9岁女童头痛抽搐半年,竟是5cm巨大海绵状血管瘤!手术成功“拆弹”后癫痫消失,9个月随访活蹦乱跳如常。
脑海绵状血管瘤(CCM)是一种低血流的中枢神经系统血管畸形,可能发生在大脑、脊髓,或很少发生在硬脑膜,也经常称之为海绵状血管瘤。在微观层面上,内皮细胞缺乏正常的紧密连接,导致 "渗漏"。从宏观上看,病变被比喻为桑葚或覆盆子。患者可能因偶然发现或因相关症状而被诊断。症状可能包括局灶性神经功能缺损、癫痫发作或急性孤立性头痛。这些症状可能与急性出血有关或无关。
脑海绵状血管瘤通常在成年时出现,随着计算机断层扫描(CT)和磁共振成像(MRI)的出现,这些病变越来越多地在儿童身上发现。
9岁女孩5cm脑海绵状血管瘤获全切
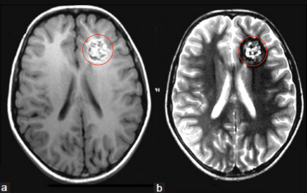
患者情况:9岁女童有多次全身性强直阵挛性癫痫发作及头痛持续6个月之病史。CT平扫显示左侧额叶深部钙化灶。MRI脑T1、T2、FLAIR像显示左额叶深部异质性病变[图2a和b]。根据这些发现,诊断海绵状血管瘤伴顽固性癫痫发作。
手术过程:患者行左额部开颅术,病变完全切除(5×4cm大小),包括周围的胶质组织。
术后情况:这名儿童在9个月的随访中表现良好,没有任何癫痫复发。

图:(a)和(b) MRI T1W、T2W轴位图像显示混合信号的网状核心,代表不同退化状态的血液,注意T2W图像(b)中含铁血黄素的低聚晕
专家:CCM完全切除可恢复正常生活
海绵状血管瘤常见于30 ~ 50岁的成年人。虽然这些病变的大小通常在9至20毫米之间,但也有文献报道巨大的病变。与成人一样,在儿童中,十分常见的病变是局灶性或全身性癫痫,继之以海绵状血管瘤引起的脑出血和局灶性缺损。然而,这些罕见的病变在临床上可能是无症状的,这是由于它们位于“无症状”的皮层区域,尤其是额叶。
巨大的脑海绵状血管瘤在临床、外科或组织病理学表现上与正常大小的脑海绵状血管瘤有相似的特征,尽管这些特征在放射学上可能有所不同。如果病灶位置较好,最好将病灶完全切除。据报道,病灶切除术后癫痫发作预后良好,大部分病例癫痫控制改善;然而,对于顽固性癫痫患者,可能需要术后辅助治疗。
如果长在凶险的脑干,还能否手术?INC德国巴特朗菲教授详解
脑海绵状血管瘤虽然可以发生在大脑各部位和脊髓,但生长在脑干的病例尤为凶险,堪称"生命禁区中的不定时炸弹"。这个掌控呼吸、心跳的神经中枢一旦被血管瘤侵袭,其出血风险比其他部位高,随时可能引发危机。
通常脑海绵状血管瘤出血率为每年0.25%-0.7%,近期研究中出血率为每年2-5%;脑干部位出血概率偏高,达每年2.7%。再次出血率则可高达18%-21%。而且每出血一次,再次出血间隔缩短;每出血一次,患者症状呈进行性加重,而神经系统症状能够恢复的可能性越小。
INC国际神经外科医生集团旗下世界神经外科顾问团成员、世界神经外科联合会(WFNS)教育与技术委员会前主席Helmut Bertalanffy(巴特朗菲)教授综合312例手术经验,对脑干海绵状血管瘤手术治疗要点总结如下:

1、临床症状严重提示有手术指征;
2、偶然发现的(静态的,无临床表现,无出血)海绵状血管瘤暂时不需要手术治疗;
3、在进展恶化快的病人中,紧急手术切除肿瘤是有益的,相当于抢救性手术;
4、有很多手术入路是可以选择的,但最短到达肿瘤的手术路径并不一定是最好的手术入路选择;有的较长的入路在特定情况下对功能的保护是很好的。
5、根据巴教授手术的患者,90%以上的患者可以达到良好或极好的预后。
6、再出血的患者应该再次手术

- 文章标题:9岁女孩头痛癫痫半年,一查竟是5cm巨大脑瘤!
- 更新时间:2025-07-28 16:37:32
400-029-0925




