2016年,年仅7岁的女孩妙妙怀疑早熟,父母带着他去医院进一步检查发现,“罪魁祸首”竟是脑子里的肿瘤。虽然肿瘤是可以通过外科手术切除的,但妙妙的肿瘤位于鞍区,手术存在风险。医生建议定期复查,保守观察。为了保险,妙妙父母听从了医生的建议。而孩子也开始了长达一年的性早熟药物治疗,停药后体重增加明显。
在接下来的几年时间里,妙妙在父母的陪伴下坚持复查颅脑MRI。她也懂得父母为她治病的奔波劳苦,她知道要战胜病魔就需坚强。2016年至2019年复查均提示肿瘤无明显变化。但是,妙妙体重增加明显,期间偶有头痛头晕症状,但症状较轻。
直到2023年5月,妙妙突然出现剧烈头痛,伴呕吐。于当地医院行颅脑CT提示脑积水。于2023年5月12日在当地医院行脑室腹腔分流术,症状得到缓解。2023年12月初开始早上起床后头晕症状加重,偶尔会有头疼,体重增加快。
▼激素水平情况

与巴教授远程远程视频时,我们见到这个乐观的14岁女孩。对于父母来说,他们的诉求是尽努力陪伴孩子治疗,认真努力地做好这过程中的每一步。而当下,他们较想知道的就是能否手术切除这个伴随孩子长达7年的肿瘤噩梦。巴教授又会如何评估?

INC巴教授远程评估结果
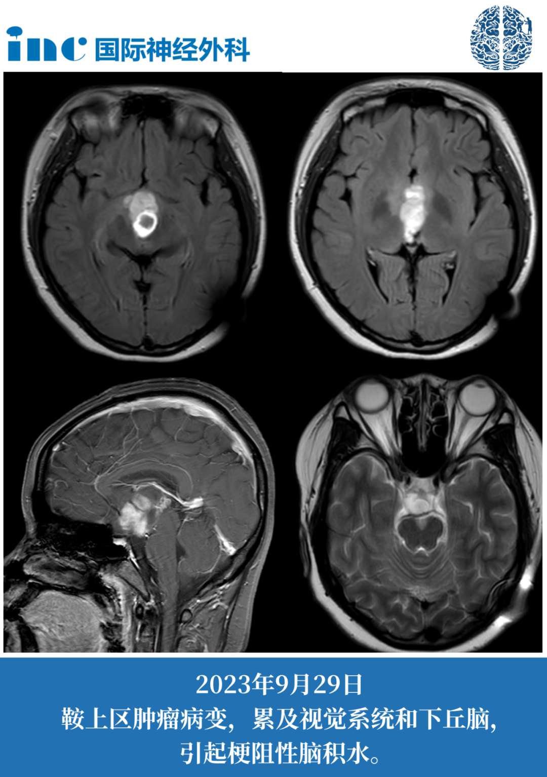
潜在的病灶是鞍上区有增强的肿瘤病变,累及视觉系统和下丘脑,引起梗阻性脑积水。CT扫描显示由于脑室间孔阻塞需要双额分流导管。它很可能是一种低级别胶质瘤,但也可能是其他类型实体肿瘤。
1.根据患者目前资料,是否能手术治疗?手术较佳时机?
是的,由于肿瘤有很明显的占位效应,危及视神经及视交叉(两者已经被肿瘤累及),有明确的手术指征。较好的时机是在不久的将来,当病人准备好接受手术的时候。我可以在苏州儿童医院提供手术治疗。
2.术后患者的恢复状态会是什么样?头痛头晕症状是否会好转?是否需要后续治疗?
是的,我预计随着时间的推移,头痛和头晕可以好转甚至恢复正常。术后治疗可能是必要的,这取决于的病理结果和切除的范围。这可能是单独的放疗,单独的化疗或两者的结合。只有在手术后才能做出决定。
3.术后分流管是否可以取掉?肿瘤切除和分流管摘除是否可以同时进行?
从理论上讲,移除分流管是可能的,但需事先通过暂时阻塞分流导管进行测试。这也取决于肿瘤的类型和切除率。

巴教授远程邮件咨询回复节选
- 文章标题:性早熟查出鞍区占位性病变,14岁女孩如何摆脱7年脑瘤噩梦?
- 更新时间:2023-12-26 09:24:09
400-029-0925


