患者提供了一个性价比更高的治疗手段。国内脑肿瘤或癫痫患者需寻求国际前沿LITT治疗,可通过INC国际神经外科咨询Rutka教授的国际远程咨询,获取他关于病情的前沿治疗方案和手术评估意见。拨打400-029-0925或扫码添加INC医学顾问可咨询详细流程和所需资料。
- 文章标题:胶质瘤复发可以不开颅手术吗?国际儿童神外教授Rutka教授怎样答疑?
- 更新时间:2024-01-29 10:53:22
400-029-0925




