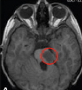
附件是2023年11月23日的MRI截图。这些图像确实显示了在苏州手术一年后的良好发现。低级别胶质瘤被完全切除,我们没有发现任何残余,附近的大脑结构和...
松果体脑瘤手术后可能存在一些后遗症,包括感染、出血、神经功能受损等。松果体脑瘤是一种少见的疾病,手术是其主要的治疗方法之一。然而,手术后...
脑瘤手术虽然可以切除或减轻肿瘤的压迫,但也可能导致一些术后遗症。这些遗症可能包括运动和感觉障碍、认知和记忆问题、言语和语言障碍等。术后遗...
33岁的H女士在怀孕期间因严重头痛,走路不稳,记忆力减退等症状就医,MRI图像显示在她的两个侧脑室后部有一个较大的囊性肿瘤,立即进行囊肿排空和肿...
脑膜瘤压迫脑干手术后遗症 脑肿瘤生长在脑干附近手术后会留下不同程度的后遗症。 脑干附近可能生长的脑肿瘤很多,如脑膜瘤、胶质瘤、海绵血管瘤等...
胶质瘤 ,是一种起源于大脑正常胶质细胞的肿瘤。那么胶质细胞又是什么呢?如果把神经元比作各类植物的话,胶质细胞就是孕育植物的土壤,即,广泛分...
【脑瘤治疗案例汇总】INC曾接诊的这四个真实的疑难脑瘤手术案例或许正能解答大家的这些疑问。就这些案例患者而言,术前教授都曾给到他们明确的可以...
33岁的H女士在怀孕期间因严重头痛,走路不稳,记忆力减退等症状就医,MRI图像显示在她的两个侧脑室后部有一个较大的囊性肿瘤,立即进行囊肿排空和肿...
先说说跨国飞机:INC接触的患者,脑瘤开颅术后能否坐飞机一直是一些出国手术治疗患者很关心的一个问题,这些患者都希望治疗后尽早回国。 一般术后伤...
听神经瘤 是一种颅内肿瘤,起源于八脑神经,称为前庭耳蜗神经,存在于内耳道或小脑桥角,位于后颅窝的颞骨岩部。它起源于由细胞构成的神经髓鞘。它...
脑瘤术后放疗理想选择——质子治疗,从1908年,安东尼·贝克雷赫(Antoine Béclère)医生一次用X射线治疗癌症病人,到1939年瓦里安兄弟(Russell H. Varian&Sigu...
摘要:神外术后气管切开术适应症、拔除指征、术后护理、并发症等。 在INC接触的很多患者中,有不少术后长期卧床气管切开或/并呼吸机辅助支持的患者...
临床经验分析表明,脑瘤手术切除的程度与预后密切相关,目前脑瘤手术原则仍是在顺利的前提下较大范围地切除肿瘤。经研究总结,很多长期生存的患者...
开颅手术切除内源性 脑肿瘤 的目的是建立组织诊断,好转神经症状,。在低级别 星形细胞瘤 、恶性胶质瘤和单一脑转移的患者中,细胞减少手术与生存率...
LITT技术国际开拓者James T. Rutka教授的治疗实例交流 这名4岁男孩因头痛呕吐就医,检查结果显示其患有后颅窝髓母细胞瘤,随即接受了切除手术,并辅以化...
胶质母细胞瘤手术后能活多长时间,胶质母细胞瘤是胶质瘤的一种较恶性的类型,患者的生存期短,胶质母细胞瘤术后如果采取放疗、化疗,平均生存期大...
一位32岁的中国年轻妈妈,她也是一个百万分之一较低概率也能中奖的脊索瘤病人,两次手术后不到半年多就复发,心灰意冷之时他选择远赴法国治疗。 一...
脑瘤开颅手术后要恢复多长时间?脑瘤是人的脑子里面长出了肿瘤。这种肿瘤可能是良性的,也可能是恶性的。不管是良性的还是恶性的脑瘤,都需要及时...
原发性脑瘤手术后,神经功能恶化并不少见。在某些情况下,由于围手术期缺血性损伤或在有相应缺陷的雄辩区域进行手术,或术后运动前皮质出现辅助运...
随着显微手术技术的发展和神经功能监测技术的普及,择期脑肿瘤患者术后神经损伤明显减少,术后康复速度加快,而颅内出血、静脉血栓成为影响延迟出...
脑瘤手术后凝血功能异常的危险因素,围术期凝血功能异常与术前患者的一般情况、合并症、治疗方案等因素有关,异常因素需要进行个体化评估。 1、出...
在全部试验中,肺动脉高压组报告了13/50的死亡,而瓣膜置换术组报告了10/50的死亡(Beenen1999),CBZ(6个月)组9/50,CBZ(24个月)组10/56,而肺动脉高压(6个月)组1...
脑瘤手术后水肿怎么办?正常吗?不管手术的大小,很多手术后都会给患者留下副作用或者是后遗症。当然脑瘤手术也不例外,部分的脑瘤患者在动完手术...
儿童脑瘤能活多久? 儿童脑瘤能活多久取决于其恶性程度。良性肿瘤,如听神经瘤,可通过手术切除颅咽管瘤,预后良好时存活时间长;如果是恶性肿瘤,...
恶性脑瘤从发病到死亡一般多少年 恶性脑肿瘤是一大类,有很多详细的类型。例如,大脑中常见的胶质瘤生存期不同,病变分化程度不同,分期不同,患者...
脑瘤能活多久? 脑瘤是一种常见的说法,主要是脑神经胶质瘤和脑膜瘤。大脑神经胶质瘤多为恶性肿瘤。如果是胶质母细胞瘤,平均生存期仅为8个月,大...
脑瘤手术后的后遗症你重视,在动脑瘤手术时候,因为肿瘤神经与脑组织的神经连在一起,因此在动完手术以后可能就会导致神经受到一些受损,从而导致...
良性脑瘤手术后能活多久? 良性脑瘤患者一般可存活10至15年左右,应根据后续治疗来判断。建议术后观察患者自身情况,防止术后并发症;多吃高蛋白、...
脑肿瘤术后生存时间取决于脑肿瘤的病理分类、术后复发时间和可能转移的部位引起的症状。对于良性肿瘤,及时手术切除不会影响患者的生存时间。一般...
脑瘤手术后能活多久? 脑肿瘤是一种常见的神经外科疾病,脑肿瘤能活多久,不能一概而论,具体如下: 1.良性脑肿瘤:如果良性脑肿瘤得到适当的治疗,...
胶质脑瘤存活率是多久? 胶质脑瘤的存活率是多久?神经胶质瘤是一种脑系统疾病。患者发病后,可根据四个不同等级了解生存时间。由于各级治疗方法不...
脑膜瘤手术患者能好多久,没有统一的标准,术后恢复时间由肿瘤生长部位、手术技能、患者基本情况、并发症等方面有的关系: 肿瘤生长部位:例...
良性肿瘤通过手术切除后,不影响整个生存期。以脑癌中恶性程度较高的胶质瘤为例。胶质瘤的恶性程度为四级胶质母细胞瘤,成人平均生存期为11个月。...
胶质脑瘤的存活率是多久? 胶质瘤是一种恶性颅内肿瘤,但其存活时间因肿瘤水平而异。一般来说,世卫组织的分级是四级。此外,还有一种类型。现在我...
脑胶质瘤的存活率存活时间 胶质瘤有四个等级:一级和四级,恶性程度逐渐增加。胶质瘤的生存能力、肿瘤的恶性程度以及生长部位是否完全切除与术后患...
脑瘤手术后能活几年 脑瘤手术后的存活时间取决于肿瘤的病理性质、部位、切除程度和后续治疗,包括放疗和化疗的治疗效果,具体情况如下: 良性肿瘤...
脑瘤不手术能活多久? 脑瘤不手术,患者的生存期不能概括,主要与脑瘤的性质、严重程度、治疗等因素有关,应具体分析。 脑瘤分为良性和恶性。一般...
良性脑肿瘤手术后遗症有哪些? 良性脑肿瘤良性脑肿瘤,但很多人担心手术前后遗症。其实任何手术都很容易给我们的身体带来的创伤,是脑肿瘤开颅手术...
脑瘤手术后能活多久? 脑瘤是一种口头说法,实际上是不正确的,医学上应该称之为颅内肿瘤。更常见的颅内肿瘤主要是神经上皮肿瘤、脑膜瘤和垂体肿瘤...
中枢神经系统包括颅骨内组织和脊髓组织,统称为中枢神经系统,就像手机的中央处理器一样,指挥全身各系统神经的部署。中枢神经系统肿瘤中的胶质瘤...
良性脑瘤严重吗? 什么是脑肿瘤?脑肿瘤是二类较常见的儿童肿瘤,白血病是较常见的。良性脑肿瘤是颅内组织的异常增生,但不是癌症。恶性脑肿瘤是颅...
恶性脑肿瘤手术后能活多久? 恶性脑肿瘤患者术后能活多久,主要取决于肿瘤的病理类型。一些低度恶性脑肿瘤,如世卫组织1-2级患者,在手术过程中完全...
脑瘤复发几率有多大? 脑肿瘤有良性肿瘤和恶性肿瘤的区别,脑肿瘤的位置不同,继发性脑损伤不同,会出现相应的症状和体征,临床疾病可选择手术治疗...
脑瘤不手术能活多久? 脑瘤无手术的生存时间取决于肿瘤的发展速度。如果脑瘤保守治疗,肿瘤会缓慢生长,影响、压迫脑组织、颅神经、血管,甚至脑干...
脑瘤手术后能活多久? 脑肿瘤患者术后能存活多久,无论是良性肿瘤还是恶性肿瘤,主要取决于脑肿瘤的病理阶段。患者的易感性与脑肿瘤患者的手术方法...
胶质脑瘤存活率是多久? 胶质性脑瘤,即脑胶质瘤,在不同的情况下有不同的生存期。国际卫生组织将脑胶质瘤分为四个层次:一级和二级良性,称为低级...
脑瘤晚期能活多久? 脑瘤晚期能活多久,这是许多患者的心理问题,对于脑瘤疾病的治疗,是一个漫长的过程,同时根据患者的身体状况,对于一些强壮的...
脑瘤手术后复发还能活多久? 脑瘤术后患者复发的生存期取决于脑瘤的病理类型。复发的具体情况和复发后的治疗方法通常包括以下情况: 1.预后良好:对...
链接/Links: 北京天坛医院 | 首都医科大学宣武医院 | 复旦大学华山医院神经外科 | 脑胶质瘤 | 脑海绵状血管瘤 |