乘风破浪—「超酷排球少女,也曾是胶质瘤患儿!」
治疗期间,小樱始终斗志昂扬。
14岁的女孩小樱热爱运动,充满朝气,排球、跳绳、跑步……样样不落,每一个项目,都练得像模像样,是小伙伴公认的学校“运动健将”。开颅手术后不到1年,30秒、排球垫球35个,这是小樱的体育打卡视频。只见小樱一头乌黑茂密头发,热爱运动的她青春正当时。妈妈每每向人谈论起女儿,都充满了自豪和爱。但这一切来之不易……
年仅7岁的孩子查出脑部肿瘤,那一刻,晴天霹雳。父母无论如何都无法把胶质瘤和自己的孩子联系在一起。好在,一家人携手前行,不惧风雨,不言放弃,最终得见彩虹。
INC巴教授中国行成功示范手术后近1年,母亲再次发来感谢:“孩子现在身体状况,精神状态都很好,生活学习一切如常。时间真快,一年了,去年这时候正焦虑得很。有时候看着孩子背着书包去上学,大夏天自己跳800米,练跳绳排球,能跑能跳,就想起了巴教授,想到了大家,还有所有帮助过我们的人,感谢大家!!!”

即使是进行过无数次成功示范手术的巴教授,在看过小樱最新的影像和视频后,也深感欣慰:
“本次评估的是2024年8月20日的MRI影像。我很高兴看到如此好的手术效果,因为原手术区域的组织形态学上进一步得到改善。听到这位女孩的临床状况很好,我也非常高兴。从目前的情况来看,她不仅神经系统功能完好无损,而且认知功能和精神状态也非常好;这不仅超出了手术前的预期,也远远超出了医生在她手术前给家属的预期。祝贺她!我将继续评估未来的MRI随访(每年一次)。”

INC巴教授中国行示范手术,成功为13岁胶质瘤女孩手术
当我们第一眼看到小樱时,就被这位开朗乐观,露出洁白牙齿开心笑的13岁女孩吸引住了。在这充满阳光的、积极灿烂的笑容背后是其父母和孩子在战胜疾病面前所展现的勇敢、坚强和智慧的凝结。这是小樱进行示范手术的前一天,巴教授和中国神经外科团队一同亲自术前查体,了解小樱的状态。
相比于父母的忐忑,小樱因为年纪小,加上骨子里有一种“天不怕、地不怕”的冲劲,反而没有那么紧张。当询问道:“你现在还有什么症状吗?走一下看看!”一片笑声中,乐观开朗的小樱在病房开心的小跑起来。待到手术当天,小樱也很勇敢,这场与命运的搏斗,坚定地一步一步,迈向了自己生命的战场。
▼充满笑声的病房,也被一家人的乐观积极所感染的巴教授以及小樱一家人在阳光下的身影

5岁女孩身体早熟,2年后竟查出脑部肿瘤
小樱在5岁时,父母发现孩子身体早熟,内分泌科就诊口服药物治疗,2年后效果不好,做垂体平扫核磁,竟查出颅内病变,转神经外科。孩子生了病,当家长的比谁都着急,哪怕拼尽一切,也要替孩子把病治好。
2017年,小樱第一次进行开颅手术,然而只切了绿豆大小的一点,因为病理组织少,后来去其他医院重新做病理时无法确诊。小樱父母想要为女儿切除剩下的肿瘤,然而主刀医生说不能再次手术,放疗也不建议,建议进行化疗。
案例手术难度解析:
该案例病理结果为毛星,良性,如果全切可回归正常生活,但是位置复杂,位于丘脑为主向侧脑室方向生长,侧脑室有丰富的血供与其周围的解剖结构密切相关,如下原因导致手术挑战很大:
1.丰富的脉络丛的血供
侧脑室内的脉络丛是产生脑脊液的主要结构,位于侧脑室的体部、后角和下角内。脉络丛的血供是侧脑室血供的关键部分,主要来源于以下动脉:
·前脉络丛动脉(由颈内动脉发出):主要供应侧脑室的下角(颞角)的脉络丛。
·后脉络丛动脉(由大脑后动脉发出):供应侧脑室的体部和后角的脉络丛。
2.与丘脑及深部脑结构的关系密切
侧脑室的体部和丘脑邻近,而丘脑和基底核的血供主要来自中央穿通动脉,这些动脉包括:
·大脑前动脉和大脑中动脉发出的穿通动脉,供应到侧脑室周围的基底核、内囊等深部结构。
·大脑后动脉和基底动脉的分支,也供应到侧脑室周围结构,特别是后脑室的部分。
这些动脉的分支在侧脑室附近形成丰富的微血管网络,虽然它们并不直接供应侧脑室本身,但通过供应周围的脑组织和脉络丛,间接影响侧脑室的功能和健康。
3.侧脑室周围的血供调节
由于侧脑室靠近深部结构如丘脑、基底核、内囊等,这些区域的血供调节对于维持正常的脑功能至关重要。特别是在病理状态下,如侧脑室胶质瘤或血管畸形,这些动脉的血供可能受到影响,进而对侧脑室的脑脊液循环产生影响。
虽然检查结果扑朔迷离,庆幸的是,小樱一直没有任何异常,像正常人一样饮食、生活、学习。勇敢的小樱是父母心中的乖女儿,成绩优异,运动能力也很强。但是父母之爱子则为之计深远,对于孩子脑子里面的肿瘤仍心存忌惮,如果可以安全手术,孩子就可以真正的摆脱它,健康成长。
肿瘤已经长大了,切除手术为什么要等待呢?
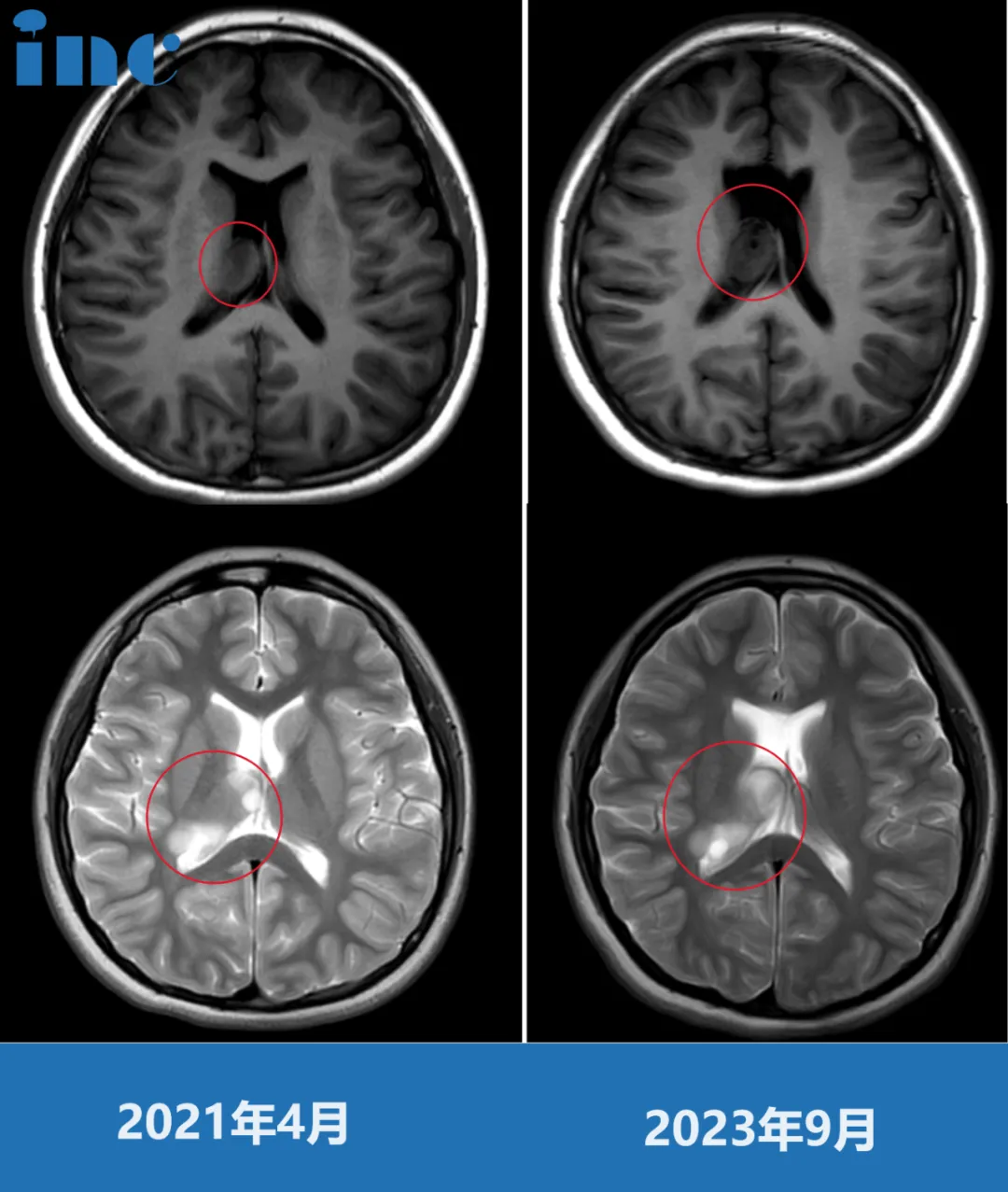
2021年5月,巴教授来华期间,小樱父母就选择与巴教授进行面对面咨询,当时肿瘤还没有进展,因此没有选择手术。
但2023年9月再次面对面咨询时,巴教授这一次再次对比影像,没想到病情进展了……“我研究了现在的影像和之前的影像对比,肿瘤已经变大了,从现在这个情况看,我认为是可以进行手术。而且,肿瘤以一种弯曲特殊的方式在侧脑室中生长。保守并不是个好主意,因为肿瘤会继续生长。手术并不十分紧急,但是这个孩子为什么要等待呢?如果她现在没有症状,这是很好的机会。如果她出现了症状,那么肿瘤已经到了晚期,那就很糟糕了。”

2023年11月7日,小樱的手术由INC巴特朗菲教授主刀、国内神经外科手术团队同台协助。术前计划好,术中主刀根据经验对肿瘤实现精准的定位、对肿瘤和正常脑组织的定位区别,才能达成精准切瘤的效果,术后才能达成最好的效果!任何一台手术,医生们都希望彻底切除病变,同时在这一过程中尽可能地不损伤正常组织,综合考虑患儿的病情后,巴教授术中采用神经导航及神经电生理监测。

术中神经导航显示出的肿瘤及周围的神经纤维
术中神经导航为成功手术保驾护航,而作为整台手术的核心,主刀医生才是手术成功非常关键的因素。

德国Helmut Bertalanffy(巴特朗菲)教授
世界神经外科联合会(WFNS)教育与技术委员会前主席
世界神经外科联合会(WFNS)提名委员会前主席
欧洲神经外科知名杂志《Neurosurgical Review》主编,2004-2016年
INC旗下世界神经外科顾问团(WANG)成员
手术非常成功,术后第1天早上ICU查房时,“眼睛闭一闭,动动手、腿抬起来,露露牙齿,”看到小樱一切状态良好,巴教授也欣慰地笑起来为她拍下视频,让等候在外的父母放心。下午,小樱顺利转出ICU,转入普通病房。
对于这台成功的示范手术,小樱妈妈除了感谢还是感谢:“非常感谢,真的非常感谢大家给我的信心!真的非常有幸在2019年的时候了解到巴教授,其实说句实话,在2019年之前,我们真的是每一天都在绝望当中度过的,因为那个时候第一次手术只切除了一点……”
▼巴教授为小樱第一次随访时,为她的术后病理——毛细胞星形细胞瘤,感到开心。

“不管对手有多厉害,都要斗志满满打赢比赛,面对脑肿瘤这个恶魔,也不例外。”这是小樱的故事,治疗之路,折磨青春的同时也给她成长,努力书写属于自己的人生!
中外强强联合救治疑难神外病患
INC巴特朗菲教授本次中国行的第一站来到首都医科大学附属北京天坛医院。巴教授为前来咨询的患者提供诊断、及治疗方案的同时,多台疑难示范手术皆顺利完成。



- 文章标题:“开颅术后1年了,孩子练跳绳排球、能跑能跳!”这就是妈妈最大的幸福
- 更新时间:2024-12-02 18:36:39
400-029-0925




