颅内占位性病变(ICSOL),由于病变发生在大脑,一般都是比较严重的,所以及早发现、及早治疗是重要的。INC国际神经外科指出,对于颅内占位性病变的判别,患者可根据的早期症状进行判断,那么,颅内占位病变早期症状有哪些呢?

颅内占位病变早期症状有哪些?
大脑作为人体构造较复杂的器官,脑内组织和器官多,根据病变占位不同,也会出现不同的症状。总之,一般颅内占位性病变有以下常见的症状:
1、头痛、恶心、呕吐。头痛是常见的症状,感冒受凉、压力太大、心情不好都会出现头痛,但需要注意的是,头痛如果会进行性加重、越来越痛,则很可能是颅内占位性病变引起的。
2、单侧耳鸣或听力下降
3、视力下降或伴复视
4、性功能下降或月经紊乱/泌乳
5、嗅觉下降或幻嗅,幻嗅是指周围本来没有异味而闻到有怪味(幻嗅),可能是一种癫痫的不同表现,应高度警惕颞叶内侧面的肿瘤。
6、记忆力下降或反应迟钝。随着年龄的增大,有的会出现记忆力下降或反应迟钝些,这也比较常见。需要注意的是,如果在较短的时间内(如半年)出现明显的进行性记忆力减退或反应力下降,或年纪轻轻就出现上述症状,应该重视颅内有病变了!
7、行走不稳
8、一侧肌力减退或发麻
9、继发性癫痫
颅内占位病变是哪些疾病?是脑瘤的几率多大?
如果患者有以上多个症状,是颅内占位性病变的可能性大的,就应该及时到医院进行检查了。但每当患者的影像报告一出来,看到“颅内占位”四个字,许多患者首先便会想到脑瘤。实则颅内占位性病变(ICSOL)有多种病因,如感染性、肿瘤性和炎症性,并不是每种颅内占位都是脑瘤。那么,颅内占位病变是哪些疾病?是脑瘤的几率多大?颅内占位性病变的常见原因:
1、脑肿瘤:脑肿瘤是颅内占位性病变的常客,许多颅内占位都是脑瘤作怪,常见的转移瘤、胶质瘤、脑膜瘤、垂体腺瘤和听神经瘤占全部脑瘤的95%。
2、其他占位性病变:血肿,头部受伤后可能会出现血肿;脑积水;脑脓肿,脑脓肿并不常见,但危险因素包括慢性阻塞性肺病(COPD),它可能是全身循环的感染源;脑阿米巴病和囊虫病等。
3、CNS的感染和淋巴瘤在HIV的感染。
颅内占位病因多种,但脑瘤的几率更大
颅内占位病变(ICSOL)是脑瘤的几率多大?相关文献统计,在62例ICSOL中,脑肿瘤50例(80.6%),其中原发48例(96%),转移2例(4%)。原发性胶质瘤24例(50%),其中毛细胞星形细胞瘤8例(16.7%),GBM 8例(16.7%)。非肿瘤12例(19.4%)。表/图-1]。平均年龄26.72±11.2岁(0.4~80岁)。研究对象中男性29人(46.8%),女性33人(53.2%),男女比例为1:1.14。高峰年龄为31~40岁,占病例总数的27.4%。在全部年龄组中,男女之间没有统计学差异(χ)。2=1.75,p>0.05)。
在临床检查中,大部分病人出现头痛(67.7%),其次是呕吐、偏瘫、癫痫、头晕、发烧、感觉改变、视力下降和意识丧失[表/图2]

[表/图-1]:ICSOL的分布

[表/图-2]:ICSOL症状的表现
参考文献:Morphological Patterns of Intracranial Lesions in a Tertiary Care Hospital in North Karnataka:A Clinicopathological and Immunohistochemical Study
在另一文献统计中,ICSOL是脑瘤几率也是高,在40例ICSOL中,脑肿瘤36例(90%),其中原发肿瘤31例(77.5%),转移瘤5例(12.5%),非肿瘤性病变4例(10%)。
临床上,40例患者中,28例(70%)有头痛,20例(50%)有脑功能障碍(意识障碍或全身性惊厥),12例(30%)有偏瘫或偏瘫,4例(10%)有视觉症状(视力减退或复视),2例(5%)有行为改变(χ)。2=22.820;P价值=0.001)。

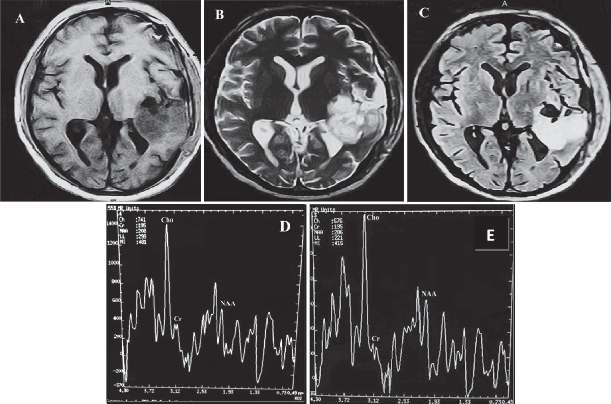
图3:按MRS评价的占位性病变组
参考文献:Intracranial space occupying lesions:could differentiation be reached without biopsy
颅内占位病变早期症状有哪些?是脑瘤的几率多大?总而言之,颅内占位病变早期症状大部分都会出现头痛、恶心、呕吐等生活中常见的症状,但还是与因感冒受凉等引起的普通头痛症状有所区别,患者应该仔细注意区分。另外,INC国际神经外科提示,如果真的是颅内占位性病变,虽然是脑瘤的几率大,或者就是脑瘤引起的颅内占位,患者也不用过于惊恐。在当前的医学水平下,患者只要能够及早治疗,尽量选择更好的医疗,比如国际神经外科医院和教授,在他们的手术、放疗等综合治疗下,患者一般都会有一个更好的预后。
- 文章标题:颅内占位病变早期症状有哪些?是脑瘤的几率多大?
- 更新时间:2020-04-24 20:20:58
400-029-0925




