脑干胶质瘤患儿辰辰母亲术后采访:“为了提高长期生存和更佳的生活质量,作为父母更要想尽办法寻求更好的治疗方案,这样可以不用为自己的选择而后悔,更大程度地挽救自己孩子的生命!”
一个比鸡蛋稍大的肿瘤,位于小脑,大到已经压迫四脑室和脑干。要不要手术?怎么手术?谁来手术?一连串的问题拷问着辰辰父母。面对治疗路上的不同岔口,每一次选择都有可能将孩子引向截然不同的结局,他们无法走回头路。然而,要想孩子获得“治愈性”结局,其中关键的三次选择,他们都没有选错……
术后2年多随访时,辰辰不仅“没有肿瘤残留,没有复发,也没有手术的不良副作用”,还已正常上学。而孩子的状况更是让许多医生惊叹:根本看不出这个孩子做过手术!

第一次选择:意外查出脑瘤,要尽早手术吗?
时间回到5年前,那时6岁的辰辰因一次小小的交通事故而抱怨头晕,父母不敢有丝毫轻视,连忙带着辰辰去医院做了检查,没想到他们预想中的毛病一个都没查出来,反而查出了“小脑占位”,疑似毛细胞型星形细胞瘤。

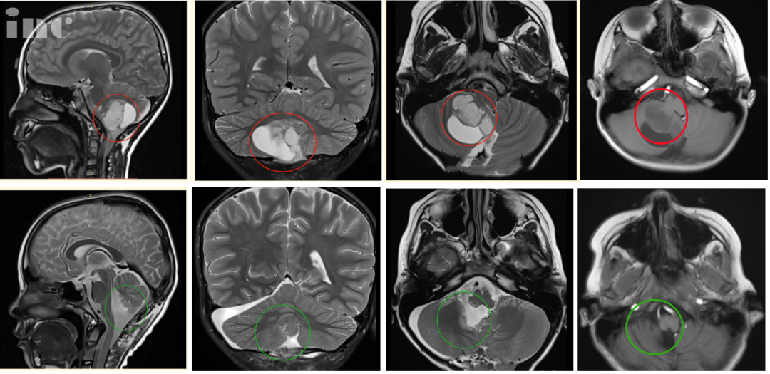
尽管此时的肿瘤已经达到40mm*37mm大小,且四脑室、脑干受压,中线结构局部左移,但辰辰并未表现出其他症状。要尽早手术吗?如果能安全切除肿瘤,辰辰父母也许不会如此纠结,偏偏肿瘤生长在小脑-脑干位置,不仅切除难度大,而且术后很可能会出现瘫痪、昏迷等并发症。
他们面临的第一次选择就已经如此艰难:手术,则需要承担可能的后果,影响孩子一生;不手术,则需要日日提心吊胆,更何况肿瘤逐渐生长带来的一系列症状,这是孩子不得不独自承担的。
这是一道关乎生命的概率问题,然而,辰辰父母心里却十分清楚:手术是否成功各占50%的概率,而不手术带来的后果只是时间早晚的问题,概率近乎100%。与其被动等待那100%的后果,不如主动出击,搏一搏那50%的成功。
更何况,手术的成功并非只有单一影响因素,只要后续选择得当,就能为孩子争取到更大概率的成功。而一味等待却等不来肿瘤的治愈,反而等来了肿瘤的生长恶化:研究更是表明,低级别胶质瘤的平均生长速度为3-5毫米/年,每年平均增长15%。

于是,辰辰父母果断选择尽早手术,因为他们明白,没症状≠没危险,症状轻≠不用手术,一旦确诊,积极应对才是解决之法!
第二次选择:脑干肿瘤不能全切?如何选择主刀?
第一次选择之后,问题接踵而至:许多医生都告诉他们脑干这个位置不好动手术,很难全切,该找谁做这个手术呢?辰辰父母开始了漫长的“背调”期,他们加入了不少的病友群,并为了孩子努力学习相关知识,甚至查阅国外专业文献。
“我们从来都没想过会学习神外知识,可是辰辰患病以后,我们想拼命学习关于这个病的一切知识。”功夫不负有心人,多方的渠道让他们逐渐听见一种声音:“对于脑干位置,INC德国巴特朗菲教授非常擅长,早在30年前就有成功案例了。”
在综合考虑辰辰目前的病情和经济情况后,他们选择优先咨询巴教授,听听这位国际大咖的看法,再做下一步决策。

巴教授:“MR 显示非常典型的小脑良性肿瘤,常见的是毛细胞性星形细胞瘤。患儿需要手术。完全切除肿瘤后,这个患儿几乎可以从肿瘤中康复。切除率必须达到 100%,我将尽一切努力实现这一重要目标。”
第三次选择:跨国手术后,“很多医生看不出他做过手术!”
得到巴教授如此自信的回复,辰辰父母的心仿佛一下子有了主心骨:巴教授足够专业,而国内医生也向他们推荐过巴教授。很快,他们决定远赴德国,去找巴教授进行手术。
“从我们到达德国之后,一直到小孩进手术室,我心里对巴教授的信任基本是百分比的。”最终,辰辰的手术十分成功,肿瘤得到全切,脑干充分减压,对中脑的挤压/移位压力明显减少,小脑也复位了。术后病理结果为毛细胞型星形细胞瘤,WHO 1级,这代表着只要全切,辰辰的预后将很好,甚至有望达到长期生存的治愈性结局。

术后第二天,CT扫描显示辰辰术后表现正常,无出血、水肿等并发症,成功转入普通病房,开始了康复治疗,并逐渐恢复了活动力。术后第三天,辰辰已经可以下床搀扶行走。不久后,辰辰顺利出院,还在酒店楼下开心地玩雪。
回国后,辰辰的妈妈多次致谢:“辰辰术后恢复状态很好,很多医生都看不出他做过手术,是巴教授让孩子有机会继续感受这个世界的美好!”
术后2年,辰辰父母再次发来感谢:“辰辰现在没有症状,已经如常上学,再一次感谢教授为孩子做了这样一个完美的手术!”在巴教授来华进行疑难手术示范期间,辰辰妈妈还专程来到教授国内手术示范医院苏州大学附属儿童医院复诊,再次表达感谢。

多次珍而重之的感谢,饱含辰辰父母对于孩子劫后余生的欣慰,这也意味着这个曾经被病魔侵袭的孩子,有望拥有顺顺利利、长长久久的一生。三次选择,最终换来孩子充满曙光的未来。
INC 国际小儿神外专家团
国际脑干手术大咖 Helmut Bertalanffy教授

教授擅长颅底、脑干病变、功能区、大脑小脑、脊髓等复杂位置的肿瘤性、血管性疾病的手术治疗,尤其擅长颅底、脑干等复杂区域病变的肿瘤切除术、神经吻合术等,脑干病变成功手术病例近千台,以精湛高超的手术技术不损伤神经功能且全切病变。巴教授历经千万个小时用超精确的物理剥除诠释了医术为何为艺术。
国际儿童神外专家 Concezio Di Rocco教授

自2014年5月起,Di Rocco教授就担任了德国汉诺威国际神经科学研究所(INI)的儿科神经外科主任。从事儿童神外事业50余年,Di Rocco教授尤为擅长小儿神经纤维瘤、癫痫、脑积水、蛛网膜囊肿、颅缝早闭、脑和脊髓肿瘤、脑和脊柱畸形(半椎体畸形,皮质发育不良,脊髓脊膜膨出,脊髓内脂肪瘤,Arnold-Chiari畸形等)难治病症方面的治疗,曾进行过12000多次神经外科手术。
国际儿童脑肿瘤大咖 James T. Rutka教授

教授是世界神经外科联合会(WFNS)执行委员会&顾问委员会成员之一,发表超过500多篇的文章,在临床上的研究方向以颅内肿瘤为主,对胶质瘤、纤维瘤、颅咽管瘤、室管膜瘤具有多年的临床经验,擅长清醒开颅术、显微手术和被广泛用于治疗恶性脑瘤和癫痫的国际前沿技术激光间质热疗(LITT)技术经验,对于儿童胶质瘤,尤其是高级别胶质瘤开展多项临床试验,其所在的医院加拿大SickKids是国际知名的儿童医院之一。
400-029-0925




