我的女儿瑟琳娜,在查出恶性脑瘤后最常跟我说的一句话是:妈妈,我没事。她仿佛一口深不见底的井,平静地吞下所有病痛,不愿意将脆弱表现出来,被人看见。可是,那年她才3岁。 我总是将目光紧紧锁在她身上,生怕漏掉她每一次的皱眉或抿嘴。然而我没想到的是,当肿瘤真正发难时,一个3岁小女...
我的女儿瑟琳娜,在查出恶性脑瘤后最常跟我说的一句话是:“妈妈,我没事。”她仿佛一口深不见底的井,平静地吞下所有病痛,不愿意将脆弱表现出来,被人看见。可是,那年她才3岁。
我总是将目光紧紧锁在她身上,生怕漏掉她每一次的皱眉或抿嘴。然而我没想到的是,当肿瘤真正“发难”时,一个3岁小女孩的忍耐力是远远不足以抵抗的。
那天,正在上班的我突然接到幼儿园老师的电话,告诉我瑟琳娜突然晕倒了。我不知所措地赶到幼儿园时,却被告知女儿早已被救护车送去了医院……
01。
医生宣布女儿病危
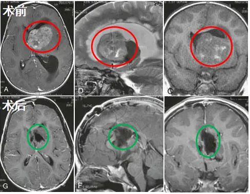
当我在医院看到我的女儿瑟琳娜时,她依然躺在病床上,人事不省。医生拿着核磁走向我,指着片子上显而易见的巨大侧脑室肿瘤对我说:“你女儿情况不妙。”我下意识地追问,医生告诉我:“脑积水已经将孩子的大脑撑到变形,而且这个肿瘤也严重威胁到了她的生命,必须紧急抢救,不然来不及了!”

我看着手中的病危通知单,一时间头晕目眩。幸好旁边的一双手及时扶住了我,是一位看着与我差不多大的女士,她了解完我女儿的状态后却露出了一个笑容:“或许,今天你女儿有救了。”
02。
一个巧合下,女儿被推入手术室
我还想追问这位女士,但随即向我走来另一位医生,他先是与身旁的女士交代了一些注意事项,然后看着我,对我说瑟琳娜需要马上手术,而他将是这台手术的主刀。
“这是巴教授,今天恰好他在,可以给你女儿手术。别担心,我儿子就是教授手术全切的,现在已经回学校上学啦!”一旁的女士安慰着我,而我转头看向病房中的女儿,开始祈祷即将到来的手术能让这个恶性脑瘤“高抬贵手”放过我的女儿。
03。
女儿术后对我说:“妈妈,我没事了”
情况危急,巴教授向我解释了这场手术的具体规划:他们将先通过脑室外引流术缓解致命的脑积水,随后在精密神经导航的辅助下,为瑟琳娜实施高难度的肿瘤切除手术。
在我同意后,女儿被推入手术室。经过数小时的煎熬等待,走出手术室的巴教授笑着告诉我,肿瘤得到全切,手术十分成功。我紧绷的情绪再也克制不住,瞬间泪流满面。我可爱的女儿瑟琳娜,她得救了。

尽管女儿的肿瘤属于高级别的间变性室管膜瘤,以后还需要放化疗,但是我知道,这一次的难关我们成功闯过来了,也为后续的辅助治疗提供良好的基础!
很快,女儿成功醒来,当我再次跟她对视,她仿佛已经得知自己的幸运,她对我说:“妈妈,我没事了。”从以前强忍病痛的“没事”,到如今真心实意的“没事了”,我们经历了太多大起大落。
修养一段时间后,女儿正式开始化疗,如今,她脑袋中的巨瘤已被铲除,只需要后续治疗控制复发,并定期前往巴教授所在的医院复查即可。女儿能有如今的状况,我已十分满足,只希望我的女儿瑟琳娜,将来能不再违心地说出那句“没事”。
案例来源:Helmut Bertalanffy.Ventricular Tumors.YoumansNeurological Surgery.2011
- 文章标题:女儿因恶性脑瘤昏迷后,医生宣布病危,而我却看到一丝希望
- 更新时间:2025-10-11 16:23:28
-
James T. Rutka教授证明了MRgFUS开启BBB后脑干的组织学和功能完整性得以保留,并且能够显着...
2020-10-28 14:52:40
-
如何合适护理脑瘤患者 脑瘤术后患者肺部护理的注意事项? 答:当患者咳嗽反射减弱造成...
2021-09-24 10:48:21
-
巴教授您好,我是您的小患者。非常感谢您在4年前用一场手术使我重获新生,不再受病...
2026-01-31 13:58:56
-
近几年,各种小儿脑瘤病例好似越来越多,这让我们不禁感叹,不管怎样的温柔呵护下,...
2025-12-31 15:35:16
-
外媒曾报道,印度一名9岁女孩不幸患上了脑部肿瘤。令人称奇的是,医生竟安排她在清...
2021-06-16 11:24:58
-
您是否知道,我们每一次就诊留下的病历和检查资料,究竟有多重要? 也许在大多数情...
2025-11-20 23:51:49
-
一般脑瘤都有良恶之分,良性的 脑瘤 生长缓慢,不易转移,患者只要及时治疗,便能得...
2020-05-07 14:40:19
-
近日,一则新闻上了微博热搜:#2岁幼儿频繁呕吐查出右小脑布满肿瘤#一名2岁3个月的患...
2022-07-05 16:18:13
-
素来以生长迅速、预后差、复发程度较高而著称的 胶质母细胞瘤 (GBM)是当之无愧的致...
2020-04-14 20:11:21
-
目前儿童 恶性脑肿瘤 的治疗主要是手术、化疗和放疗相结合的多模式治疗,且取得了良...
2020-03-20 20:28:00
-
中枢神经细胞瘤(central neurocytoma, CN)较早在1982年被哈森和他的同事发现并命名。在较新...
2021-08-09 10:13:22
-
目前,脑肿瘤质子治疗患者数量不断增加,学术界对质子治疗技术优势的认识也在不断加...
2020-06-23 13:29:02
-
如何较大限度顺利切除功能区胶质瘤?胶质瘤手术运动功能区定位技巧...
2020-12-25 11:55:13
-
法国巴黎居里癌症研究所(Institut Curie)一直以来都是国际肿瘤(包括脑瘤)病人进行质...
2020-07-08 13:56:39
-
斜坡深居颅底中央,是颅底的一个不同区域,手术位置深在,Ⅲ~Ⅻ颅神经与椎-基底动脉穿行...
2021-03-01 11:23:01
-
INC团队这几年来接触了许多的脑干肿瘤患者,有赴德手术成功全切的、有咨询后建议保守...
2023-01-12 23:09:29
-
在往期文章中,我们已经讨论了孩子在开颅手术后需要及时补充营养以加快身体康复的一...
2025-09-02 13:42:23
-
脑肿瘤手术要在头上动刀,很多病患家庭还没做手术就被告知手术出现的各种可能并发症...
2022-11-03 15:58:57
-
4岁的可可常常莫名发笑,痴痴的笑容令父母感到奇怪,而且严重时甚至会在一天内发笑...
2025-09-03 17:36:53
-
孩子弯腰受限,就医竟是少见脑肿瘤惹的祸 七八岁的孩子正是活泼好动的时候,男孩齐...
2024-01-31 09:51:22