磁共振成像引导的激光间质热疗是利用激光释放的热量对病变或结构进行选择性消融。LITT已用于各种器官的各种损伤,如肺、肝、骨和腺。在大脑中,LITT被认为是一种比开放手术侵入性更小的手术,在实时磁共振成像指导下进行,以治疗几种颅内病变。虽然其他技术已用于病灶组织消融,如射频消融、冷冻消融和微波消融,但激光消融具有更高的精度和可评估的组织消融量,从而避免了附带损害。
相关阅读:恶性脑瘤术后复发,LITT避免二次开颅、术后次日出院、1年半未复发
作用机理
LITT的原理是通过加热选择性消融肿瘤细胞。使用光纤将激光选择性地施加到肿瘤区域。LITT使用波长为1064纳米的钕:钇铝石榴石激光器。组织穿透范围从2到10毫米。当激光击中肿瘤时,肿瘤组织通过吸收激光光子进行相互作用,然后激光光子转化为肿瘤组织内部的热能。当组织温度在43℃和45℃之间超过10分钟时,癌细胞对化疗和放疗过敏。当温度在50℃和80℃之间变化的时间较短时,肿瘤坏死通过蛋白质变性发生。热诱导的组织损伤取决于治疗组织的温度和施加热能的总时间。可以使用阿伦尼乌斯热剂量模型来量化损伤,该模型相对于在43℃下25至240分钟内发生完全组织坏死的热模型来估计组织损伤22,23].使用这种模型,核磁共振成像软件可以生成热图,以可视化热变化和监测肿瘤坏死。
在消融过程中监测病变的热变化对于确保病变完全消融至关重要。由于热沉效应,靠近损伤的脑脊液空间或血管可将热量从消融的损伤处散发出去。虽然这种效应会导致消融不完全,但它也可以起到绝缘体的作用,保护附近的重要结构免受消融区域产生的热损伤。监测含脂肪病变的热变化具有挑战性。脂肪的化学成分对热监测中使用的磁共振成像序列的影响使其不易受温度变化的影响,从而导致错误的温度读数。
常见LITT应用:原发性脑肿瘤
大多数关于LITT的研究涉及原发性脑肿瘤的治疗,包括胶质瘤。Schwarzmaier等人研究了16例复发性胶质母细胞瘤患者经LITT治疗后的生存率,这些患者分为两组,每组2个时间段。复发后的中位生存时间在2001-2002年为5.2个月(10例),在2003-2004年为11.2个月(6例)。作者将2003-2004年生存率的增加归因于两个因素:一组患者的学习曲线可能影响了二组患者,一组患者(2个月)的复发诊断和LITT之间的间隔比二组患者(0.3个月)长。LITT手术的并发症是1例患者出现短暂的手臂无力。
2012年,Carpentier等人对4例复发性胶质母细胞瘤患者进行了一项初步研究,以调查LITT后的生存益处。在全部4名患者中,术后复发平均为37天,平均总生存期为10.5个月。作者报道了3种并发症:短暂性吞咽困难,于术后7天缓解;全身性癫痫发作,于术后9天缓解;脑脊液漏,于术后7天缓解。2名患者在LITT部位复发,尽管消融范围超过了预处理后对比磁共振成像上看到的初始肿瘤体积。
杰特瓦等人论述了磁共振成像引导下的磁共振成像引导下的磁共振成像引导下的磁共振成像引导下的磁共振成像引导下的磁共振成像引导下的磁共振成像引导下的磁共振成像引导下的磁共振成像引导下的磁共振成像引导下的磁共振成像引导下的磁共振成像引导下的磁共振成像引导下的磁共振成像引导下的磁共振成像。该研究包括20例不同病理类型的患者,包括6例胶质母细胞瘤、1例间变性星形细胞瘤、3例室管膜瘤、2例脑膜瘤、2例血管母细胞瘤、1例原始神经外胚层肿瘤、1例脊索瘤和3例脑转移瘤。作者报道了4种并发症:动脉损伤、顽固性脑水肿、垂体损伤和激光探针的错位。该研究没有报告较终结果或生存益处。
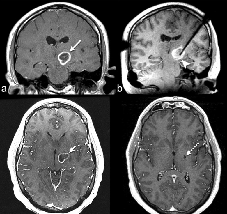
2015年,Banerjee等人回顾了神经肿瘤学中磁共振成像引导的磁共振成像引导的磁共振成像引导的磁共振成像引导的磁共振成像引导的磁共振成像引导的磁共振成像引导的磁共振成像引导的磁共振成像引导的磁共振成像引导的磁共振成像引导的磁共振成像引导的磁共振成像引导的磁共振成像引导的磁共振成像引导的磁共振成像引导的磁共振成像引导的磁共振成像引导的磁共振成像引导的磁共振成像引导的在复发的ⅲ/ⅳ级胶质母细胞瘤患者中,他们发现,与给予其他治疗方案的患者相比,在20.9个月时,采用LITT治疗的患者从复发诊断中获得的总中位生存期有所好转。未来的前瞻性研究需要准确评估原发性脑肿瘤患者的预后。我们提供了一个脑转移患者的例子,他使用LITT成功地进行了治疗(图1)。

图1:35岁,活检证实左丘脑胶质母细胞瘤。LITT前冠状核磁共振造影后t1加权成像显示环状强化肿块(长箭头)。b冠状面术中定位t1加权MRI显示肿物内的激光探针(箭头)。LITT术后2.5个月c轴位t1加权造影后MRI显示肿块轻微缩小(短箭头)。LITT后4个月的d轴后对比t1加权MRI显示胶质母细胞瘤完全消退(虚线箭头)
结论
与开放手术相比,微创治疗是一种创伤较小的治疗方式,并发症发生率较低。LITT的原理是通过加热选择性消融肿瘤细胞,并通过实时MRI测温进行监控。LITT具有广泛的应用,如治疗神经胶质瘤、转移瘤、放射性坏死、慢性疼痛和癫痫。LITT用于选定的病变和选定的患者,作为手术无法触及病变的患者、非手术候选人或其他标准治疗方案失败的患者的更顺利的替代治疗方案。LITT的并发症包括出血、脑水肿、邻近结构的热损伤和治疗失败。报道的少见并发症包括长期性神经功能缺损、脑实质感染、暂时性局灶性神经功能缺损、癫痫发作和脑脊液漏。一些作者观察到学习曲线和操作员经验的增加降低了并发症的发生率。
- 文章标题:脑瘤治疗新技术:激光消融术脑瘤
- 更新时间:2020-12-11 14:23:32
400-029-0925



