星形细胞瘤是始于星形脑细胞的肿瘤,称为星形细胞。星形胶质细胞是一种胶质细胞。神经胶质细胞将神经细胞固定在适当的位置,为它们提供食物和氧气,并帮助保护它们免受疾病,如感染。神经胶质瘤是由神经胶质细胞形成的肿瘤。星形细胞瘤是一种神经胶质瘤。星形细胞瘤是儿童常见的神经胶质瘤类型。它可以在中枢神经系统(大脑和脊髓)的任何地方形成。这份总结是关于治疗始于大脑星形胶质细胞的肿瘤(原发性脑肿瘤)。转移性脑肿瘤是由癌细胞形成的,癌细胞从身体的其他部位开始扩散到大脑。这里不讨论转移性脑肿瘤的治疗。儿童和成人都可能发生脑瘤。然而,对儿童的治疗可能不同于对成人的治疗。

星形细胞瘤可能是良性的(不是癌症)或恶性的(癌症)
良性脑肿瘤生长并压迫大脑的邻近区域。它们很少扩散到其他组织。恶性脑肿瘤很可能迅速生长并扩散到其他脑组织。当肿瘤生长或压迫大脑的某个区域时,它可能会阻止大脑的该部分正常工作。良性和恶性脑肿瘤都可以引起症状和体征,几乎都需要治疗。
星形细胞瘤影响神经系统的哪些部分?
星形细胞瘤常见于中枢神经系统的这些部分:
•大脑:大脑规模较大的部分,在头顶。大脑控制思考、学习、解决问题、说话、情感、阅读、写作和自主运动。
•小脑:大脑的后下部(靠近后脑勺中部)。小脑控制运动、平衡和姿势。
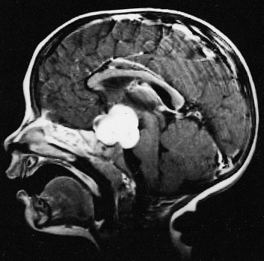
•脑干:连接大脑和脊髓的部分,在大脑的较低部分(就在脖子后面的上方)。脑干控制呼吸、心率以及用于视觉、听觉、行走、说话和进食的神经和肌肉。
•下丘脑:大脑底部中间的区域。它控制体温、饥饿和口渴。
•视觉通路:连接眼睛和大脑的一组神经。
•脊髓:从脑干延伸到背部中心的神经组织柱。它被三层叫做膜的薄层组织覆盖。脊髓和膜•被椎骨(脊椎骨)包围。脊髓神经在大脑和身体的其他部分之间传递信息,例如来自大脑的引起肌肉运动的信息,或者来自皮肤到大脑的感觉触摸的信息。
儿童星形细胞瘤通常在手术中被诊断和切除
如果医生认为可能有星形细胞瘤,可以进行活组织检查,取出组织样本。对于脑部肿瘤,颅骨的一部分被切除,用一根针来穿刺活检。有时候,针是由电脑引导的。病理学家在显微镜下观察组织,寻找癌细胞。如果发现癌细胞,医生可以在同一手术中尽可能顺利地切除肿瘤。因为很难区分脑瘤的不同类型,你可能想让有诊断脑瘤经验的病理学家检查孩子的组织样本。
可在切除的组织上进行以下测试:
免疫组织化学:使用抗体检查组织样本中某些抗原的测试。这种抗体通常与一种放射性物质或染料有关,这种物质或染料能使组织在显微镜下发光。这种测试可以用来区分不同类型的癌症。MIB-1试验是一种免疫组织化学方法,用于检查肿瘤组织中一种叫做MIB-1的抗原。这可能显示出肿瘤生长的速度。
有时肿瘤形成的地方使它们很难被切除。如果切除肿瘤可能导致严重的身体、情感或学习问题,则进行活检,并在活检后给予更多治疗。
患有NF1的儿童可能在控制视力的大脑区域形成低度星形细胞瘤,可能不需要活检。如果肿瘤没有继续生长或症状没有出现,可能不需要手术切除肿瘤。
手术治疗重在选好手术主刀团队
手术是星形细胞瘤的优选和前提,罹患星形细胞瘤,首先要寻求更佳的手术切除效果,忌盲目地进行放、化疗或者选择临床试验中的“较新疗法”。尽管有的肿瘤长在脑干、丘脑、胼胝体或基底节等复杂位置,但在当前医疗技术水平下,以上“手术禁区”内疑难位置胶质瘤手术全切已经成为现实,当然这需要选择一个在此方面有着较为丰富经验和海量成功病例的手术团队。除此之外,术中核磁(iMRI)、术中神经电生理监测、术中神经导航等高科技手术设备的辅助,也是成功手术的重要因素。
当国内神经外科疾病患者对于自身疾病束手无策、或不敢确定预后效果时,寻求国际上尤擅此类脑肿瘤手术专家的帮助,会有不一样的治疗效果。通过INC国际教授远程咨询,国内患者无需出国,较快48小时内可得到国际盛名神外专家的咨询意见,也可选择到INC国际教授所在的国外医院接受前沿治疗,或在INC合作的国内三甲医院进行国内手术。
- 文章标题:儿童星形细胞瘤的症状和治疗
- 更新时间:2021-03-12 22:58:23
400-029-0925




