脑胶质瘤作为一种侵袭性较强的恶性肿瘤,常常会“恶作剧”般地突然折返,让人措手不及。这是由于肿瘤与周围浸润组织的界限不清,因此难以彻底地清除肿瘤残余组织,导致术后复发的风险较高。
同时,脑胶质瘤还比较“恋家”,复发既可单发,也可多发,大部分的复发病灶局限在其原发灶周围2cm处。
不过,脑胶质瘤的复发症状一般与初发时症状类似。因此,脑胶质瘤的复发其实有迹可循。
复发“预兆”:哪些症状有提示?
1、颅内压增高:
头痛、头晕、呕吐、视物模糊、复视等症状与脑胶质瘤初发时症状类似,都是颅内压增高的表现。头痛多为额颞部或枕部跳痛或胀痛,多发生于清晨,开始为间歇性,随着肿瘤的发展,头痛逐渐加重,持续时间逐渐延长,严重者可发生昏迷。
此外,这些症状与肿瘤生长部位也相关。比如多数患者在仰卧时头痛、视物模糊、恶心的感觉加重,俯卧时减轻,或者保持某一种姿势可以缓解不适。一旦有这些症状出现,也需及时引起警惕,尽早就医检查。
2、局灶性损害:
由于脑组织受到脑胶质瘤瘤体压迫、浸润、破坏,相应功能区域会出现障碍体征,如四肢活动障碍、偏瘫以及认知功能障碍等,少数患者同时还伴有精神症状,如记忆力下降、注意力不集中、精神淡漠、言语减少等。
如果以前从未出现过这些局部症状,或者虽然有症状,但是最近有逐步加重的趋势,那么也可能提示着病情加重或者复发。
3、癫痫:
约有30-80%的脑胶质瘤患者会诱发癫痫。因此,如果从未出现过癫痫症状,或者癫痫控制较好的情况下再次复发癫痫,且发生频率较高、伴随头痛、头晕、视力模糊等症状,那么也需提前引起注意。
4、影像学检查时在原发灶附近发现异常信号:
脑胶质瘤患者术后需要多次前往医院复查,其中影像学检查是必不可少的。一旦在初次手术区域或边缘部位出现环形或结节状不规则团块状占位或信号,无论是否伴有水肿,均需提高警惕,建议进一步检查明确是复发还是肿瘤的假性进展。
5、组织液检查时,ctDNA异常增多:
如果在组织液中检测出一定数量的ctDNA,那么极有可能提示脑胶质瘤复发。目前研究显示,ctDNA在分子水平发现脑胶质瘤复发较影像学检查早。
LITT:不开颅也能消融胶质瘤吗?

在之前的文章中,我们已经介绍了有关LITT的相关优势,LITT是一种使用激光的热效应破坏靶组织的治疗方式,其基本原理是利用神经外科中立体定向的方式,将一根带冷却循环套管的光纤置入人脑,治疗时将10-15W左右的红外激光通过光纤到达探头,探头将激光均匀的散射出去,从而加热探头周围脑组织,实现消融的目的。
目前,国际上常用的LITT系统有两种,分别使用波长为1064 nm和980 nm的激光,脑组织穿透范围在2~10 mm。
LITT术中MR使用的快速破坏梯度回波序列,成像约8s,并在烧蚀过程中重复运行,以形成实时热图,监测手术过程维持足够的热凝时间和估计组织坏死范围。
当估计的不可逆损伤扩展到包括整个需要的消融区域时,便可终止手术,从而大大提高了激光消融的安全性和准确性。
这也就意味着,LITT是一种不用开颅就可实现肿瘤消融的新技术。而INC世界神经外科顾问团(WANG)成员、加拿大Sick Kids儿童医院脑瘤研究中心主任Rutka教授在LITT技术方面造诣深厚,是LITT技术的国际先行者,曾利用LITT技术治疗过无数胶质瘤患者,不仅安全消融了脑肿瘤,还做到了既快又好的恢复,甚至术后第二天就能出院。

加拿大James T.Rutka教授
世界神经外科学院院长(2011-2014)
美洲神经外科学院院长(2012)
美洲神经外科医师协会主席(2010-2011)
国际神经外科专业知名杂志《Journal of Neurosurgery》主编(2013年至今)
多伦多大学外科学系教授、系主任(1999年至今)
多伦多大学儿童病院、亚瑟和索尼亚拉巴特脑瘤研究中心主任(1998年至今)
加拿大勋章(Order of Canada,2016年)
“国际微笑勋章”(International Order of Smile)(2006年)
Rutka教授:LITT治疗11岁女孩胶质瘤复发
2020年,11岁女孩Judy出现整整1年的发育迟缓,父母带着Judy去看儿科医生,对于身高停止增长的问题,儿科医生建议她做脑部CT,问题果然出在脑袋上:医生在Judy脑袋的左侧鞍旁发现了占位性病变。
手术治疗后病理结果显示:毛细胞型星形细胞瘤,WHO I级。这样的病理结果让一家人都很开心,意味着孩子可以健康长大。
术后Judy定期接受核磁共振对比检查,但却出现了视野缺损,且没有任何好转。

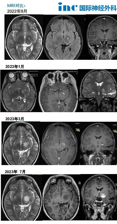
术后MRI对比
2022年,复查MRI发现左侧丘脑微小异常信号,手术医生建议服用靶向药物或化疗,但当时没有采取任何治疗措施,只是继续通过复查核磁共振进行观察。
2023年,再次复查MRI显示病灶明显增大,于是他们再次咨询了之前的手术医生。医生还是建议服用靶向药物。但是,靶向治疗3个月后复查MRI显示病灶进一步增大和强化。

于是Judy父母远程咨询了INC国际神经外科专家团成员Rutka教授,Rutka教授为孩子的病情做了详细的评估,并表示Judy的肿瘤可能适合进行LITT手术。
Rutka教授远程回复
1.肿瘤的位置和尺寸是否可以做LITT手术?如果可以,现在是不是合适的时期?
Rutka教授:残余肿瘤可能适合进行LITT手术;考虑进行LITT手术的时机是在进行了合理的化疗试验之后。在接下来的1-2个月,应继续使用曲美替尼进行化疗,并重复影像学检查。希望能显示肿瘤缩小或肿瘤稳定。然后,在确定化疗疗程并重复神经影像学检查6个月后,可决定是否进行LITT手术。但是,如果肿瘤在服用曲美替尼期间继续生长,则可以考虑提前进行LITT。
2.您有没有做过相同或相似位置的LITT手术?
Rutka教授:在Sick Kids医院,我们经常为儿童的下丘脑错构瘤和其他类型的低级别胶质瘤进行LITT手术。
3.可能的风险或后遗症是什么?发生的概率是多少?
Rutka教授:如果需要,LITT是治疗这种肿瘤的一种合理而温和的方法。可能出现的风险或后遗症包括右侧肢体无力、出血、感染和复发。复发率取决于LITT对病灶的清除程度。
4.术后一般多久能出院?还需要后期的靶向药或化疗吗?
Rutka教授:LITT手术后,大多数儿童可在2-4天后出院。患儿通常都能很好地耐受。根据我们的经验,LITT术前需要使用地塞米松。将来如果有残余肿瘤,可以再次使用靶向药物或化疗。

Rutka教授部分回复截取
很快,Judy接受了由Rutka教授进行的LITT手术。LITT手术流程主要包括三个部分:术前准备、术中手术、术后恢复。
术前准备:考虑LITT治疗的患者仍需要在癫痫中心进行全面评估。该测试可以准确找出癫痫发作的开始位置以及该区域是否可以安全移除。一旦找到该区域,就会安排患者在手术室环境中进行手术。

Rutka教授及团队LITT手术准备中
准备工作完成,手术中医生将对患者进行以下操作:
01、使用全身麻醉
02、在头皮上做一个小切口,然后在头骨上做一个小孔(铅笔大小)
03、MRI在手术室(或附近的不同房间)进行,以绘制出要治疗的确切区域
04、使用MRI引导带有激光探头的小(2毫米)管穿过颅骨中的小孔到达癫痫病灶。
05、该程序升温并破坏目标区域
06、计算机程序会检查附近大脑区域的温度,以保护它们免受热损伤
07、手术后,关闭骨头上的小孔和皮肤切口

术中核磁共振监测下的激光消融全程热成像图
术后恢复:手术后,患者通常只在医院呆一两天就可以回家了。通常术后患者在3到7天内恢复正常活动。
- 文章标题:胶质瘤“去而复返”只能就此认命吗?Rutka教授不开颅也能让它“落荒而逃”!
- 更新时间:2024-12-05 15:25:33
400-029-0925




