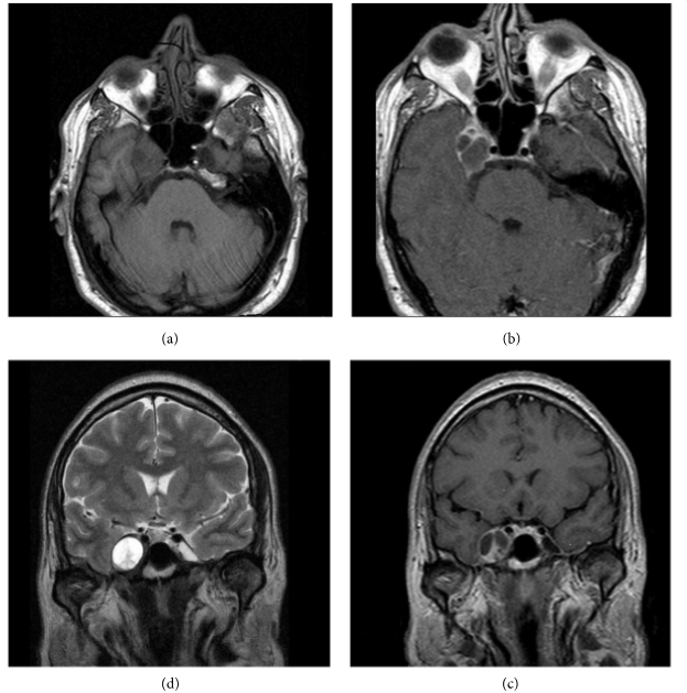
三叉神经鞘瘤是比较常见的非前庭神经鞘瘤,占颅内神经鞘瘤的1 ~ 8%,占颅内肿瘤的0.1 ~ 0.5%。常常发生在中年人身上,也可以发生在任何年龄,包括儿童。三叉神经鞘瘤可以发生在三叉神经根和远端颅外支之间的任何地方。它们的临床表现取决于肿瘤的位置和大小。比较常见的症状包括面部感觉减退、头痛、头晕和共济失调。

图片来源:https://www.pain-health.com/conditions/facial-pain/surgery-and-injection-procedures-trigeminal-neuralgia
三叉神经鞘瘤为什么会复发?
对于任何肿瘤复发,一般其首要原因都是治疗不完全,未手术切除干净。三叉神经鞘瘤也不例外,它的位置是位于脑,大脑的底面以及颅底的基底部,位置的深在,它影响到的神经血管的结构复杂。一般神经外科医生手术去切除这种肿瘤,不可避免的在部分病人就会造成肿瘤的残留,其残留的肿瘤就会导致肿瘤的复发。
如何避免三叉神经鞘瘤再次复发?
1、详细的术前的影像学评估,包括对三叉神经根、三叉神经的Meckel's腔、海绵窦,对于这些重要结构识别清楚,看看肿瘤具体侵犯的位置以便遗漏。

2、通过手术的详细的规划,争取一次性的切除肿瘤,对于术后残留部分肿瘤,的通过放射治疗等尽可能消灭掉。三、及时的追踪复查,包括术后做磁共振扫描,配合术后康复治疗等。
三叉神经鞘瘤再次复发怎么办?
观察、手术切除和放射外科是三叉神经鞘瘤患者治疗的基石。对于再次复发的三叉神经鞘瘤,手术、放疗仍然是主要治疗手段,或者联合治疗:
1、再次手术切除:如患者自身条件符合再次手术切除的标准,一般手术可以处理复发的肿瘤。针对三叉神经鞘瘤的手术切除,神经内镜手术和显微外科手术是主要的方法,近年来显微、内镜外科器械、手术技术的进步,成功率提高,致残率下降。再次手术难度和风险均是增大了很多,选择手术的医生要谨慎,否则不仅不能切干净,而且术中还可能导致危险。目前,INC国际神经外科医生集团旗下组织国际神经外科顾问团成员James T. Rutka教授、Sebastien Froelich教授、William T. Couldwell教授作为国际脑肿瘤手术教授,他们不仅能对三叉神经鞘瘤实施高切除率手术,而且术后神经功能无明显损伤,让患者的生活质量也较术前有了很大的提高。
2、放射治疗。对于无法再次手术切除、或者手术仍然有残余肿瘤的三叉神经鞘瘤患者,放疗是临床常用的策略。三叉神经鞘瘤有些位置手术注定难以切除干净,放疗可用于消除手术后残留的肿瘤残余。不能手术的肿瘤或手术风险太大的肿瘤,这时候可以通过放射治疗加以辅助,来帮助控制、减少受损细胞,让治疗效果更好。
复发的三叉神经鞘瘤,出国治疗或有更高的生存机会
对于已经在国内手术过,再次复发的三叉神经鞘瘤患者,由于再次治疗难度更高、风险更大,对于有经济条件的患者,出国治疗或是更好的选择。
1、手术更有保障:西方发达国家,神经外科不有更长的历史,其神经外科“一刀切”的治疗方法已被基于病人和肿瘤特征的更个性化的治疗方案所取代。同样,“由一名外科医生管理”也让位给“由一个颅底外科手术团队管理”,以便在经颅和经鼻入路以及放射外科和显微外科战略方面提供较大限度的知识。
2、可以更快享受到新药、新疗法治疗:西方发达国家由于注重医疗,在医疗的研发上投入了多的经费,国际许多神经外科医院都有属于自己独自的研究室,其肿瘤方面的新药、新疗法是远远前沿于国内的。比如国际神经外科学院院长James T. Rutka教授所在的多伦多儿童医院,拥有数千人的研究团队,许多教授也有自己独自的实验室。像James T. Rutka教授的实验室已经在脑肿瘤生长和侵袭的机制方面颇有成就,在脑瘤的靶向治疗、纳米技术已取得了合适的成果。而出国治疗的患者,也可以享受所选择医院的新药、新疗法,甚至可以基本参加医院的临床试验。
好转神经症状、维持颅神经功能、控制肿块的影响是三叉神经鞘瘤治疗的主要目标。一个个性化的管理策略,一个专门的颅底团队,是重要的,也是病人实现这一目标的更佳机会。INC作为一个专注于神经外科领域的专家学术交流的医生集团,将为国内有需要的脑肿瘤患者(包括三叉神经鞘瘤、听神经瘤、脑膜瘤、垂体瘤、胶质瘤等)咨询具的国际水平神经外科医生团队为其手术,患者将得到更好的预后。
- 文章标题:三叉神经鞘瘤再次复发怎么办?手术全切仍是主要目标
- 更新时间:2020-06-04 15:41:25
400-029-0925




