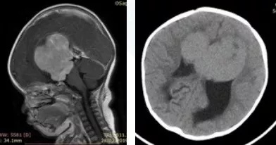
鞍区胶质瘤案例:刚满1岁的宝宝还没来得及长大,却就要匆匆离世。对一周岁脑内较大胶质瘤患儿小晴(化名)的父母来说,再没什么比这更痛心、残忍的事儿了!
一个鲜活的小生命就真的这样放弃了吗?小晴的父母于心不忍,四处求医,从当地二线城市辗转到一线城市,从国内专家问诊到海外的神外专家,他们一直在期待孩子能有更长生存的可能性。直到INC国际神经外科医生集团三位国际儿童神经外科专家为小晴提供了多种优于国内的咨询意见后,他们终于觉得全部努力没白费,上天还是在眷顾着这个不幸的家庭。
01 国内:年龄太小,手术风险太大
“肿瘤位置较深,孩子年龄太小,脑瘤太大,手术风险很高,切除率不高,且术后较大可能出现失明……”辗转托付熟人朋友挂专家号,问诊过很多国内大医院的神经外科医生,得到的说法如出一撤。
小晴父母只知道,不治疗,孩子脑子里的肿瘤还将继续生长,较终将继续压迫脑内相邻组织,甚至会有生命危险。
孩子脑瘤到底是良性还是恶性?
手术成功率和切除程度到底有多大?
到底谁能确定更佳的治疗效果?
下一步的治疗之路在哪里?
……
带着这些在国内无法得到明确答案的问题,小晴的父母放眼海外,开始去寻求海外专家的咨询意见。
小晴父母发动了身边的亲朋好友寻找国外的儿童神经外科专家,较终得知国际、在中国有代表处的INC国际神经外科医生集团旗下国际神经外科顾问团中有三位神经外科领域赫赫有名的儿童神经外科专家--德国巴特朗菲教授、意大利Concezio Di Rocco教授、加拿大James T. Rutka教授,于是快速取得与INC国际神经外科医生集团中国代表处的联系,并整理小晴的全部影像报告、病例资料等同时与这三位儿科教授进行了远程咨询。由于孩子病情紧急,在INC国际神经外科医生集团的努力协调下,三位国际教授连夜给出了国际水准的咨询意见。
02 为什么选择INC的儿童神经外科专家?
相较于国内,国外对于胶质瘤等神经外科疾病的治疗和研究要早上许多,治疗手段也更成熟。在手术方面有着更大的差别,很多国际手术设备、器械、手术入路甚至是合适的手术体位都是西方发达国家发明的,他们做得很成熟和顺利了。德国巴特朗菲教授、意大利Concezio Di Rocco教授、加拿大James T. Rutka教授则是国外神经外科领域内的人物,在儿童神经外科领域卓有建树。
巴特朗菲教授时任国际神经外科联合会(WFNS)教育委员会主席,也是德国汉诺威国际神经科学研究所(INI)的神经外科教授和中心血管外科主任,对于各种胶质瘤、海绵状血管瘤、松果体区肿瘤、脊髓肿瘤、垂体瘤、脑膜瘤等神经外科疾病的“高切除率”手术正是较为擅长的,哪怕是“手术禁区”内的肿瘤,他也能在不损伤肿瘤周围正常脑组织和神经血管的前提下熟练地成功摘除。在其所在的德国汉诺威INI国际神经学研究所,他每年所进行的这样顺利高切除率脑瘤手术不下400台。就目前而言,巴特朗菲教授已完成脑干内肿瘤切除手术千余例,也是当今国际有记录报道的个人手术脑干海绵状血管瘤较多的神经外科教授之一。
除了巴特朗菲教授外,德国汉诺威国际神经科学研究所(INI)的儿童神经外科主任Di Rocco教授也是国际公认的儿童神经外科专家,拥有丰富的儿童神经外科领域的临床治疗经验。他尤为擅长小儿神经纤维瘤、癫痫、脑积水等难治病症方面的治疗,目前已进行过12,000多次神经外科手术。巴特朗菲教授与Di Rocco教授曾联合手术,为患有视神经胶质瘤的五岁小朋友治疗,手术切除率竟然达到了惊人的≥大概率的程度,更是为两位教授及国外的高医疗水平提供了有力的证据。
除了这两位神经外科的手术专家外,在研究神经外科领域做出了贡献的James T. Rutka教授也是厉害的人物,自从医以来,他就一直专注于儿童神经外科疾病的咨询与研究,拥有几十年的丰富经验,为无数的儿童神经外科肿瘤患者解除了病痛。除此之外,James T. Rutka教授还发表过逾500篇相关文章,与神经外科专家合著以及修订教材级别书籍,且至今一直担任国际神经外科杂志《Journal of Neurosurgery》主编,对神经外科医生的研究具有指导性作用。
03 跨越大洋的咨询方案
INC三位海外儿童神外专家在看过小晴的情况后,得出了总体上比较一致的咨询建议--患儿很可能为鞍区视神经胶质瘤,这通常是低级别或良性肿瘤,且治愈率较高。这种低级别胶质瘤优选的治疗方法是完全完全地手术切除,这对于解除大脑的局部压力重要,但同样也要面临手术所承担的风险,包括垂体功能不全、视力障碍和中风等。如果能够大水平顺利切除,则预后生存率会好,不会干扰正常的生活,后续持续跟踪及接受适当的治疗,则可与一般人寿命相似,但对于复发率的评估需要根据肿瘤的级别及性质决定。
04 “手术切除率有望达到90%甚至以上”
对于手术切除程度,INC三位海外儿科专家都有着比较明确的评估,一般都能达到80%以上的切除率,在这方面巴特朗菲教授具有丰富的经验,对小晴的案例甚至能达到90%乃至更高的切除率,在他的一系列临床病例中证明了?量全切/次全切除的可能性与良好的功能结果有关。手术过程中的风险与肿瘤的?管特征有关,因为婴?年龄很?,血液储备有限,这需要仔细的?醉处理、较为熟练的手术团队配合,也需要术中磁共振成像系统(iMRI)、术中神经电生理监测、术中神经导航等国际前沿的高科技咨询设备护航。这样的切除率、这样的手术团队、这样的前沿设备在国内确实是较为少有的。
对于小晴的后续治疗,INC三位海外儿科专家结合自身多年临床咨询经验,则提出了不同的咨询意见。Rutka教授认为,建议对肿瘤进行详细的分子遗传和免疫组织化学检测,以确定它是否对化疗敏感。像这样的大多数低级别胶质瘤会对化疗敏感,活性剂包括长春碱,并且现在有更具针对性的疗法,这取决于肿瘤是否存在BRAF融合异常或突变。化疗可能需要使用一整年,周期通常每月一次。如果1年后仍有疑虑,可以尝试不同的化疗方案。
巴特朗菲教授则认为,孩子达到6岁之后,也可能进行放疗。在此之前,化疗可能对孩子是有帮助的,这取决于手术后残留多少肿瘤。化疗可以间歇地长时间进行,以防止进一步的肿瘤生长,且没有明显的副作用。
Di Rocco教授也提出,辅助疗法基本上是医学疗法(放射疗法应尽量推迟到婴儿能承受的较小年龄以后),应根据组织学和较终的分学诊断来选择。
种种这些详尽的咨询方案,包括方案中的高切除率、术后生活质量,都是国内医疗无法确切保障的。小晴的父母在得到INC这些海外专家远程提供的咨询方案那一刻,高高悬起的心微微落下,只要有一线希望,他们都不会放弃,有来自INC的教授出手,他们对小晴的后期治疗充满了信心。
05 海外专家咨询意见,罹患重疾时或能救命
由于国内优质医疗资源分布不平衡,当罹患像胶质瘤等这样的重疾时,国人就医可谓是吃尽了苦头,有的需要排队很久才能找到全国较有名的专家,有的找上了专家可能也只是匆忙间拿到诊断结果和治疗方案,跟专家沟通的时间也有限。面对各种需要开颅动刀的脑瘤手术,也常常因技术和设备的限制多不能得到更合适的咨询。
这时候,选择一些在脑瘤治疗方面拥有成熟技术和丰富经验的海外专家,听取他们的咨询意见,某种程度上也能帮助患者确认正确的诊断结果、为他们提供多样化的咨询意见,帮助患者更快地“对症下药”找到适合自己的治疗方案,从而避免了徘徊犹豫期间进行的一些不必要的治疗程度,甚至是不可逆转的手术。虽然大部分二医疗意见可能不会改变之前的诊断结果,但它却是提早发现误诊的重要方法,还能透过专家独自客观的建议采用不同的治疗方法,增加生存机会。
11月中旬,不出国门可与INC儿童神外专家面对面咨询
11月中旬,由INC国际神经外科医生集团主办的国际神经外科顾问团(WANG)二届年度峰会之际,INC还将组织旗下顾问团的14位国际神经外科专家为国内患者进行现场面对面咨询(需提前缴纳咨询费3000 USD),其中就包括了德国巴特朗菲教授、Concezio Di Rocco教授、James T. Rutka教授这三位国际的儿童神外专家。一对一问诊当前一位乃至多位国际神外“教授”的机会难得,一年仅此一次,有需求的患者可以赶紧抓住机会咨询,11月4日后报名需额外缴纳800 USD加急病例整理翻译费用!
11月12日左右,德国巴特朗菲教授还将为部分符合手术指征的国内患者亲自主刀手术。对于中国患者,以往想要获得海外专家亲自手术只能远赴国外,而且花费不菲,而这一次国内患者不出国门,就可接受由国际颅底肿瘤手术教授实施的国内手术,而整体费用也将是出出国手术的一半或1/3以下。国内手术名额有限,如有需求,请于10月26日前通过远程邮件或者视频咨询的方式确定可否国内手术及相关手术方案。
招募对象:脑胶质瘤、脑膜瘤、脑海绵状血管瘤、垂体瘤、听神经瘤、颅咽管瘤、鼻咽癌、脊髓肿瘤、松果体区肿瘤、脑动脉瘤、脑动静脉畸形、小儿癫痫、脑积水、帕金森、面肌痉挛等成人/儿童神经系统疾病患者。
面对面咨询及国内手术报名热线:400-029-0925
400-029-0925




