头部受伤,真的会直接导致脑瘤吗?答案通常是否定的。但一次意外,却可能成为发现隐藏的巨大危机的契机。25岁年轻女孩就因头部受伤查出岩斜区肿瘤,剧烈头痛与突发眼睑下垂、视物重影,竟是肿瘤压迫脑干与动眼神经的紧急信号!高难度手术切除肿瘤,她的症状也得到恢复。

是受伤还是脑瘤?年轻女孩的诡异症状
25岁的路易丝经历了这样惊心动魄的一幕。一次头部外伤后,她出现了剧烈的头痛和右侧动眼神经完全性麻。
什么是动眼神经完全性麻?动眼神经(第Ⅲ对脑神经)完全损伤导致的眼部运动及瞳孔功能障碍。这意味着她的右眼眼皮下垂、眼球无法自由转动,看任何东西都存在难以忍受的重影。
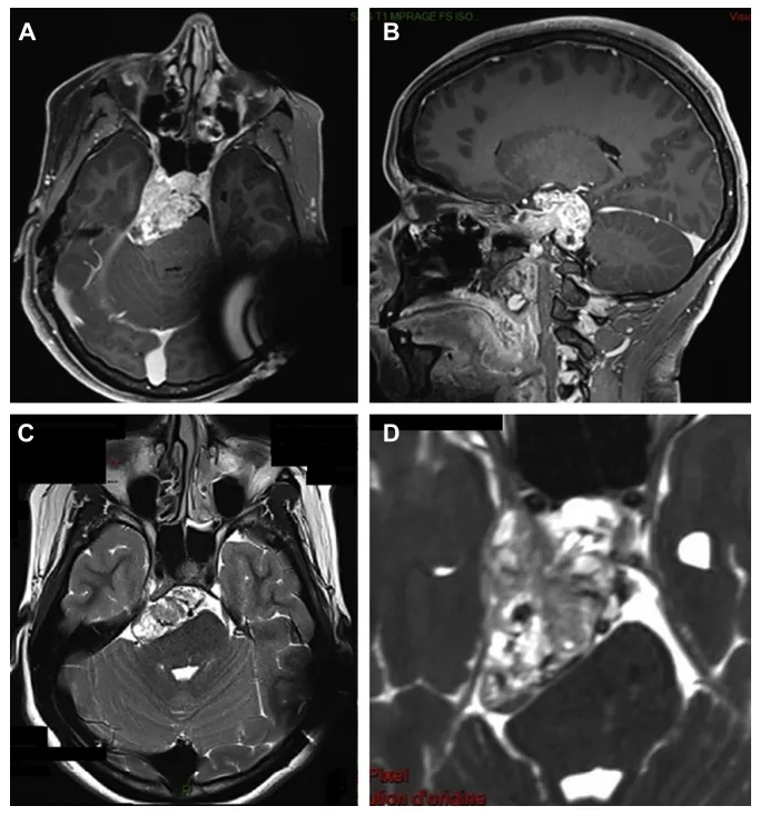
蹊跷的是,路易丝初诊时,CT检查并未发现颅内出血或脑挫裂伤,仿佛一切只是轻微外伤。然而,严重的症状并没有随着时间缓解,进一步的核磁共振(MRI)检查发现:一个巨大的肿瘤正盘踞在她颅底危险的“岩斜区”,甚至已将生命中枢——脑干已经被挤压移位(图1A-C),符合起源于右侧动眼神经的神经鞘瘤特征!
更加精细的FIESTA序列清晰显示,肿瘤沿动眼神经走行,经海绵窦上壁突入窦内(图1D)。

神经压迫神经,怎么解决?
因出现了梗阻性脑积水,情况紧急,先进行了脑室-腹腔分流术,为大脑“减压”。
2个月后经前方岩骨入路(anterior transpetrosal approach)联合侧裂入路(trans-Sylvian route)切除肿瘤。
术中应用神经导航,并持续监测动眼神经、三叉神经、展神经、面神经、前庭蜗神经及脑干运动/体感诱发电位。
肿瘤质软、易吸除,有完整包膜,与听神经鞘瘤或三叉神经鞘瘤相似;动眼神经纤维呈“叠瓦状”包绕肿瘤上内侧,为避免损伤,有意残留薄片肿瘤附着于神经。术中出血极少。
术后动眼神经麻迅速改善,3个月复查功能完全恢复。病理证实为神经鞘瘤(图3A)。
术后MRI

该案例来源于INC福洛里希教授2020年发表的论文《Oculomotor Neurofibroma:A Different Histology Implying an Unsatisfying ClinicalOutcome》。
头部创伤会导致脑瘤吗?
头部创伤后发生脑肿瘤的个案报道可追溯至1922年Harvey Cushing的报道。许多其他观察结果提示,头部创伤是脑肿瘤的一个潜在危险因素。关于脑膜瘤的证据强,而关于胶质瘤的证据不太一致。
其他类型脑肿瘤的证据包括如下:
一项纳入190万例的研究中,与无创伤性脑损伤(TBI)的相比,有穿透性或中/重度TBI病史的脑癌风险增加,但轻度TBI风险未增加。除了“恶性脑肿瘤”诊断类别外,该研究没有提供脑肿瘤类型,“恶性脑肿瘤”是针对原发性而不是继发性/转移性脑肿瘤。TBI和脑肿瘤无关或仅弱相关,特别是对于损伤较严重的患者亚组。
另外一项研究,纳入228,055例因头部损伤而住院的案例,平均随访8年发现,脑肿瘤中仅血管母细胞瘤和血管瘤的风险增加达到统计学意义。胶质瘤或脑膜瘤的风险未增加,血管母细胞瘤和血管瘤病例数少。

儿童期脑肿瘤在第一胎儿童(产伤的风险更高)和有明确产伤(产钳分娩、滞产、剖宫产)史的儿童中可能更常见。然而,有关儿童期脑肿瘤的其他研究尚未确定这些人群中风险增加。
究竟哪些因素会导致脑瘤?
事实上,对于脑瘤诱发因素,科学家们正在努力探索多种风险因素与脑瘤发生的关系。风险因素是任何增加一个人患脑瘤机会的因素。虽然风险因素通常会影响脑瘤的发展,但不一定直接导致脑瘤。目前来说,“电离辐射”是脑肿瘤唯一被牢固确立的、环境危险因素。
1.遗传。1%-5%的脑肿瘤由遗传综合征导致,这类遗传综合征可增加神经系统肿瘤的发生风险。其中部分肿瘤与神经纤维瘤病和几种其他遗传性综合征相关。包括1型神经纤维瘤病、NF2相关神经鞘瘤、Li-Fraumeni综合征、von Hippel-Lindau综合征、基底细胞痣综合征、家族性腺瘤性息肉病、错配修复缺陷。
2.电离辐射。电离辐射(包括X射线)对大脑或头部进行的治疗已被证明是脑肿瘤的危险因素。
- 文章标题:一次头部外伤,竟意外查出颅底肿瘤!脑外伤真的会导致脑瘤吗?
- 更新时间:2025-09-21 13:39:07
400-029-0925


