▼脑瘤凶猛侵袭▼ 短短4年,遭遇4次复发,每次复发都伴随着肿瘤的一再恶化。Ki-67指数更是从1%飙升至30%!7岁孩童究竟遭遇了什么骇人脑瘤,他又是如何逃出生天的? 额骨肿块揪出脑瘤谜团 年仅7岁的孩子,因额头异常肿大而就医检查,没想到检查结果令人震惊CT显示孩子右侧额骨存在溶骨性病变,且已...
▼脑瘤凶猛侵袭▼
短短4年,遭遇4次复发,每次复发都伴随着肿瘤的一再恶化。Ki-67指数更是从1%飙升至30%!7岁孩童究竟遭遇了什么骇人脑瘤,他又是如何逃出生天的?
额骨肿块揪出脑瘤谜团
年仅7岁的孩子,因额头异常肿大而就医检查,没想到检查结果令人震惊——CT显示孩子右侧额骨存在溶骨性病变,且已穿透骨板和颅骨外板!为了揪出孩子脑袋中的“恶魔”,医生决定进行手术切除,可结果却出乎所有人意料……
手术全切

手术完整切除了额骨肿块,切下来的额骨证实了肿瘤已穿透外板,而其横切面具有橡胶样的纤维质地。
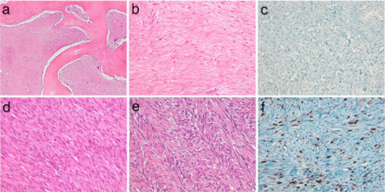
组织学分析

经过全面的免疫组织化学评估,诊断为细胞密度低、异型性轻微的纤维母细胞增生,并侵入原有的松质骨和皮质骨(a)。此时的低细胞密度梭形细胞肿瘤(b),Ki67指数为1%(c)。
然而,在术后4年的随访期间,该患儿一共出现4次复发,且每次复发时组织学分级均有所增加,最终诊断为成人型纤维肉瘤。直至第3次复发时,组织学评估为细胞密度高,异型性中等,偶尔见有丝分裂(d)。此时的肿瘤确认为高级别纤维肉瘤,呈“人字纹”(e),Ki67指数为30%。
什么是纤维肉瘤?
由成纤维细胞组成的恶性肿瘤
纤维肉瘤并不多见,可在任何性别及年龄中发病,但一般在30-70岁间的发病率较高,很少在10岁前发病,上文中儿童额骨发生的成人型纤维肉瘤病例更为罕见,部分为先天性发病者。起源于头部或颈部的纤维肉瘤较少,可伴有多少不等的胶原纤维,瘤细胞常呈鱼骨样或人字形排列。
婴儿型纤维肉瘤
又称先天性纤维肉瘤,这种类型通常在出生时或出生后不久出现。它生长迅速,可形成巨大肿块,表皮可能出现水肿或溃疡。但很少扩散,通常可以治愈。一般可通过手术完整切除,预后较好,10年生存率为90%,病死率<5%,局部复发率25%-40%,转移率8%-15%。
成人型纤维肉瘤
这种类型常见于20-60岁的成年人,但它也可以影响儿童和青少年。与婴儿型相比,成人型纤维肉瘤通常更具侵袭性且更难治疗。通常首选治疗为手术完整切除,复发率为12%-79%,5年生存率为55%,25%左右的病例可从低级别向高级别转化。
总体治疗原则
对纤维肉瘤的治疗主要为手术切除,对成年病例,肿瘤切除应彻底,而对儿童病例要求则不如成人者高,切除边缘应广泛。对成年患者及高级别纤维肉瘤适用于根治性边缘切除术。放化疗仅能取得中等或多变而不恒定的治疗效果,因此只能作为辅助性治疗。
- 文章标题:4年遭遇4次复发,Ki67飙升30%!这个脑瘤究竟有多可怕?
- 更新时间:2025-10-09 16:07:25
-
很多脑瘤患者不知道如何判断自己的脑瘤到底是良性还是恶性,甚至误以为都是恶性。一...
2020-10-20 11:13:04
-
孩子弯腰受限,就医竟是少见脑肿瘤惹的祸 七八岁的孩子正是活泼好动的时候,男孩齐...
2024-01-31 09:51:22
-
近年来,清醒开颅术在癫痫和肿瘤手术中越来越常见。对于运动损伤较小、切除体积较大...
2021-04-29 19:21:51
-
脑瘤能治好吗?为了着手解决这些问题并好转脑肿瘤患者的预后,英国癌症研究中心(C...
2020-12-16 16:00:45
-
颅内占位 性病变(ICSOL),由于病变发生在大脑,一般都是比较严重的,所以及早发现、及...
2020-04-24 20:20:58
-
脑瘤开颅术后复发怎么办?可以做第二次手术吗? 41岁的凯茜没想到 胼胝体肿瘤 开颅之后...
2025-06-23 15:02:56
-
得了脑瘤怎么办?虽然发现脑瘤后不必急着做手术,但治疗脑瘤,手术应该是一步。脑部...
2021-08-03 10:44:11
-
仅在美国,每年就有超过12000名儿童被诊断出患有癌症。在这些癌症中, 儿童脑瘤 是较...
2020-04-17 18:06:35
-
恶性脑瘤能治好吗?激光间质热疗(LITT)微创切除脑肿瘤,自几十年前问世以来,LITT一直...
2021-07-14 11:57:14
-
外媒曾报道,印度一名9岁女孩不幸患上了脑部肿瘤。令人称奇的是,医生竟安排她在清...
2021-06-16 11:24:58
-
孕妇患脑肿瘤,对其本人、家庭及其医生来说都是一件意外的事。妊娠特定的生理变化不...
2022-08-09 10:27:58
-
SickKids:一种有希望的治疗复发性儿童脑瘤的新方法CAR-T临床试验招募中 一个多机构的国...
2023-03-17 16:45:58
-
近日,一则新闻上了微博热搜:#2岁幼儿频繁呕吐查出右小脑布满肿瘤#一名2岁3个月的患...
2022-07-05 16:18:13
-
开颅手术对儿童来说是一场以寡敌众的硬仗,然而,当孩子稚嫩的身体被迫遭遇脑瘤的侵...
2025-08-24 14:02:51
-
2008年,美国估计有52236例原发性脑瘤(PBT)新诊断,其中22000例为恶性(恶性肿瘤6/10万,良性...
2021-06-18 14:35:31
-
手术前一天,巴教授都会对患者进行常规术前谈话,就手术方案、术前注意事项和患者进...
2023-04-13 21:20:46
-
脑肿瘤头痛的病因是多因素的。在对接受开颅手术的患者进行的一系列经典实验中,雷和...
2021-08-04 10:38:36
-
脑瘤治疗新技术:激光消融术脑瘤,磁共振成像引导的激光间质热疗是利用激光释放的热...
2020-12-11 14:23:32
-
儿童脑瘤怎样顺利完成宝宝的脑部核磁共振检查?镇静剂会产生不良影响吗? 3岁的妞妞...
2022-07-05 09:48:00
-
素来以生长迅速、预后差、复发程度较高而著称的 胶质母细胞瘤 (GBM)是当之无愧的致...
2020-04-14 20:11:21