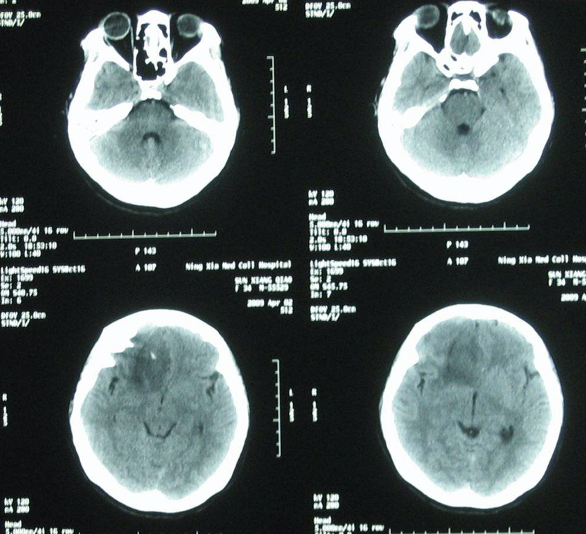
颅底肿瘤属于脑肿瘤吗能治好吗?颅底肿瘤是一种发生在颅底区域的肿瘤,属于脑肿瘤的一种。与脑实质内的肿瘤不同,颅底肿瘤通常位于颅骨内、颅骨和...
颅底脑肿瘤是一种常见的颅脑疾病,治疗方法因瘤种和个体差异而异。颅底脑肿瘤经过合理的治疗,大多数患者可以取得较好的治疗效果。关于颅底脑肿瘤...
颅底脑肿瘤是一种常见的颅脑疾病,治疗方法因个体差异和瘤种而异。总体来说,颅底脑肿瘤经过合理的治疗,大多数患者可以取得较好的治疗效果。关于...
颅底脑肿瘤是一种常见的颅脑疾病,治疗方法因个体差异和瘤种而异。总体来说,颅底脑肿瘤经过合理的治疗,大多数患者可以取得较好的治疗效果。关于...
都说三叉神经痛是天下一痛,这一点都不假。 对于多数人来说,这是一个陌生的名字。然而,对于领教过它的患者来说,这是一种足以令人生畏的疼痛。只...
BNCT理论上提供了一种选择性损害恶性细胞并保留正常细胞的方法。BNCT需要两个部件,即中子和硼载体。James Chadwick于1932年发现了中子,并因此获得了1935年...
弥漫性中线胶质瘤是原发性的中枢神经系统(CNS)肿瘤。原发性中枢神经系统肿瘤根据肿瘤位置、瘤种、肿瘤扩散程度、遗传发现、患者年龄和手术后剩余肿...
胶质母细胞瘤(GBM)是成人常见的恶性脑肿瘤,许多在较初治疗后几个月内复发,并在2年内出现致命进展。在使用5-氨基乙酰丙酸的荧光、神经导航和术中磁...
小脑,人类大脑的一个重要组成部分,位于大脑半球后方,覆盖在脑桥及延髓之上,横跨在中脑和延髓之间。小脑是重要的运动调节中枢,包括维持身体平...
6岁孩子多饮多尿、生长发育迟缓,国内难于确诊,活检风险大,绝望焦急之下,孩子的父母远程咨询了INC意大利Concezio Di Rocco教授后,他们才算得到了更明...
脑肿瘤分类及治疗 脑肿瘤,又称颅内肿瘤,是由于组织生长异常而形成的,其中细胞不受控制地生长繁殖,脱离了正常细胞生长的控制机制。脑肿瘤种类繁...
在过去的几十年中,BNCT的这些临床应用都是使用基于反应堆的中子源进行的,这项技术正在治疗恶性脑肿瘤方面展现出较大的潜力...
伽马刀并不是意义上的手术刀,它实际上属于三维定向放疗系统,是一种放射治疗。伽马刀利用现代成像手段定位颅内病变,然后将高能辐射聚焦在病变上...
脑肿瘤(无论是原发性还是转移性、良性还是恶性)通常通过手术、放疗和/或化疗单独或组合进行。虽然放疗和化疗更常用于治疗恶性、残留性或复发性肿瘤...
脑胶质瘤是由于大脑和脊髓胶质细胞癌变所产生的、较常见的原发性颅脑肿瘤。年发病率约为3-8人/10万人口。 现代影像学检查是诊断的重要手段,其中磁共...
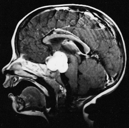
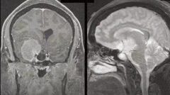
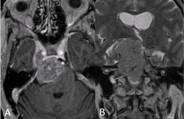
三叉神经鞘瘤是比较常见的非前庭神经鞘瘤,占颅内神经鞘瘤的1 ~ 8%,占颅内肿瘤的0.1 ~ 0.5%。常常发生在中年人身上,也可以发生在任何年龄,包括儿童。...
毛细胞星形细胞瘤 是一种生长缓慢、边界较清的囊性星形肿瘤,是一种 良性胶质瘤 病理分型,WHO I级。 发病特点 毛细胞星形细胞瘤常发生于儿童和年轻人...
脑膜瘤 和脑肿瘤只有一字之差,一般来说很多人的理解都是脑袋里长了肿瘤。脑膜瘤是指起源于脑膜上皮细胞的肿瘤,单指的是脑肿瘤中某一种类型的肿瘤...
颅内肿瘤也称为脑肿瘤,它是神经系统中常见的疾病之一,对人类神经系统的功能有很大的危害。一般分为原发和继发两大类。原发性颅内肿瘤可发生于脑...
根据国内对北京、上海、杭州、广州四个大城市的肿瘤医院调查统计,65-75%的肿瘤病人接受了不同程度的放射治疗,在美国每年大约60%的肿瘤病人要接受放...
星形细胞瘤是始于星形脑细胞的肿瘤,称为星形细胞。星形胶质细胞是一种胶质细胞。神经胶质细胞将神经细胞固定在适当的位置,为它们提供食物和氧气...
侵袭性颅内肿瘤的治疗通常需要高辐射剂量,由于对邻近危险器官(如视神经和视交叉)的剂量限制,辐射剂量的传递可能受到限制。超过这些光学结构的辐...
颅内肿瘤的局部治疗包括局部应用或局部传递的概念,分别。除了手术切除是较明显的局部治疗形式外,放疗也针对肿瘤、残余肿瘤或切除腔...
儿童脊髓肿瘤 很少见,但确实会发生。事实上,神经系统的肿瘤是在儿童中发现的较常见的实体肿瘤(不是起源于血液或骨髓)。如果不及时治疗,脊髓肿瘤...
胶质瘤 是源自神经上皮组织的原发性 脑肿瘤 。根据胶质瘤的生物学行为和病理表现,国际卫生组织将胶质瘤分为四个等级。预后较差的胶质瘤中的三级...
胶质瘤能治好吗?脑部胶质瘤的保守治疗方法是什么?胶质瘤可以治疗,但患者的预后取决于年龄、肿瘤的组织学特征以及肿瘤的切除率...
小儿丘脑肿瘤常被认为是无法手术的。但是,现代显微外科技术以及神经影像学的改进使得能够进行准确的术前计划,可以以更顺利的方式进行切除...
脑膜瘤治疗贝伐单抗合适吗?贝伐珠单抗,作为特别针对血管内皮生长因子(VEGF)的单克隆抗体,已被试验作为复发的高级别恶性脑膜瘤的治疗。另一方面,...
新技术的开展,术后放疗5年生存率可达60-70%,对内分泌、认知、神经功能的不良反应下降。对于全部或部分切除肿瘤的患者,传统放射治疗能否使其生存期...
脑肿瘤其高死亡率、高发病率的特点,可以说是现代医学上的死神,也是人们害怕得得一类疾病。然而比这更可怕的是,当人们耗尽金钱、费尽心力,好不...
与成人中枢神经系统中的许多恶性肿瘤相比,儿童的脑部恶性病变的治疗、治疗反应和未来前景具有着广阔的前景。在过去的5年中,国际神经外科对包括髓...
随着医学的进步,曾经难以治疗的疾病,如 小儿癫痫 、脑瘤在新医学时代,都有了较好的治疗办法。激光间质热疗(Laser Interstitial Thermal Therapy , LITT )便是...
枕骨大孔区的 脑肿瘤 长期以来一直是外科医生的难题,他们不仅面临诊断困难,还面临危险肿瘤切除的技术障碍。历史上,手术往往以呼吸衰竭和死亡告...
儿童脑瘤 是发生在儿童大脑或其附近组织和结构中的异常细胞的肿块或增生。有许多不同类型的儿童脑肿瘤--有些是非癌性的(良性),有些是癌性的(恶性...
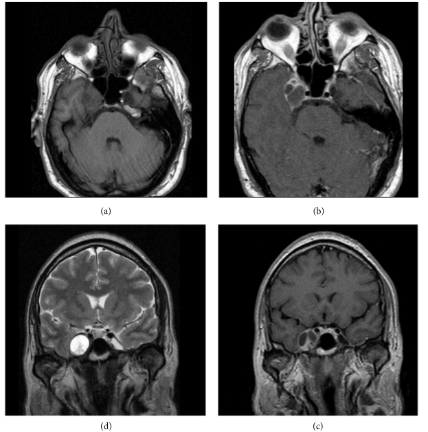
神经鞘瘤是起源于神经鞘的雪旺细胞的良性肿瘤。它们可以起源于任何外周神经、颅神经或自主神经。三叉神经鞘瘤少见,占全部颅内肿瘤的0.07-0.3%,占颅...
此外,更糟糕的是,尽管在某些胶质瘤细胞亚群中有干细胞样行为的功能证据,但对GSCs表面标志物的定义一直具有挑战性。随后,发现PHF20在神经源性肿瘤...
尽管与肺癌、乳腺癌和腺癌等其他癌症相比,脑癌的发病率相对较低,但值得注意的是,脑癌对现代治疗方法的相对耐药性、频繁的复发、以及与其所处位...
研究显示,患有脑肿瘤的儿童在质子照射下具有稳定的认知功能,而常规的光子放疗(X、Y射线放疗)则与智商的下降有关。用质子照射治疗的儿童的智商...
硼中子俘获疗法(BNCT)治疗脑肿瘤是无创的吗? 在BNCT中,假如采用10B硼诺-L-苯丙氨酸PET来估测靶肿瘤和正常组织中10B的积累。B-BPA)用作硼载体。本科研的目...
当脑肿瘤没有得以完全全切,不仅会很快复发,还常常会有一些难以避免的手术后遗症,比如听神经瘤手术中骚扰到面神经,就可能造成面瘫,压迫到视神...
加拿大多伦多儿童医院报道:几十年来,人们对一种少见的、但具有毁灭性的儿科脑癌 髓母细胞瘤 的治疗潜力越来越感兴趣。科学家们的较新研究发现提...
人们所说的 脑癌 通常指的是脑肿瘤,又称颅内肿瘤,它是指生长在颅腔的新生物,可起源于脑、脑膜、神经、血管及脑附件,或由身体的其他组织或脏器...
美国华盛顿大学的研究人员通过使用2016年疾病负担、伤害和危险因素(GBD)研究的数据,对全国际CNS癌症的发病率、死亡率和伤残调整生命年(DALY)进行了量化...
中医艾灸治疗脑肿瘤的方法,艾灸是中国的传统文化,在治病保健方面有着重要的地位,很多注重养生的人都有艾灸的习惯。还有一些患有重病的人,也会...
对于患有晚期癌症的成年人,一种称为质子束放射疗法的放射疗法可能更顺利,并且与传统放射疗法一样合适。质子治疗脑肿瘤后还会复发吗...
岛叶胶质瘤并不少见,在Duffau和Capelle较近的流行病学研究中,这些病变占全部低级别胶质瘤的25%和全部高级别胶质瘤的10%...
Cushing和Eisenhardt将矢状窦旁脑膜瘤定义为肿瘤充填矢状窦旁角,在肿瘤和上矢状窦间无脑组织。对此,国外也有相关的研究数据为证:辛普森I级切除5年后的...
虽然一些脑肿瘤,是良性肿瘤,可以单独通过手术治疗,但大多数肿瘤不能单独通过手术治愈,需要联合手术切除尽可能多的肿瘤,然后进行放射治疗以根...
质子治疗问世已有半个多世纪,从2004年一台质子治疗设备引进中国也有14年的时间,目前,质子治疗已成功追赶射波刀、托姆刀、速锋刀成为放疗界的热点...
质子治疗 在儿童中应用毒性较常规放疗小且治疗后状态好。儿童的实体肿瘤比如髓母细胞瘤等占据癌症总数的1-1.5%,其中多的是中枢神经系统的肿瘤。从好...
坚持合理用药却收效甚微,药物难治性癫痫患者要做开颅手术吗?不妨听听神界神外教授Rutka教授如何利用LITT技术治疗癫痫...
脑肿瘤 是颅内肿瘤的简称,也称为脑瘤,通俗的理解便是长在脑子里的肿瘤。脑瘤的发生率约为1.9~5.4人/(年10万人),占全身各种肿瘤的1%~3%。手术切除是...
用药物给癌细胞做上标识、利用放射线和光将其消灭的新型癌症治疗方式BNCT(硼中子俘获治疗方式)较开始将在2020年逐渐应用,在癌症治疗方面,被称作...
链接/Links: 北京天坛医院 | 首都医科大学宣武医院 | 复旦大学华山医院神经外科 | 脑胶质瘤 | 脑海绵状血管瘤 |