转移性脑瘤(也称为脑转移瘤或继发性脑瘤)是从身体其他部位开始并扩散到大脑的癌症。转移性脑瘤通常包含在原发癌部位发现的相同类型的癌细胞。例如,肺、乳腺、皮肤、结肠或肾脏中的癌细胞可以通过血流进入大脑,引起转移性肿瘤。脑转移瘤可以是单个肿瘤或多个肿瘤。

转移性脑瘤目前是全部瘤种中发病率增长较快的。由于治疗方法的改进,人们在癌症中存活的时间比以往任何时候都长。然而,原发性癌症可以在体内继续存在,并且随着时间的推移,可能在脑中作为转移性脑瘤复发。
转移性脑瘤发生率
•转移性脑瘤是成人常见的脑瘤。据估计,脑转移的发生率比全部原发性脑瘤的发生率之和高十倍。
•在45-64岁的人群中发病率开始增加,在65岁以上的人群中发病率较高。随着癌症患者的寿命延长,更多的人会出现转移。
•转移性脑瘤的确切发病率尚不清楚,但估计每年有20万至30万人。
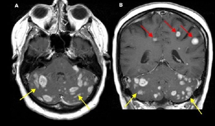
•研究表明,大约80%以上的转移性脑瘤是由脑内多个肿瘤引起的,10-20%是由单个肿瘤引起的。
•大约85%的转移病灶位于大脑,15%位于小脑。
•虽然黑色素瘤在男性中比女性更容易扩散到大脑,但性别似乎在脑转移的总发生率中不起作用。
•皮肤癌(黑色素瘤)、肺癌和乳腺癌是常见的脑转移癌,占全部癌症的67%-80%。
•中枢神经系统转移在儿童中很少见,仅占儿童中枢神经系统肿瘤的6%。
转移性脑瘤症状
转移性脑瘤的症状与原发性脑瘤的症状相同,并且与肿瘤在脑中的位置有关。头痛和癫痫是脑瘤常见的两种症状。一个人思考和处理思想(认知)的方式受到干扰是另一个常见症状。运动问题,如身体一侧虚弱或行走不平衡,可能与控制这些功能的大脑部位的肿瘤有关。
特定类型的转移
肺癌脑转移
•男性和女性常见的脑转移类型。
•脑瘤通常在原发性肺肿瘤之前、同时或之后不久被发现(平均6至9个月)。
•多发性脑转移很常见。
乳腺癌脑转移
•女性二常见的脑转移类型。
•转移往往发生在乳腺癌发现后的几年(平均2-212年),但治疗后5年或10年的转移并不少见。
•通常在年轻女性和绝经前女性中发现,因为她们往往有更多的三阴性乳腺癌。
•更常见于三阴性或HER2/neu阳性乳腺癌妇女。
•两个或更多转移性脑瘤是常见的。
黑色素瘤脑转移
•男性二常见的脑转移类型。
•转移往往发生在原发性黑色素瘤之后几年。
•多发性脑转移很常见。
•转移性黑色素瘤富含易于出血的血管。
结肠/结肠直肠脑转移
转移往往发生在发现原发肿瘤几年后。
单一转移性肿瘤很常见。
肾/肾向脑的转移
•转移往往发生在原发肿瘤后的几年内。
•单一肿瘤很常见。
•转移性肿瘤通常含有易于出血的血管。
转移性脑瘤治疗
治疗决策不仅要考虑长期生存的可能性,还要考虑治疗期间和治疗后的生活质量,以及认知问题。在计划你的治疗时,你的医生会考虑几个因素。
•你的癌症史
•癌症的状况
•你的整体健康
•转移性肿瘤的数量和大小
•脑或脊柱内转移性肿瘤的位置
•肿瘤对过去治疗的反应及其对未来治疗的潜在反应
转移性脑瘤的三种主要治疗方法包括手术、放射和药物治疗(化疗、靶向治疗或基于免疫的治疗)。你的医生可能会建议结合这些疗法。
和任何疾病一样,脑瘤治疗也可能有副作用。请你的医生解释这些影响。他或她也可以帮助你和你的家人平衡治疗的风险和益处。
全脑辐射
全脑放射是转移性脑瘤的一种常见放射形式,是当存在多个肿瘤(超过三个)时。这种疗法的目的是治疗影像扫描上看到的肿瘤和太小而看不见的肿瘤。因此,全脑辐射可能既是预防又是治疗。
关于全脑辐射的一个重要且普遍的问题是它对认知和思维的可能影响,因为大脑的很大一部分受到辐射的影响。这方面的研究正在进行中。
立体定向放射外科
立体定向放射外科是放射治疗的一种不同形式。SRS是一种不同类型的辐射,可以将精确聚焦的高剂量x射线束传送到大脑的一个小的局部区域。因为SRS比全脑辐射更接近肿瘤,所以它可以向肿瘤部位提供更高、更合适的治疗剂量。
较近的进展使得立体定向放射外科成为一些脑转移患者的合适治疗选择。为了避免和保护周围正常的脑组织,放射外科将高剂量的辐射束比全脑辐射更靠近肿瘤。这种方法较常用于肿瘤少于三个且肿瘤相对较小(直径为3厘米或更小)的情况。另一个考虑因素是肿瘤是否在大脑的功能区,例如,语言和运动局部区域。
放射外科也可用于治疗外科无法触及的肿瘤,如脑深部肿瘤。如果以前进行过全脑辐射,它也可以用于复发,或者作为全脑辐射后的局部“促进”。立体定向放射外科机器的例子有直线加速器放射外科、伽玛刀或射波刀。
外科手术
当只有一个肿瘤,并且癌症还没有扩散到身体的其他部位时,手术可能更常用。有些肿瘤可能会被完全切除。深度肿瘤或延伸到脑组织的肿瘤可以缩小(去瘤)。当肿瘤无法切除时,手术可以减轻压力,缓解症状。
脑瘤手术较重要作用之一是解除占位效应,比如肿瘤压迫脑干等关键位置,病人会随时有生命风险,那么首先手术切除肿瘤可以迅速合适地降低颅内压,缓解暂时危险,为后续的治疗创造机会。其二是进行病理分型以进行相关分子、基因学诊断,明确肿瘤的病理分型对于后续的治疗以及判断病人的预后重要,指南明确地肯定了肿瘤的切除程度影响着放化疗的效果。
虽然脑瘤手术因在血管、神经密布的大脑深处动刀错综复杂,一直以来是神经外科的较大挑战,但仍有不少神外专家仍敢于直面挑战,擅于用柳叶刀在大脑内准确摘除病变,且以顺利及高切除率的脑瘤手术著称。INC国际神经外科医生集团旗下国际神经外科顾问团的法国Sebastien Froelich教授、加拿大James T.Rutka教授和德国巴特朗菲教授就是其中的代表。
INC国际神经外科医生集团提醒:脑瘤治疗特别是脑胶质瘤需要神经外科、神经影像科、放射治疗科、神经肿瘤科、病理科和神经康复科等多学科合作,遵循循证医学原则,采取个体化综合治疗,优化和规范治疗方案,以期达到较大治疗效益。为使患者获得高水平化的综合治疗,医师需要对患者进行密切随访观察,定期影像学复查,兼顾考虑患者的日常生活、社会和家庭活动、营养支持、疼痛控制、康复治疗和心理调控等诸多问题。
- 文章标题:转移性脑瘤是什么?治疗策略如何抉择?
- 更新时间:2020-03-24 18:58:52
400-029-0925




