伽马刀治疗失败,肿瘤重新生长压迫脑干,全切手术得以化险为夷。
一位38岁女性,左侧面部感觉异常磁共振成像(MR)发现三叉神经鞘瘤。应她的要求,进行伽玛刀放射治疗(GKR)。GKR术后15个月,随访的MR影像显示肿瘤重新生长引起广泛的脑干压迫,肿瘤中形成囊肿。患者面部疼痛、复视等临床症状加重,转至INC国际教授所在的医院进行显微手术。肿瘤被完全切除,但由于肿瘤和三叉神经纤维都被假包膜覆盖,左三叉神经不得不被切除。复视消失了,但手术后面部疼痛不断恶化。究其原因,竟是GKR导致附近结构纤维化或退行性改变,使手术复杂化。
下一步该怎么办?

案例报告
38岁女性绫子因左侧面部感觉异常就医。磁共振成像显示为哑铃状肿瘤,明显增强(图1上排)。肿瘤较实,主要位于左中颅窝,三叉神经根是肿瘤的明显起源,并经Meckel’s腔延伸至后窝。根据我们对三叉神经鞘瘤的分类,诊断为MP型,代表三叉神经鞘瘤的中后颅窝位置。肿瘤大小2.5×1.8×2.0cm。由于患者要求,最终行GKR。整个肿瘤在50%等剂量体积内(图2)。最大辐射剂量为28Gy,边际辐射剂量为14Gy。然而,随访MRI显示肿瘤囊肿形成,GKR后15个月肿瘤增大。患者于GKR术后18个月开始主诉左外展神经麻痹导致左侧面部疼痛和复视,转院治疗。

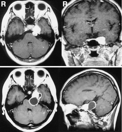
图1:(上排)伽玛刀放射治疗(GKR)前轴位和冠状位t1加权磁共振(MR)增强图显示左侧中窝和左侧后窝肿瘤,外观坚实,强化均匀。(下排)GKR术后18个月,轴位和矢状位t1加权钆成像显示肿瘤包含多个囊肿,并明显压迫脑干,囊肿后部周围有假囊,与后颅窝硬脑膜相连。

图2:磁共振图像显示伽玛刀放射治疗的剂量分布,将14gv的剂量送到50%等剂量线。
入院时,MR示左侧中后颅窝一哑铃状肿瘤,t1低强度,t2高强度。肿块内有多个囊肿,实性部分增强均匀。肿瘤后部形成囊肿,囊部强化,与后颅窝硬脑膜连续,明显压迫脑干,肿瘤大小为4.5×2.5×2.5cm(图1下排)。
经岩前入路全部切除肿瘤,硬质部分主要位于颅中窝,囊性部分通过Meckel’s腔延伸至颅后窝。一个白色且有弹性的硬膜,被认为是假囊,起源于肿瘤的后部,并直接延续到后颅窝的硬脑膜(图3)。三叉神经纤维被假包膜完全覆盖,无法分离,只好切除左三叉神经。这些结果表明,囊肿的形成是由放疗介导的反应引起的。

图3:经前路岩骨入路从中颅窝观察肿瘤及周围结构的术中视图,显示假囊(箭头)包裹三叉神经根并覆盖肿瘤,与斜坡硬脑膜直接相连(箭头)。AE:弓状隆起,P:桥脑。
活检诊断为神经鞘瘤(图4A)。囊性形成,伴有一些新鲜或陈旧性出血,部分炎性细胞浸润,提示继发性退行性改变。此外,由纤维结缔组织组成的厚膜包围着肿瘤(与神经束相连,图4B、4c)。这些退行性改变可以解释为GKR的后遗症,尽管组织学上没有明确的膜起源。
术后因左外展神经麻痹缓解,复视消失,但面部疼痛加重,予卡马西平治疗。术后MR成像未见肿瘤残留(图2、5)。

图5:术后T1加权钆磁共振图像显示肿瘤未残留,用于颅底修复的颞深筋膜增强。
案例总结
三叉神经鞘瘤是一种比较少见的良性肿瘤,占所有神经瘤的1-8%。研究表示:三叉神经鞘瘤中颅窝部分位于海绵窦硬膜间或Meckel腔内,经验丰富、技术高超的外科医生是可以安全地切除的。立体定向放射治疗是手术风险高或不愿意手术患者的一种治疗选择。
GKR术后三叉神经鞘瘤复发的病例很少。因此,GKR后三叉神经鞘瘤的临床和组织学特征仍不清楚。在其他部位的神经鞘瘤,如听神经瘤,GKR后的复发与不同的放疗变化有关,但在所有病例中都发现了活的肿瘤细胞,且纤维化使再次手术变得困难。
上述案例中,绫子GKR术后复发的三叉神经鞘瘤的术中发现表明,放疗诱导形成了附着并包裹三叉神经的假包膜,导致了神经无奈切除,这加剧了患者术后的面部疼痛。这种假包膜被认为起源于后颅窝的硬脑膜,因为组织学检查显示厚的结缔组织,且磁共振成像和术中发现与硬脑膜黏连。本病例表明,放疗诱导的纤维化或退行性改变可以影响附近的正常组织结构,这在本病例中使手术分离肿瘤更加复杂。
【EANS共识】成人三叉神经鞘瘤该如何管理?

《Acta Neurochirurgica (Wien)》杂志发表《成人患者非前庭神经鞘瘤的管理:代表欧洲神经外科协会大会(EANS)颅底分会的系统综述和共识声明第二部分:三叉神经鞘瘤和面神经鞘瘤》。INC旗下世界神经外科顾问团(WANG)的专家成员Sebastien Froelich教授、Henry W.S. Schroeder教授共同参与了治疗共识编著。
INC世界神经外科顾问团两大编著教授成员


三叉神经鞘瘤解剖学
三叉神经纤维围绕脑干腹侧桥的中点连接脑干,由一个大的感觉根和一个小的内侧运动根组成。纤维向上延伸至岩顶,穿过桥小脑池,通过三叉神经孔离开后颅窝。一旦通过多孔的三叉神经,除了运动部分,纤维就汇聚形成三叉神经节(半月神经节)。三叉神经节位于Meckel腔内,它是由硬脑膜和蛛网膜形成的,形状像一只“三指手套”。手套的每个手指对应着三叉神经的分支。眼支((V1)沿海绵状窦侧壁并进入眼眶。上颌支(V2)在海绵窦硬脑膜内侧壁融合点以下的硬脑膜下方穿过,并通过圆孔出颅。下颌支,形成具有感觉成分和支配咀嚼肌的运动成分的下颌神经。
颈内动脉的岩部和破裂孔部位于岩骨内的Meckel腔下。在这一区域开展手术时,要认识到这种重要的相互关系。
三叉神经鞘瘤分类
由于三叉神经鞘瘤可以发生在沿神经的任何点,它们也可以占据多个隔室。有各种各样的分类来描述这些肿瘤。Jefferson根据肿瘤的位置和形态将这些肿瘤分为三类。Dolenc将肿瘤分为I型(局限于海绵窦)、II型(Meckel腔)、III型(桥小脑角CPA)、IV型占据CPA、Meckel腔、和海绵窦。Yashida和Kawase提出了一种更详细的分类方法,根据肿瘤的生长模式将肿瘤部位分为6型。(表1)Wanibuchi等试图将简单分类与手术入路相结合。Ramina等修改了Samii描述的一种分类,尝试并结合一种分类来帮助选择手术入路(表2)。

表1描述三叉神经鞘瘤的不同分类


表2.三叉神经鞘瘤的分类及建议的手术入路。表1中所列分类的作者将其进一步扩展,提出了一种结合相关解剖分类的手术入路
三叉神经鞘瘤该如何治疗?
手术的两个关注点:入路和目标
三叉神经鞘瘤手术的主要复杂性之一是选择正确的手术入路,以达到最大的切除术和最小的并发症发生率。各种手术方法已被描述,开颅,内镜,并在内镜的协助下开颅。有几位作者观察到,随着引入显微外科技术和颅底入路,三叉神经鞘瘤的手术变得更安全,致死致残率更低,同时也提高了大体全切除率。
中颅窝肿瘤(A型,M型,C型,神经节)
中颅窝伴颞骨下延伸、中颅窝伴海绵窦和眼眶延伸
在切除这些肿瘤中最重要的演变是从主要的硬膜内入路到硬膜外入路的转变。硬膜外入路可减少颞叶回缩,降低Labbé静脉损伤的风险。
内镜技术的进展
内镜下经鼻入路(EEA)已广泛应用于翼腭窝、颞下窝及Meckel腔肿瘤的治疗。与传统显微外科手术相比,经鼻内镜下肿瘤切除具有避免牵拉脑组织、侵袭性小、视野清晰等优点。内镜入路的缺点包括脑脊液漏的发生率增加及颈内动脉遮挡手术空间等。
中后颅窝肿瘤(C型,E型,MP型)
Jefferson的观察表明,大多数三叉神经鞘瘤在中颅窝和后颅窝都有部分分布,几乎在所有更大的近期手术系列中这一发现都得到了证实。这些哑铃形肿瘤很复杂,但有时可以利用它们的形态,在不采用广泛方法的情况下将其切除。手术方法应该根据肿瘤的大小而定。
后颅窝肿瘤(B型,P型,D型)
对于完全位于后颅窝内的肿瘤,或大多数位于后颅窝,而只有一个非常小的中颅窝的肿瘤,大多数作者赞成外侧枕下乙状窦后入路。

辅助治疗:放疗
立体定向放射外科治疗(SRS)的作用与所描述的其他神经鞘瘤相似,可作为次全切除术后的主要治疗或辅助治疗,也可针对术后生长的残余肿瘤。传统上,大多数作者主张采用最大安全的手术治疗三叉神经鞘瘤。
总结
三叉神经鞘瘤治疗的目的是最大限度的安全切除并保留功能。需要仔细考虑选择合适的手术入路。大多数中颅窝三叉神经鞘瘤可通过颞下硬膜外中颅窝入路安全接近。当不具备手术条件时,放疗可作为一种补充选择。
- 文章标题:伽玛刀后脑瘤复发?三叉神经鞘瘤治疗遇困境,大咖支招!
- 更新时间:2025-07-21 18:19:23
400-029-0925




