因此,当意外的脑瘤诊断出现时,想到自己可能已经把患脑瘤的风险传给了孩子,作为父母,都会感到害怕。对于上百万患有脑瘤的中国人来说,有一个问题:“这是遗传性的吗?”
肿瘤真的会遗传吗?
INC国际神经外科医生集团旗下国际神经外科顾问团(WANG)成员、国际神经外科学院前院长James T. Rutka教授表示,肿瘤一般不会遗传的,有很多个体患有原发性脑瘤的家庭是很少见的。James T. Rutka博士强调了了解原发性肿瘤(始于大脑)和继发性肿瘤(或转移性肿瘤)之间区别的重要性,后者在身体其他部位发展并扩散到大脑。

“的问题是原发性脑瘤是否具有遗传性,”James T.Rutka补充道。“即使你家里的其他人得了脑瘤,也可能是由于身体其他部位的另一种癌症引起的。转移性肿瘤比原发性脑瘤更常见,而且它们不是遗传性的。”
只有少部分肿瘤会遗传下风险基因。近些年,随着流行病学的统计和人类基因组测序的发展,发现的确有部分肿瘤存在家族遗传性,原因是多方面的,有生活习惯的原因,也有遗传基因突变的原因。家族性不等于遗传,遗传下来的不是肿瘤本身,而是风险基因。多数肿瘤是遗传与环境因素相互作用的结果,共同的生活环境和生活习惯让家族容易出现相同的肿瘤。
三叉神经鞘瘤会遗传吗?
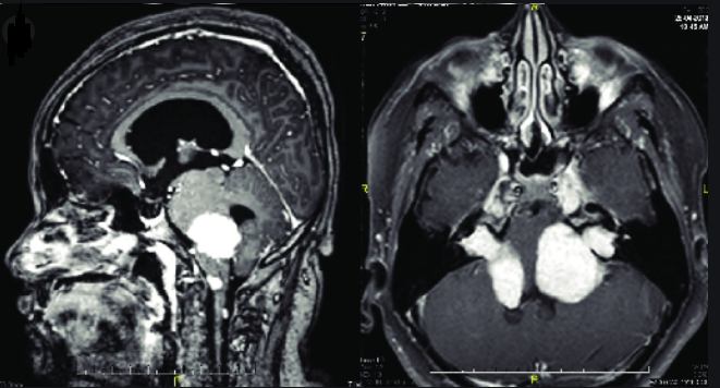
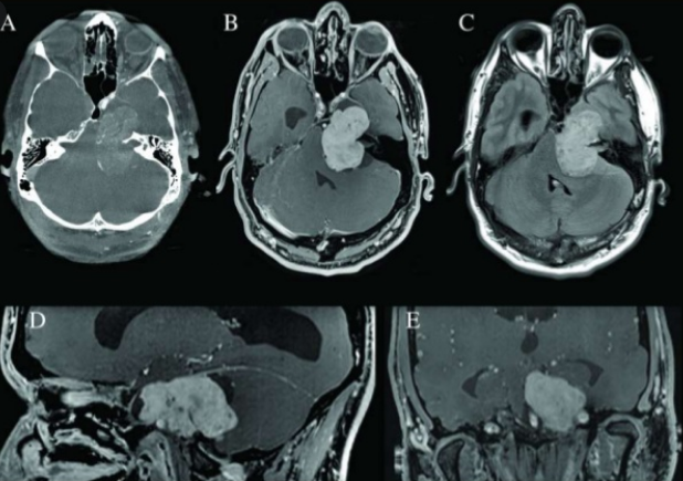
在具有遗传风险的肿瘤中,在某些情况下,神经鞘瘤是由遗传病引起的。在神经鞘瘤中,三叉神经鞘瘤是比较常见的类型,是二常见的神经鞘瘤,仅次于常见的听神经鞘瘤。三叉神经鞘瘤是一种发生于颅底、起源于雪旺细胞的颅内外周神经鞘瘤。雪旺细胞是一种胶质细胞,帮助保护周围神经系统神经元传递信息和指令。这些细胞通过在神经细胞周围形成一层叫做髓鞘的保护层来做到这一点。那么,三叉神经鞘瘤会遗传吗?
对此,James T.Rutka教授表示,大多数神经鞘瘤不是遗传性的。多数是偶然发生的,并且是单一的肿瘤。在某些情况下,由于潜在的遗传疾病如神经纤维瘤病2(NF2)、神经纤维瘤病或卡尼综合征,患者会发展成神经鞘瘤(或多发性神经鞘瘤)。这些疾病以常染色体显性遗传。这意味着在每个细胞中只有一个负责基因的拷贝发生变化(突变)就足以导致这种情况的特征。虽然神经鞘瘤可能是由遗传病引起的,但三叉神经鞘瘤本身是不会遗传的,三叉神经鞘瘤是良性的,它们生长缓慢。虽然它们不会侵入大脑,但当它们的体积增大时,会对大脑造成压力。当肿瘤变大时,也会伤害其他神经。

三叉神经鞘瘤的病因是什么?
肿瘤是由不具有任何生理功能的异常细胞增殖所引起的异常生长。细胞分裂受抑癌基因的调控。这些基因也有助于修复任何对DNA造成的损害。肿瘤控制基因不断与致癌基因进行斗争。当肿瘤控制基因由于影响蛋白质编码的突变而无法正常工作时,就会发生不受控制的细胞分裂和生长,从而导致肿瘤的发展。
人体的自然防御系统应该高水平地检测到异常细胞并杀死它们。但是,肿瘤可能会产生一些物质,这些物质会阻碍免疫系统识别肿瘤细胞的异常,较终,肿瘤细胞的生长可能会超过全部内部和外部的检查。三叉神经鞘瘤的确切病因尚不完全清楚,但绝大数也是异常细胞增殖所引起的异常生长。
如何治疗三叉神经鞘瘤?
目前三叉神经鞘瘤主要治疗方法是手术切除,有几种不同的手术方法可用来切除颅底肿瘤。选择什么样的手术取决于肿瘤的类型、位置和其他因素,包括病人的整体健康状况以及肿瘤是良性还是恶性。如果三叉神经鞘瘤不能完全切除,手术后可使用放射治疗。
INC国际神经外科提醒:大部分肿瘤都并不会遗传,父母不必太担心遗传给下一代,害了自己的孩子。但要及时治疗,只有及早得到科学合理的治疗,才能得到更好的预后,也只有治好疾病,才有更多的时间陪伴在家人身边。
- 文章标题:三叉神经鞘瘤会遗传吗?病因是什么?
- 更新时间:2020-06-04 15:22:29
400-029-0925




