人在情绪激动或大声说话时容易声音嘶哑,似乎是一个十分常见的现象,然而,当这件事发生在15岁的沫沫身上时,一切都发生了翻天覆地的变化。 不久后,沫沫开始出现头痛、扁桃体发炎、耳朵痛等症状,父母怀疑是感冒,于是在当地医院就诊后开始服药。尽管沫沫的症状有所好转,但是很快就又复发...
人在情绪激动或大声说话时容易声音嘶哑,似乎是一个十分常见的现象,然而,当这件事发生在15岁的沫沫身上时,一切都发生了翻天覆地的变化。
不久后,沫沫开始出现头痛、扁桃体发炎、耳朵痛等症状,父母怀疑是感冒,于是在当地医院就诊后开始服药。尽管沫沫的症状有所好转,但是很快就又复发了。
几个月来,沫沫在父母的陪同下跑了多家医院,情况依然没有改变。喉镜检查也无异常,沫沫只能继续服药,然而症状并无好转。本以为是一个小小的感冒,却怎么也治不好,这不禁让一家人悬起了心。
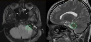
直到沫沫在另一家医院拍了核磁,真相才浮出水面:原来是在CPA区和颈静脉孔区长了一个不小的肿瘤!

当他决定为自己的人生负责一场手术改写结局
寻找手术机会
尽管沫沫年仅15岁,但他早已拥有了为自己的人生负责的能力。从影像上看,这个肿瘤位于颈静脉孔区,沿舌下神经管区走行,边缘清楚,最大横断面约2.4cmx2.0cm,左侧小脑半球、脑干略受挤压。
然而,要想解除这个隐患并非易事,颈静脉孔区是侧颅底的关键结构,解剖关系复杂,被称为“神经血管交叉路口”,有重要的血管和神经通过,因此也成为手术的重难区。而沫沫的肿瘤除了位置深,其解剖结构也异常复杂,与后组颅神经、脑干、颈内动静脉等关系紧密,手术难度更大,风险也更高。
在与家人和医生沟通后,沫沫依然决定手术,因为他知道等待无异于将生命交由病魔处置,他更想在身体状况相对较好时主动出击。拖延手术只会引发更严重的症状,如神经损伤、脑积水、共济失调等。

巴教授安全全切
与沫沫想法一致的,还有巴教授。在评估中,巴教授坦言:“一味等待可能会给肿瘤进一步生长的机会,对孩子没有什么帮助。因此,哪怕手术没有紧迫性,暂时等待也不是一个好的选择。”
最终,手术如期进行。巴教授顺利为沫沫全切肿瘤,术后的沫沫并无新发神经损伤,运动功能也未受影响,而这一切,都得益于这位少年超乎寻常的毅力与决心。沫沫如愿为自己的未来扫除了一个障碍,我们更希望他能一直保持这份勇敢,坚毅前行!

识别颈静脉孔区肿瘤,嘶哑+呛咳+无力
核心症状:颈静脉孔综合征
这是颈静脉孔区肿瘤最具特征的表现,主要源于通过颈静脉孔的三根主要颅神经受损。当舌咽神经受损,就会导致吞咽困难;当迷走神经受损,通常会造成声音嘶哑,这也是最常见、最早出现的症状之一,此外,还可能出现饮水呛咳;当副神经受损,则会导致转头无力、耸肩无力。
其他颅神经损伤
1.舌下神经:导致患侧舌头肌肉萎缩、无力,伸舌时舌头会偏向患侧。
2.面神经:导致周围性面瘫,如口角歪斜、眼睑闭合不全、额纹消失等。
3.三叉神经、展神经:导致面部感觉障碍、复视等。
耳部与听力问题
搏动性耳鸣是另一个极具特征性的症状。如听到与心跳一致的“咚咚”或“呼呼”声。此外还会出现听力下降、耳闷胀感、耳痛、耳道出血等。
晚期症状
当肿瘤已经生长至巨大时,就很可能引发小脑脑桥角综合征,导致走路不稳、共济失调、眩晕。同时,随着颅内压增高,肿瘤逐渐压迫第四脑室,阻碍脑脊液循环,还会引起剧烈头痛、呕吐。一旦当脑干受压,就极有可能导致肢体瘫痪、感觉障碍,甚至危及生命。
案例来源:巴教授2024年于国内手术案例。
- 文章标题:跑了这么多家医院,感冒为何好不了?其实是这个脑瘤太能藏了!
- 更新时间:2025-10-19 09:33:21
-
脑肿瘤是怎么样一个发展进程?以下两个gif图带你看懂 (从左到右分别为脑肿瘤初始,...
2020-07-01 11:50:22
-
颅神经施万细胞瘤占所有颅内肿瘤的8%,施万细胞瘤又称神经鞘瘤。此类肿瘤多起源于感...
2025-10-24 14:04:19
-
既然肿瘤可能复发,为什么不扩大范围多切一点? 这是一个常见的疑问,但神经外科手...
2025-08-27 17:56:35
-
INC国际儿童脑瘤大咖世界神经外科联合会(WFNS)执行委员会顾问委员会成员 James T. Rutka教授...
2025-06-13 18:18:46
-
大家一般都知道,脑肿瘤分为良性和恶性。恶性脑肿瘤生长快,易转移,以目前的医学水...
2020-05-05 12:36:47
-
一般脑瘤都有良恶之分,良性的 脑瘤 生长缓慢,不易转移,患者只要及时治疗,便能得...
2020-05-07 14:40:19
-
由于累及多个颅神经和血管结构以及脑干黏连,起源于岩斜区的颅底肿瘤仍是神经外科手...
2020-04-27 21:45:59
-
脑瘤能治好吗?为了着手解决这些问题并好转脑肿瘤患者的预后,英国癌症研究中心(C...
2020-12-16 16:00:45
-
脑瘤的早期症状及其表现有哪些?脑瘤发病率低;全部神经胶质瘤的年龄调整发病率范围...
2020-12-02 17:33:28
-
大多数恶性脑瘤生长迅速,较易复发,轻者神经功能丧失,重者瘫痪甚至危及生命,且预...
2020-05-08 10:11:20
-
从头围增大到少见儿童脑瘤,手术还是保守治疗?国际小儿神外教授答疑解惑...
2020-09-11 11:19:10
-
头痛是临床医学中较常见的主诉之一。虽然绝大部分头痛是由原发性头痛疾病引起,但头...
2022-01-20 16:21:47
-
James T. Rutka教授证明了MRgFUS开启BBB后脑干的组织学和功能完整性得以保留,并且能够显着...
2020-10-28 14:52:40
-
三公分的脑瘤严重吗?脑瘤主要是对于颅内肿瘤的俗称。而颅内肿瘤主要指的是发生在颅...
2021-08-11 11:12:14
-
国际上的资料数据显示,儿童肿瘤的数量这些年提高,其中儿童脑肿瘤是较为常见的肿瘤...
2020-07-08 13:54:33
-
虽说已立秋,这天气却越来越热。 昨天是全城热恋,气温却丝毫不留情面。 很多人都说...
2025-08-30 19:51:57
-
摘要:神外术后气管切开术适应症、拔除指征、术后护理、并发症等。 在INC接触的很多...
2020-08-13 14:08:39
-
得了脑瘤就没救了吗? 那段时间简直像一场噩梦。年仅32岁的我,以前身体一直很好,可...
2025-08-19 15:57:08
-
恶性脑瘤也有人会认为存活率和预后不好。但是,随着诊断和治疗技术的进步,恶性淋巴...
2020-06-30 13:57:16
-
SickKids:一种有希望的治疗复发性儿童脑瘤的新方法CAR-T临床试验招募中 一个多机构的国...
2023-03-17 16:45:58