怀疑脑转移瘤需要手术吗?
转移瘤是成人常见的颅内肿瘤,占所有颅内肿瘤的一半以上。脑转移瘤是由起源于另一个器官的肿瘤细胞通过血液到达大脑而引起的肿瘤。脑转移瘤最常见的原发肿瘤包括肺癌、乳腺癌、肾癌、结直肠癌和黑素瘤。而前列腺癌、食管癌、口咽癌和非黑素瘤性皮肤癌很少转移到脑部。儿童常见的脑转移瘤来源是肉瘤、神经母细胞瘤和生殖细胞肿瘤。
罹患肾癌,又查出脑瘤
65岁的汤姆是一名与肾癌抗争的战士,即便身患重病,他也从未放弃对生命的热忱与追求。然而,命运再次向他发起挑战——出现认知障碍后,医生在他的脑室中发现了一处肿瘤。鉴于他以往的癌症病史,临床首先推测这很可能是一处肾癌脑转移瘤。

A与B:术前轴位增强T1加权MRI
“脑转移瘤,还有继续治疗的意义吗?”——这不仅是一个医学问题,更成了横亘在汤姆和家人心中的艰难抉择。面对困境,汤姆依然选择了希望,选择再次为生命而战,最终找到了巴教授。

这台手术由巴特朗菲教授主刀,成功地将肿瘤完整切除。而最令人意外的是,最终的术后病理结果逆转了所有人的预判:那并非恶性的转移瘤,而是良性脉络丛乳头状瘤。这个结果证明汤姆的选择是对的。(该案例来自于INC巴特朗菲教授的《Ventricular Tumors》)

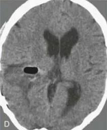
术后CT证实无残留(D)
脉络丛乳头状瘤是什么瘤?
脉络丛乳头状瘤(choroid plexus papillomas,CPPs)在成人颅内病变中的占比约为0.5%–0.6%,而在儿童颅内肿瘤中占2%–5%,是2岁以下婴幼儿最常见的颅内肿瘤之一。若病灶位于侧脑室,诊断时的中位年龄为18个月,且无性别倾向。约20%的儿科病例可发生恶性转化。肿瘤外观与脉络丛球部相似,由单层立方或柱状上皮包绕纤细的纤维血管轴心构成。根据最新WHO分类,脉络丛乳头状瘤属WHO I级。影像学上,肿瘤常伴钙化、出血或囊变;部分病例可完全充填脑室腔,亦可表现为同侧脑室显著扩张。
手术切除为首选治疗方案。术中首先显露并离断来自脉络膜动脉的近端血供,早期去血管化。随后采用超声外科吸引器(CUSA)进行瘤内减容。
INC鲁特卡教授也曾为一名脉络丛乳头状瘤患儿进行手术——磁共振成像(MRI)显示,奥利佛右侧脑室后角有一个大肿块,考虑脉络丛乳头状瘤病变,并有蒂连接,伴有中度脑积水。

鲁特卡教授通过右顶骨开颅手术和侧脑室切开后中央回后方的皮质切口。暴露血管高度丰富的肿瘤,逐块切除肿瘤。

经过鲁特卡教授的手术治疗,奥利佛康复得十分顺利。两周后,奥利佛的所有体征和症状术后均已缓解。CT扫描结果显示,脑积水减少,脉络丛正常。他平安出院,术后也无需任何辅助治疗。
脑转移瘤如何诊断?
增强MRI是诊断脑转移瘤的首选影像学检查。CT可突出显示脑转移瘤相关的钙化,尤其是非小细胞肺癌患者中。脑转移瘤最常为边界清楚的离散性肿块,使用对比剂后会强化。一些转移瘤为囊性,或兼具囊性和实性成分。有助于鉴别脑转移瘤与其他中枢神经系统病变的其他影像学特征包括:
●存在多个病灶
●病灶位于灰白质交界处
●边界清楚,与高级别胶质瘤不同,后者具有浸润性边缘
●与病灶尺寸不相符的大量血管源性水肿
●没有明显的弥散减少,尤其是病灶中心或核心;肿块中心的水弥散下降是化脓性脑脓肿的典型表现
●几乎所有脑转移瘤都会强化,但强化模式不一
脑转移瘤怎么治?
体能状态良好患者的治疗目标是:实现对中枢神经系统病变的长期控制、尽量减少治疗的早期和晚期不良反应,并维持生存质量。
虽然手术和放疗仍是多数患者的主要治疗方式,但所有治疗决策都应综合考虑以下因素:基础组织学类型、全身性疾病状态以及有无能够控制颅内病变的全身性治疗。
神经外科麻醉和神经外科技术的进步显著提高了手术切除脑转移瘤的安全性,使更多患者可接受该治疗,包括病灶位于脑功能区和非功能区的患者。对于可外科治疗的较大或伴有严重水肿和占位效应的单发转移瘤,手术切除可以快速缓解症状、实现局部控制。经仔细选择的患者中,相比单纯放疗,手术切除可延长生存期并降低神经系统相关死亡的风险。影像学表现不能确定单发病灶的组织学诊断,也优选手术治疗。
参考资料:脑转移瘤的治疗概述.UpToDate临床顾问.
- 文章标题:查出肾癌又遭脑瘤打击,是转移瘤还是原发?手术还是放疗?
- 更新时间:2025-08-29 17:11:26
400-029-0925




