孩子弯腰受限,就医竟是少见脑肿瘤惹的“祸”
七八岁的孩子正是活泼好动的时候,男孩齐齐也一样,刚上小学的他身上仿佛身上有使不完的劲。
爸爸妈妈虽然偶尔因为齐齐调皮而头疼,然而看着孩子一天天健康成长,心理也欣慰。
但是在2022年9月开始,齐齐父母发现孩子弯腰时动作笨拙迟缓,齐齐也开始向父母抱怨腰背不舒服。
但是孩子除了弯腰有问题,并没有其他症状。
2022年12月,齐齐的弯腰受限还是没有得到缓解
“这么小的孩子难道会得脊柱炎吗?”齐齐父母带孩子来到儿童医院风湿免疫科进行检查。
入院后,齐齐进行了脊髓及颅脑核磁共振检查。

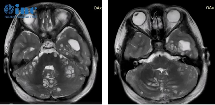
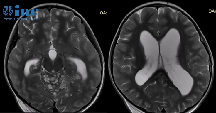
脊柱磁共振显示脑膜弥漫性强化,脑膜覆盖多处结节性病变,以及实质内病变和结节性小囊肿。

颅脑磁共振序列可见脑膜明显强化,是脑干腹侧表面上的软脑膜。
小脑弥漫性可见多发囊性病变,特别是上叶正中区和上蚓部,可能导致脑脊液循环障碍伴继发性脑室扩张。

一系列的检查后,原来孩子是脊髓和颅脑内出了“问题”
齐齐随即被转到神外科室,行椎管内病损切除术(T6-T7)。
术中发现硬脑膜异常增厚,下层为红色组织,并切除部分无明确边界的髓内病变。
在一开始病理检查中,髓内异常组织和增厚的蛛网膜标本均显示严重的纤维化反应。诊断为纤维化的和蛛网膜样组织。
2次病理检查,诊断为蛛网膜囊肿壁样组织。
为了进一步明确病理诊断,在2023年2月对后窝内的异常组织进行了活检术。这次诊断为弥漫性软脑膜胶质神经元肿瘤。
然而,三周后,孩子的临床状况进一步恶化,并出现头痛、呕吐和偶然性的排尿困难。症状和体征被解释为由脑积水进展导致的,因此,进行了脑室腹腔分流术。

术后,除了在弯腰时持续受到限制和左腿抬起困难,齐齐临床状况恢复到正常的神经状态。
看到孩子生病受罪,齐齐父母无比心疼。想到孩子还那么小,颅内的少见的肿瘤也并没有切除,威胁孩子健康的隐患依旧存在。他们决心要为孩子找到的治疗方案。
多方查询下,齐齐父母找到国际儿童神外教授——INC意大利Di Rocco教授,他对于儿童疑难神外疾病,有着几十年的丰富治疗经验。
Di Rocco教授:国际儿童神经外科的教科书级别人物
作为国际公认的儿童神经外科教授,Concezio Di Rocco教授在儿童神经外科领域的临床治疗经验颇为丰富。自2014年起,Di Rocco教授就担任了德国汉诺威国际神经科学研究所(INI)的儿童神经外科主任。Concezio Di Rocco教授尤为擅长小儿神经纤维瘤、癫痫、脑积水、蛛网膜囊肿、颅缝早闭、脑和脊髓肿瘤、脑和脊柱畸形(半椎体畸形、皮质发育不良、脊髓脊膜膨出、脊髓内脂肪瘤、Arnold-Chiari畸形)等难治病症方面的治疗,进行过12000多次神经外科手术。

Concezio Di Rocco教授曾受到来自法国、埃及、吉尔吉斯斯坦等国家的邀请进行讲座和现场演示,且联合小儿神外专家创办了儿童神经外科研究所课程,该项课程在过去三十年里为国际培养了无数儿童神经外科医生,包括目前国内若干三甲医院的儿童神经外科主任专家,都曾是他的学生。Concezio Di Rocco教授将其前沿的治疗技术交流给国际各地儿科神经外科医生进行借鉴参考和学习,为国际儿科神经外科的发展做出了较大贡献。
尤为可贵的是,C.Di Rocco教授多年来一直热心于帮助中国儿童神外事业发展。“我15年以来经常会周游中国,所以,我能亲眼看到中国神经外科的发展。”作为INC旗下WANG的成员,他在INC现场专访中如是说。

在查看了齐齐的资料后,Di Rocco教授回复了一份详细的咨询报道,对齐齐父母关于孩子疾病的疑问以及后期的治疗建议。
Di Rocco教授对奇奇的诊断是什么?
基于后颅窝内病变的活检结果,当时诊断为弥漫性软脑膜胶质神经元肿瘤(DL-GNT),弥漫性软脑膜胶质神经元肿瘤是少见的肿瘤,主要出现在儿童时期(男性偏多),大多数是4至9岁的儿童。只有在少的情况下,青少年或年轻的成年人会出现这种肿瘤。症状主要由于伴有的脑积水造成(主要是头痛),而局灶性神经功能障碍,如果存在,也可能与脊柱根的受累有关,这取决于该病变的脑膜内位置。相关的脑积水被解释为脑脊液循环受阻,这是因为曾粗的软脑膜导致中脑导水管进行性的变窄,和因为蛛网膜下腔内肿瘤细胞的聚集。软脑脊膜的曾粗和脊柱内多发结节状的病灶导致孩子的弯曲能力受限和下肢被动伸展时有阻力。
从文献中提取的一些图像说明了刚才提到的情况:增强的蛛网膜的病理性增粗,肿瘤的多个结节状定位,相关的脑积水。大脑的非强化局灶性囊性病变是由血管周围间隙的局灶性扩大造成的,也是因为脑脊液循环受阻而扩大。





基于临床的资料(年龄、性别、非不同性的神经表现、脑积水)和神经放射学影像(特征性的颅内和椎管内结节性脑胶质增粗和强化,常伴有小囊性的非强化病变,蛛网膜下腔和室管膜表面的涂层),我可以确认弥漫性软脑膜胶质神经元肿瘤的诊断。
分子学分析提示这种肿瘤的典型特征(1p缺失、19表达(FISH);1q表达(FISH);BRAFKIAA1549融合基因),这是更具侵略性的亚型的特征(2-3级)。
弥漫性软脑膜胶质神经元肿瘤是什么病?
由于它的非不同的临床表现和少见性,DL-GNT在以往和高发的肿瘤相混淆,其特点是类似的弥漫性分布,如胶质神经瘤、少突胶质细胞瘤、星形细胞瘤、感染性疾病(能够诱发结节性弥漫性病变),即结核病和较少见的神经囊肿(此处考虑的儿童已排除感染性疾病)。
实际上,直到几年前,用许多定义解释DL-GNT(如播散性少突胶质细胞样软脑膜肿瘤、胚胎发育不良的神经上皮瘤样肿瘤、脑膜胶质瘤病、弥漫性软脑膜神经细胞瘤、弥漫性软脑膜神经节细胞瘤和弥漫性软脑膜少突胶质瘤病。
只是在过去十年中,DL-GNT才被认为是一个独特的肿瘤实体,并被纳入2016年WHO(国际卫生组织)的脑瘤分类。尽管在大多数情况下,肿瘤特点是有丝分裂指数低,可能相当于2级,但DN-GNT甚至在WHO中枢神经系统分类的五版(2021年)中也没有被划分等级,因为有一些病例表现为3级,即更具有侵略性。由于肿瘤的少见性和缺乏重要的临床研究(大多数病例偶尔以病例报告的形式报道),目前还不能确定预后,因此也不能确定合适的治疗策略。
在一些病例中,仅仅行临床观察,而在其他的病例中,则采用辅助的放疗和化疗(如单独的颅脊放射或联合的长春新碱、依托泊苷、环磷酰胺、顺铂、卡铂+长春新碱、替莫唑胺化疗)文献报道中没有病人对任何化疗方案表现出完全或部分的反应,而且由于接受治疗的儿童数量很少,以及疾病长期病程,因此无法对声称可能由化疗引起的延长生存期进行适当的评估。

现在,合适的化疗方案的希望是基于目前正在进行的大量DN-GNT的分子研究,这些研究可能会发现特定的分子异常、可能的治疗目标和肿瘤亚型的划分。
Di Rocco教授为患儿家属答疑解惑
1、根据病人目前的资料,您建议的治疗方法是什么?可行手术治疗吗?
由于肿瘤的弥漫性,不能进行手术,除非偶尔和少见的肿瘤肿块堆积压迫到大脑或脊柱,幸运的是您的孩子没有这种情况。孩子的临床表现是非特性的。弯曲困难提示脊柱炎症性疾病的可能性,一旦排除这种假设,立即进行CT和MRI检查。基于神经放射学的发现,对脊柱和颅骨都进行了手术,以获得病理组织进行组织学诊断。
2、如果不能做手术,您建议那种化疗方案或靶向免疫疗法的方案?
替莫唑胺是目前优选的化疗药物,我也会选择它,单独使用或与长春新碱和卡铂联用,孩子的年龄也适合考虑放疗。
3、病人的预后如何?
病例的少见性和病人的不均匀分布(长期生存者、稳定的肿瘤和恶性肿瘤中演变出的更具侵略性的),目前还不能评估单个病人的预后情况。虽然孩子的肿瘤有可能在未经治疗的情况下仍然保持稳定,但分子分析显示的基因异常特征,除了脑积水的分流外,辅助治疗可以合理地使您的孩子受益。
- 文章标题:8岁男孩罹患少见脑瘤,咨询国际小儿神外Di Rocco 教授如何回复?
- 更新时间:2024-01-31 09:51:22
400-029-0925




