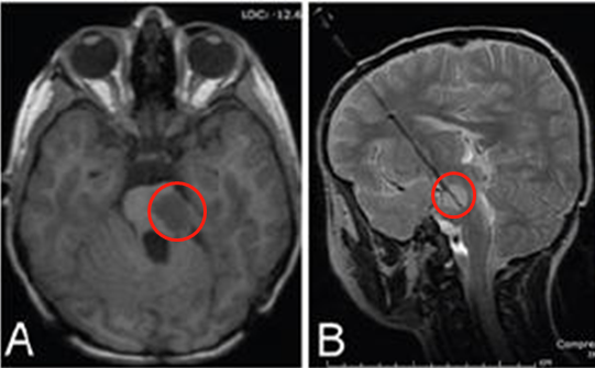
这名4岁男孩因头痛呕吐就医,检查结果显示其患有后颅窝髓母细胞瘤,随即接受了切除手术,并辅以化学疗法和干细胞治疗,但在他的二个化疗周期后,桥脑左侧见到复发性肿瘤(图A),这让他的父母焦虑。

即使患儿父母能够理解“手术切除”是较合适的解决办法,但他们实在不愿让孩子在短时间内接受两次开颅手术,因此在与医生进行了深入的沟通后,孩子接受了激光间质热疗(LITT)(图B),这是一种经皮微创技术,侵入性更小,但“威力”十足,是在一些脑部疾病的治疗方面更展现出了可媲美开颅手术的良好效果。

图C:消融和较终热损伤估计。图D:消融当天进行的术后MRI显示典型的新的环增强

图E:在1、3、6、9、12和17个月随访的轴向T1加权对比增强MR图像显示消融肿瘤的体积逐渐减少
患儿在激光间质热疗后未接受其他化疗,无疑减轻了孩子的身体负担,且在术后17个月的随访中也未发现复发情况,这名男孩在康复后顺利入学,其生长和智力发育正常且未被发现任何缺陷,目前仍在接受严格的随访。
髓母细胞瘤
髓母细胞瘤在儿童脑瘤中占30%,在全部脑瘤中占7%到8%。主要发生于14岁以下的儿童,少数见于20岁以上者,每年每10万人中诊断出1.5到2例成髓母细胞瘤。
髓母细胞瘤是颅内恶性程度较高的胶质瘤。其高度恶性表现在三个方面:①生长较其迅速;②手术不易全部切除;③肿瘤细胞有沿脑脊液产生播散性种植的倾向。若在转移性播散之前被确诊,70%-80%的患者可能存活下来。治疗包括手术、放疗和化疗,治疗方案取决于患者的分期或风险分类。
恶性肿瘤复发快,多次开颅手术对小儿风险大,这项微创技术何以如此神奇?哪些患者可以从中受益?让我们一起走近这项国际前沿技术——激光间质热疗(LITT)。
治疗脑瘤的放心选择
按照欧洲EANO、美国NCCN以及国内的中枢神经系统肿瘤治疗规范,手术切除肿瘤一直是一线治疗手段,放化疗往往被用作辅助治疗。就新诊断的髓母细胞瘤患者而言,与单纯的放化疗相比,手术全切或手术减瘤可以合适提高生存率。但当患者因深部病变、低功能评分、合并症或不能耐受全身麻醉而无法满足切除性手术的候选条件时,微创治疗便成了为患者的绝佳选择,而其中的“佼佼者”激光间质热疗(LITT)正在脑瘤和癫痫的治疗中展现出较大潜力。




关于LITT技术的相关论文
目前,LITT正被用于治疗胶质瘤、癫痫、放射性坏死和转移性肿瘤。有研究表明:新发的GBM(胶质母细胞瘤)患者和复发的GBM患者接受激光间质热疗后,结论显示对于其实验组中的复发性GBM患者而言,LITT可能是一种合适的手术替代疗法;但其在治疗新发的不可切除的GBM患者中的起到的作用仍在进一步的研究之中。
理想的微创手术应该降低术中和术后的发病率和死亡率,缩短住院时间,降低医疗保健费用,并为那些不适合进行开放手术或其他减容治疗的患者提供合适的治疗选择。磁共振引导下的激光间质热疗过程可以被实时监测,为何时开始消融、需要消融几次等问题给出了更佳答案,令术者的每一步操作都有据可依,大大提高了微创手术的顺利性和合适性。而LITT的优势还不止于此,更短的消融时间、更清晰的消融区边界、更少的并发症和更快的恢复速度更是LITT技术在发达国际患者中备受青睐的原因。
LITT手术应用国际先行者
INC旗下国际神经外科顾问团(WANG)专家成员James T. Rutka教授对胶质瘤、纤维瘤、颅咽管瘤、室管膜瘤具有多年的临床经验,擅长激光间质热疗(LITT)、清醒开颅术及显微手术。目前的研究重点为儿童脑瘤和癫痫的外科治疗。
由于只有北美的两家供应商能提供LITT技术所需的硬件设备和软件服务,且其需要神经内科、神经影像学、护理和神经麻醉专家之间的跨学科合作,目前LITT技术仅在部分发达国家的医学中心被熟练地运用。
国际神经外科学院前主席James T. Rutka教授所在的SickKids医院正是国际上较早一批引入该技术的儿童医院,这所北美前三的医院拥有来自卫生保健和研究各个学科的人员,在LITT技术的国际先行者——James T. Rutka教授的带领下已为多名脑瘤和癫痫患儿行此微创治疗,并成功为他们缓解病痛。
INC旗下国际神经外科顾问团(World Advisory Neurosurgical Group,WANG)是由国际各发达国家神经外科宗师联合组成的国际神经外科临床手术巨匠团队,囊括了神经外科各细分领域的国际教授。他们之中不有国际儿童神经外科专家,更有国际颅底肿瘤教授、国际神经外科界教科书级别专家等神外教授。
巴特朗菲教授擅长大脑半球病变、脑干病变、脑血管疾病、脑内深层区胶质瘤、颅颈交界处的病变等的肿瘤切除术、神经吻合术以及各种椎管内肿瘤切除术。
Joachim K. Krauss教授是国际功能性神经外科专家,擅长领域:复杂的脊柱神经外科手术、功能性神经外科手术(帕金森病、癫痫)和颅底手术。
国内脑瘤患者若对现有治疗方案心存犹疑或因病情反复不知所措,可咨询INC海外脑瘤专家团队联合咨询,听取一位或多位国际神外教授的咨询意见后再做决定,以免延误较佳治疗时机,还可以去到INC教授所在的医院接受外科手术或综合治疗。
2.https://doi.org/10.3171/2015.11.PEDS15242
- 文章标题:恶性脑瘤术后复发,LITT避免二次开颅、术后次日出院、1年半未复发
- 更新时间:2020-10-22 12:50:34
400-029-0925


