松果体脑瘤是一种少见的疾病,其生存期因个体差异而异。一般来说,松果体脑瘤的生存期取决于多种因素,如肿瘤的性质、大小、位置、症状的严重程度...
胶质脑瘤是一种常见的中枢神经系统肿瘤,其发病率和恶性程度较高。胶质脑瘤存活率是多久?胶质脑瘤的存活率取决于多种因素,包括肿瘤的类型、分级...
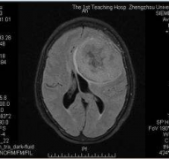
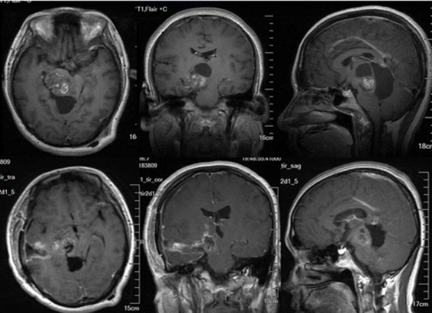
33岁的H女士在怀孕期间因严重头痛,走路不稳,记忆力减退等症状就医,MRI图像显示在她的两个侧脑室后部有一个较大的囊性肿瘤,立即进行囊肿排空和肿...
脑瘤脊索瘤一般能存活多久? 脑瘤和脊索瘤是两种不同的疾病,存活期会因患者的具体情况、疾病的类型、治疗方法和治疗效果等而有所差异。无法给出精...
脑瘤压迫视神经能活多久 脑瘤压迫神经能活多久一般是不能具体明确的。 颅内生长的肿瘤一般称为脑瘤,包括从脑实质发生的原发性脑瘤和从身体其他部...
良性脑瘤是指在大脑中生长相对缓慢的大量细胞。良性脑瘤往往停留在一个地方,不会扩散。如果全部的肿瘤都能在手术中顺利地切除,它通常不会复发。...
良性(非癌变)脑瘤 是指大脑中生长相对缓慢的脑肿瘤,它们是一级或二级,因为它们生长缓慢,不太可能扩散。他们不是癌症,往往可以成功地治疗,但他...
胶质瘤 ,是一种起源于大脑正常胶质细胞的肿瘤。那么胶质细胞又是什么呢?如果把神经元比作各类植物的话,胶质细胞就是孕育植物的土壤,即,广泛分...
恶性脑瘤 是一种快速增长的癌症,它会扩散到大脑和脊柱的其他部位。一般来说,根据脑瘤的恶性程度,例如肿瘤生长的速度和治疗后复发的可能性,脑瘤...
松果体位于间脑的顶上方,主要分泌褪黑素,其作用与脑垂体的黑色素细胞刺激素相反,使两栖类皮肤色素变浅。松果体是神经内分泌的转换器,起生物钟...
33岁的H女士在怀孕期间因严重头痛,走路不稳,记忆力减退等症状就医,MRI图像显示在她的两个侧脑室后部有一个较大的囊性肿瘤,立即进行囊肿排空和肿...
大多数恶性脑瘤生长迅速,较易复发,轻者神经功能丧失,重者瘫痪甚至危及生命,且预后比较差。比如胶质瘤中恶性程度较高的一种胶质母细胞瘤(GBM)...
大脑,人体的司令部,掌管着一个人的语言、听觉、视觉、运动、感觉等功能。大脑中有1000多亿个神经细胞分布,还有各种血管神经错综复杂,不同的功能...
松果体脑瘤能活多久?一般人们所说的脑瘤大部分指脑癌、恶性肿瘤,但松果体脑瘤却并不能一概而论。松果体脑瘤是不是癌症,取决于所患的是哪种肿瘤...
神经胶质瘤能活多久?低级别胶质瘤的中位生存期长达50年,但前提是接受手术全切,星形胶质瘤二级也可通过治疗争取到更长的生存期...
质子治疗脑瘤能活多久?放射治疗是中枢神经系统肿瘤治疗中的一种重要治疗方式,用于优化肿瘤局部控制。与其他非中枢神经系统恶性肿瘤不同,脑瘤很...
原发性脊髓星形细胞瘤治疗金标准是手术切除。二线治疗包括放化疗,辅助治疗的较好方案尚未明确,巴特朗菲教授2021年2月将来华,国内患者可预约咨询...
低级别胶质瘤特别是一级的胶质瘤,一般认为是偏良性的,一级胶质瘤早期的时候治疗难度不大,治疗效果较明显,并且存活率高,存活时间可以达到10年...
胶质母细胞瘤手术后能活多长时间,胶质母细胞瘤是胶质瘤的一种较恶性的类型,患者的生存期短,胶质母细胞瘤术后如果采取放疗、化疗,平均生存期大...
多发性胶质母细胞瘤(GBM)是成人较常见、较具侵袭性的原发性脑肿瘤,几乎可以肯定会导致致命的结果...
一位32岁的中国年轻妈妈,她也是一个百万分之一较低概率也能中奖的脊索瘤病人,两次手术后不到半年多就复发,心灰意冷之时他选择远赴法国治疗。 一...
在长期并发症方面也存在差异,包括神经和内分泌功能障碍,以及认知和心理困难。在低级别毛细胞星形细胞瘤患儿长期功能结果不明确的背景下,本描述...
用血液检测而不是手术活检来追踪脑癌可以较大地好转胶质母细胞瘤(GBM)患者的生活质量,并为他们的护理提供关键信息,但并非全部病例都可行。现在新...
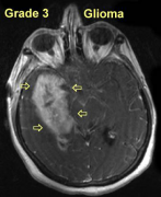
胶质瘤3~4级活多久? 胶质瘤是脑恶性肿瘤中常见的疾病。如果3-4级胶质瘤能早期发现并完全切除,存活的机会相对较长。如果达到3级或4级,一般来说,低...
脑瘤临床试验出人意料的发现:两组7年生存率差异。某一脑部肿瘤临床试验的长期随访发现,某些染色体异常,即1p19q共缺失,在少突神经胶质瘤患者的预...
18岁小杰,本该青春正好的年纪,他却饱受颅咽管瘤折磨,10多年内三次手术、四次复发。所幸,他较后找到INC德国巴特朗菲教授全切脑瘤,术后的他恢复状...
在早期,脑肿瘤临床试验中没有QOL成分,直到较近QOL问卷才成为数据收集的一部分。有很多护理人员和病人对脑肿瘤病人如何死亡感到焦虑,我们迫切需要...
儿童脑瘤能活多久? 儿童脑瘤能活多久取决于其恶性程度。良性肿瘤,如听神经瘤,可通过手术切除颅咽管瘤,预后良好时存活时间长;如果是恶性肿瘤,...
胶质脑瘤二级存活年数,脑肿瘤的分级与它们的生长速度有关。细胞异常的程度越大,等级越高,肿瘤生长的速度越快。低度神经胶质瘤(1级和2级神经胶...
脑瘤不治疗能活多久? 脑肿瘤不治疗能活多久,主要取决于大脑肿瘤的位置和肿瘤发展期,如果是早期,手术切除后生命期没有问题,如果是晚期,只能进...
脑瘤复发后存活多久? 脑肿瘤手术后复发,如果是恶性肿瘤,很难完全治愈,会出现头晕、头痛、疲劳、抑郁,需要手术切除脑肿瘤,然后配合化疗药物、...
恶性脑瘤从发病到死亡一般多少年 恶性脑肿瘤是一大类,有很多详细的类型。例如,大脑中常见的胶质瘤生存期不同,病变分化程度不同,分期不同,患者...
脑瘤能活多久? 脑瘤是一种常见的说法,主要是脑神经胶质瘤和脑膜瘤。大脑神经胶质瘤多为恶性肿瘤。如果是胶质母细胞瘤,平均生存期仅为8个月,大...
具体能活多久不能一概而论,良性脑种瘤至少包括几十种肿瘤。因此,良性脑肿瘤手术后患者的生存期各不相同。以下通过几种常见的颅内肿瘤简单介绍患...
胶质脑瘤四级存活年数? 胶质脑瘤四级也称为高级别胶质瘤,神经胶质瘤是较常见和较致命的恶性脑肿瘤之一,起源于神经胶质细胞。大约50%的神经系统肿...
脑癌晚期能活多久? 至于颅内肿瘤的生存期,随着现代科学技术的发展,颅内肿瘤患者的生存期比以前大大延长,但首先要考虑肿瘤的性质。如果我们说其...
良性脑瘤手术后能活多久? 良性脑瘤患者一般可存活10至15年左右,应根据后续治疗来判断。建议术后观察患者自身情况,防止术后并发症;多吃高蛋白、...
脑肿瘤术后生存时间取决于脑肿瘤的病理分类、术后复发时间和可能转移的部位引起的症状。对于良性肿瘤,及时手术切除不会影响患者的生存时间。一般...
脑瘤能活多久一般? 恶性脑瘤这个词对正常人来说就像一个死亡通知,因为恶性脑瘤很难治疗,晚期发现也可能导致死亡。但事实上,脑瘤有很多种,大多...
得了脑瘤能活多久? 脑瘤患者能活多久与肿瘤的性质直接相关。良性肿瘤通常不影响寿命,恶性肿瘤不能一概而论,需要具体分析。 良性脑瘤一般不影响...
患上恶性脑瘤后平均能活多久? 恶性脑瘤不同于普通肿瘤,可以切除,生长在大脑肿瘤部位特别难切除,但也会严重影响人们的正常生活。无论年龄和性别...
脑瘤手术后能活多久? 脑肿瘤是一种常见的神经外科疾病,脑肿瘤能活多久,不能一概而论,具体如下: 1.良性脑肿瘤:如果良性脑肿瘤得到适当的治疗,...
胶质脑瘤做手术能根除吗? 胶质脑瘤属于恶性肿瘤。手术能否治愈取决于他的水平,判断其恶性程度。临床上,我们将胶质瘤分为四个层次。其中,一级胶...
胶质脑瘤存活率是多久? 胶质脑瘤的存活率是多久?神经胶质瘤是一种脑系统疾病。患者发病后,可根据四个不同等级了解生存时间。由于各级治疗方法不...
颅内恶性肿瘤能活多久? 脑胶质瘤是颅内恶性肿瘤中较常见的一种。如果是脑胶质瘤,其恶性程度应分为部位。脑胶质瘤一般分为1-4级。如果是1-2级,则在...
良性肿瘤通过手术切除后,不影响整个生存期。以脑癌中恶性程度较高的胶质瘤为例。胶质瘤的恶性程度为四级胶质母细胞瘤,成人平均生存期为11个月。...
胶质脑瘤的存活率是多久? 胶质瘤是一种恶性颅内肿瘤,但其存活时间因肿瘤水平而异。一般来说,世卫组织的分级是四级。此外,还有一种类型。现在我...
脑瘤能活多久一般? 脑膜瘤术后平均生存期为9年,术后恢复与患者预后直接相关。凸面脑膜瘤一般不留明显后遗症,对预期寿命无影响;颅底脑膜瘤,包...
脑胶质瘤的存活率存活时间 胶质瘤有四个等级:一级和四级,恶性程度逐渐增加。胶质瘤的生存能力、肿瘤的恶性程度以及生长部位是否完全切除与术后患...
脑瘤手术后能活几年 脑瘤手术后的存活时间取决于肿瘤的病理性质、部位、切除程度和后续治疗,包括放疗和化疗的治疗效果,具体情况如下: 良性肿瘤...
良性脑瘤严重吗? 良性脑瘤是否严重,良性脑瘤的严重程度往往与其大小和生长部位密切相关。 1.良性脑瘤在早期肿瘤体较小。位于非功能区,常无颅内压...
治疗后脑肿瘤能活多少年? 脑肿瘤的生存期主要取决于肿瘤的性质、肿瘤的生长部位、治疗是否正常等。 若脑肿瘤为恶性肿瘤,此类患者的五年生存期较...
链接/Links: 北京天坛医院 | 首都医科大学宣武医院 | 复旦大学华山医院神经外科 | 脑胶质瘤 | 脑海绵状血管瘤 |